Suppr超能文献

单链病毒DNA的补骨脂素交联二级结构图谱。

Psoralen-crosslinked secondary structure map of single-stranded virus DNA.

作者信息

Shen C K, Hearst J E

出版信息

Proc Natl Acad Sci U S A. 1976 Aug;73(8):2649-53. doi: 10.1073/pnas.73.8.2649.

Abstract

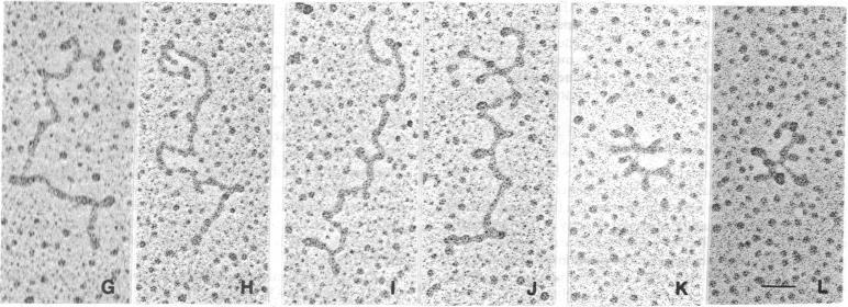
The photochemical crosslinking of DNA by 4,5',8-trimethylpsoralen (trioxsalen) has been used to freeze the secondary structures of single-stranded DNA molecules of bacteriophage fd at different ionic strengths. These secondary structures (hairpins or looped hairpins) have been visualized in the electron microscope. Most of the single-stranded circular fd DNA molecules show only one hairpin after irradiation at 15 degrees in 20 mM NaCl in the presence of trioxsalen. As the ionic strength is increased, more hairpins appear on the DNA molecules. To map these secondary structures, double-stranded supercoiled fd DNA (RFI) was cleaved with the restriction enzyme HindII, which makes only one cut on each RFI molecule. After denaturation and crosslinking of the linear single-stranded fd DNA (a mixture of viral and complementary strands), all the hairpins have been mapped on the DNA molecule with respect to this HindII site. The results show that these hairpins occur at specific sites. The most stable hairpin has been assigned to the position where the initiation site for the conversion of single-stranded fd DNA to the double-stranded covalently closed form has been mapped. The remaining hairpins map in or near regions corresponding to in vitro promoter sites on the fd DNA.

摘要

4,5',8-三甲基补骨脂素(三甲沙林)对DNA进行的光化学交联已被用于在不同离子强度下冻结噬菌体fd单链DNA分子的二级结构。这些二级结构(发夹或环状发夹)已在电子显微镜下观察到。在三甲沙林存在下,于20 mM NaCl中15摄氏度照射后,大多数单链环状fd DNA分子仅显示一个发夹。随着离子强度增加,DNA分子上出现更多发夹。为了绘制这些二级结构图谱,用限制性内切酶HindII切割双链超螺旋fd DNA(RFI),该酶在每个RFI分子上仅切割一次。线性单链fd DNA(病毒链和互补链的混合物)变性和交联后,所有发夹已相对于该HindII位点绘制在DNA分子上。结果表明这些发夹出现在特定位点。最稳定的发夹已被定位到单链fd DNA转化为双链共价闭合形式的起始位点所在位置。其余发夹绘制在与fd DNA体外启动子位点相对应的区域内或附近。

https://cdn.ncbi.nlm.nih.gov/pmc/blobs/35cb/430705/5f2344ab482f/pnas00038-0124-a.jpg

文献检索

告别复杂PubMed语法,用中文像聊天一样搜索,搜遍4000万医学文献。AI智能推荐,让科研检索更轻松。

立即免费搜索

文件翻译

保留排版,准确专业,支持PDF/Word/PPT等文件格式,支持 12+语言互译。

免费翻译文档

深度研究

AI帮你快速写综述,25分钟生成高质量综述,智能提取关键信息,辅助科研写作。

立即免费体验