Suppr超能文献

视盘小凹与视网膜后脱离。

Optic pits and posterior retinal detachment.

作者信息

Brockhurst R J

出版信息

Trans Am Ophthalmol Soc. 1975;73:264-91.

Abstract

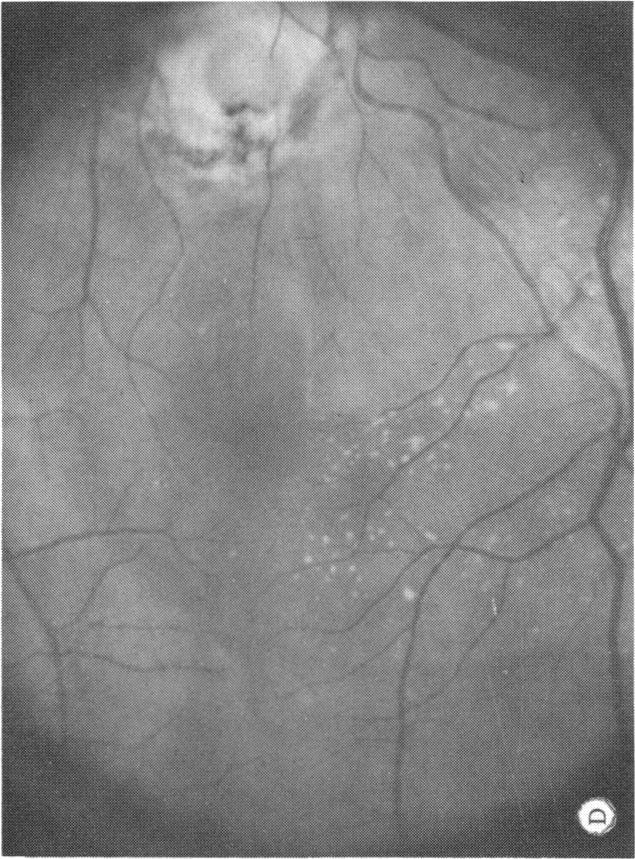
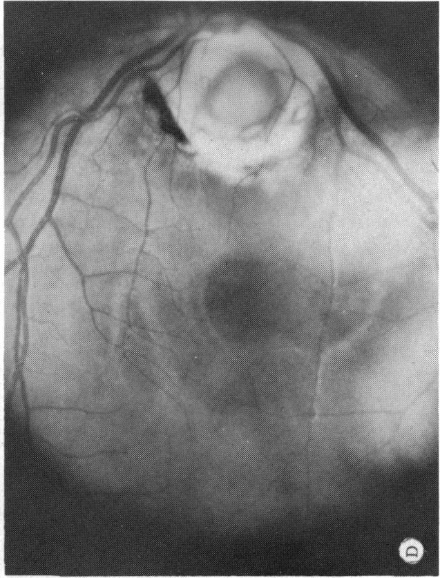
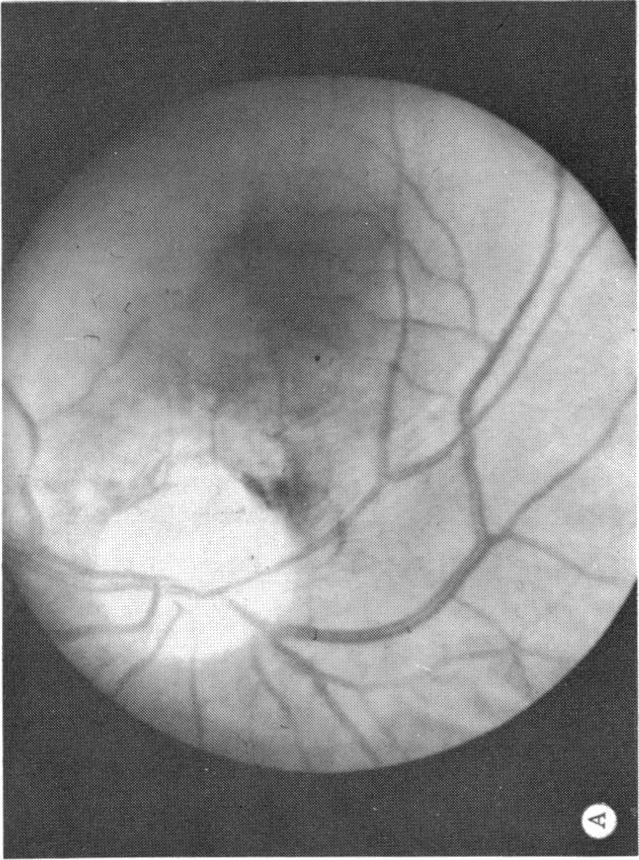
Six cases of congenital pit of the optic nervehead associated with posterior serous retinal detachment are presented. All were treated by photocoagulation along the disc margin in the area of retinal detachment. In five cases reattachment of the retina occurred, after the clinical development of a film chorioretinal adhesion at the disc margin, and appeared to be secondary to the treatment. The sixth case (Case 4), although treated, appeared to represent a spontaneous reattachment. This disorder, which frequently results in permanent decrease of central vision, affected the better, or only, eye in two of the six cases herein reported. Fluid, probably from the vitreous cavity, appears to gain access to the subretinal space via the pit. Reattachment in treated cases occurred only if an effective chorioretinal adhesion was created over the entire area of the fistulous detachment at the disc margin. Field defects after treatment appear to be secondary to either the optic pit itself or the longstanding retinal detachment, oftern accompanied by pigmentary degeneration and cystic macular degeneration, rather than juxtapapillary photocoagulation treatment.

摘要

本文报告6例先天性视神经乳头凹合并浆液性视网膜脱离。所有病例均采用视网膜脱离区域沿视盘边缘光凝治疗。5例视网膜脱离在视盘边缘形成脉络膜视网膜粘连后复位,似乎是治疗的继发结果。第6例(病例4)虽经治疗,但似乎是自发复位。这种疾病常导致中心视力永久性下降,在本文报告的6例中有2例影响了较好或仅有的一只眼。液体可能来自玻璃体腔,似乎通过视神经乳头凹进入视网膜下间隙。治疗病例中,只有在视盘边缘瘘管性脱离的整个区域形成有效的脉络膜视网膜粘连时,视网膜才会复位。治疗后的视野缺损似乎继发于视神经乳头凹本身或长期视网膜脱离,常伴有色素性变性和黄斑囊样变性,而非视盘旁光凝治疗。

https://cdn.ncbi.nlm.nih.gov/pmc/blobs/002d/1311457/5cf15f951aa8/taos00026-0287-a.jpg

文献检索

告别复杂PubMed语法,用中文像聊天一样搜索,搜遍4000万医学文献。AI智能推荐,让科研检索更轻松。

立即免费搜索

文件翻译

保留排版,准确专业,支持PDF/Word/PPT等文件格式,支持 12+语言互译。

免费翻译文档

深度研究

AI帮你快速写综述,25分钟生成高质量综述,智能提取关键信息,辅助科研写作。

立即免费体验