Suppr超能文献

A light-scattering characterization of membrane vesicles.

作者信息

Selser J C, Yeh Y, Baskin R J

出版信息

Biophys J. 1976 Apr;16(4):337-56. doi: 10.1016/S0006-3495(76)85692-5.

Abstract

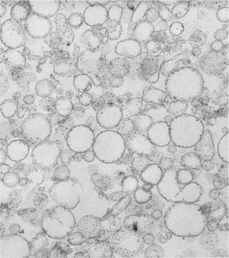
A technique has been developed in this paper which enables quasi-elastic laser light scattering to be used to accurately and quantitatively measure the average vesicle diffusion coefficient and the relative dispersion in the diffusion coefficient about this average for dilute polydisperse vesicle suspensions. This technique relies on a theoretical analysis of a modified form of the Z-averaged diffusion coefficient. This modified Z-averaged diffusion coefficient explicitly incorporates vesicle size, structure, and polydispersity in a description of the scattered light autocorrelation spectrum. Light-scattering experiments were performed on a dilute, lobster sarcoplasmic reticulum vesicle suspension and the measured average diffusion coefficient and the diffusion coefficient relative dispersion about this average were determined with accuracies of 2 and 10%, respectively. A comparison of vesicle size inferred from light-scattering results was made with size results from electron microscopic analysis of the same sample.

摘要
https://cdn.ncbi.nlm.nih.gov/pmc/blobs/bbe4/1334846/9e275c826e55/biophysj00305-0065-a.jpg

文献AI研究员

20分钟写一篇综述,助力文献阅读效率提升50倍。

立即体验

用中文搜PubMed

大模型驱动的PubMed中文搜索引擎

马上搜索

文档翻译

学术文献翻译模型,支持多种主流文档格式。

立即体验