• 文献检索
  • 文档翻译
  • 深度研究
  • 学术资讯
  • Suppr Zotero 插件Zotero 插件
  • 邀请有礼
  • 套餐&价格
  • 历史记录
应用&插件
Suppr Zotero 插件Zotero 插件浏览器插件Mac 客户端Windows 客户端微信小程序
定价
高级版会员购买积分包购买API积分包
服务
文献检索文档翻译深度研究API 文档MCP 服务
关于我们
关于 Suppr公司介绍联系我们用户协议隐私条款
关注我们

Suppr 超能文献

核心技术专利:CN118964589B侵权必究
粤ICP备2023148730 号-1Suppr @ 2026

文献检索

告别复杂PubMed语法,用中文像聊天一样搜索,搜遍4000万医学文献。AI智能推荐,让科研检索更轻松。

立即免费搜索

文件翻译

保留排版,准确专业,支持PDF/Word/PPT等文件格式,支持 12+语言互译。

免费翻译文档

深度研究

AI帮你快速写综述,25分钟生成高质量综述,智能提取关键信息,辅助科研写作。

立即免费体验

结肠镜检查治疗结肠扭转

Treatment of volvulus of the colon by colonoscopy.

作者信息

Ghazi A, Shinya H, Wolfe W I

出版信息

Ann Surg. 1976 Mar;183(3):263-5. doi: 10.1097/00000658-197603000-00008.

DOI:10.1097/00000658-197603000-00008
PMID:1259482
原文链接:https://pmc.ncbi.nlm.nih.gov/articles/PMC1344234/
Abstract

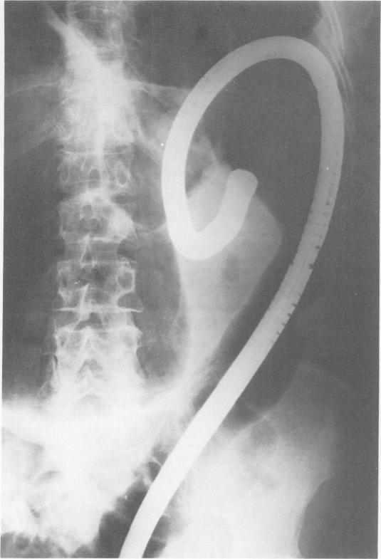
The flexible colonoscope has notable advantages over rigid instruments and can be offered as an alternative and (probably) preferable method for non-surgical reduction of colonic volvulus. When operative intervention is called for because of repeated bouts of sigmoid volvulus, colonoscopy offers a means of preoperative deflation of the twisted loop, allowing time to prepare the bowel and correct systemic disturbances such as electrolyte imbalance. The first successful management of a case of recurrent sigmoid volvulus using fiberoptic flexible colonoscope is presented. It is suggested that the fiberoptic colonoscope may have similar application for instances of volvulus occurring more proximal than in the sigmoid colon. Sigmoid volvulus in children even though rare might also be amenable to correction by colonoscopy.

摘要

与硬质器械相比,可弯曲结肠镜具有显著优势,可作为非手术复位结肠扭转的一种替代方法,且可能是更可取的方法。当因乙状结肠扭转反复发作而需要进行手术干预时,结肠镜检查可提供一种使扭转肠袢术前减压的方法,从而有时间准备肠道并纠正诸如电解质失衡等全身紊乱情况。本文介绍了首例使用纤维光学可弯曲结肠镜成功处理复发性乙状结肠扭转病例的情况。有人提出,纤维光学结肠镜对于发生部位比乙状结肠更靠近近端的扭转情况可能有类似的应用价值。儿童乙状结肠扭转尽管罕见,但也可能适合通过结肠镜检查进行矫正。

https://cdn.ncbi.nlm.nih.gov/pmc/blobs/2336/1344234/6edc8cdb866a/annsurg00277-0065-a.jpg
https://cdn.ncbi.nlm.nih.gov/pmc/blobs/2336/1344234/c8a8303cce66/annsurg00277-0064-a.jpg
https://cdn.ncbi.nlm.nih.gov/pmc/blobs/2336/1344234/f6d29df20d06/annsurg00277-0064-b.jpg
https://cdn.ncbi.nlm.nih.gov/pmc/blobs/2336/1344234/6edc8cdb866a/annsurg00277-0065-a.jpg
https://cdn.ncbi.nlm.nih.gov/pmc/blobs/2336/1344234/c8a8303cce66/annsurg00277-0064-a.jpg
https://cdn.ncbi.nlm.nih.gov/pmc/blobs/2336/1344234/f6d29df20d06/annsurg00277-0064-b.jpg
https://cdn.ncbi.nlm.nih.gov/pmc/blobs/2336/1344234/6edc8cdb866a/annsurg00277-0065-a.jpg

相似文献

1
Treatment of volvulus of the colon by colonoscopy.结肠镜检查治疗结肠扭转
Ann Surg. 1976 Mar;183(3):263-5. doi: 10.1097/00000658-197603000-00008.
2
Our sigmoid colon volvulus experience and benefits of colonoscope in detortion process.我们在乙状结肠扭转方面的经验以及结肠镜在扭转复位过程中的益处。
Rev Esp Enferm Dig. 2004 Jan;96(1):32-5. doi: 10.4321/s1130-01082004000100005.
3
[Endoscopic resolutions of volvulus of the sigmoid colon].[乙状结肠扭转的内镜治疗]
Minerva Chir. 1990 Apr 15;45(7):463-7.
4
Initial treatment of sigmoid volvulous by colonoscopy.结肠镜检查对乙状结肠扭转的初始治疗
Ann Surg. 1979 Jul;190(1):36-9. doi: 10.1097/00000658-197907000-00008.
5
Colonoscopic decompression of pseudo-obstruction and volvulus.结肠镜下对假性肠梗阻和肠扭转进行减压
Surg Clin North Am. 1989 Dec;69(6):1327-35. doi: 10.1016/s0039-6109(16)44991-1.
6
Strangulated volvulus of the sigmoid colon with inviable mucosal appearance in a non-surgical patient. Endoscopic devolvulation.非手术患者乙状结肠绞窄性肠扭转伴黏膜坏死外观。内镜下复位。
Rev Esp Enferm Dig. 2002 Apr;94(4):221-5.
7
Transcolonoscopic decompression of sigmoid volvulus.经结肠镜乙状结肠扭转减压术
Dis Colon Rectum. 1989 Apr;32(4):349-50. doi: 10.1007/BF02553494.
8
Colonoscopic treatment of sigmoid volvulus.乙状结肠扭转的结肠镜治疗
Surg Endosc. 1989;3(1):61-2. doi: 10.1007/BF00591321.
9
Experience with colonic volvulus.结肠扭转的经验
Dis Colon Rectum. 1989 May;32(5):409-16. doi: 10.1007/BF02563694.
10
Elective laparoscopically assisted sigmoidectomy for the sigmoid volvulus.择期腹腔镜辅助乙状结肠切除术治疗乙状结肠扭转
Surg Endosc. 2006 Nov;20(11):1772-3. doi: 10.1007/s00464-005-0665-9.

引用本文的文献

1
Recurrent Sigmoid Volvulus in Children-Our Experience and Systematic Review of the Current Literature.儿童复发性乙状结肠扭转——我们的经验及对当前文献的系统综述
Children (Basel). 2023 Aug 24;10(9):1441. doi: 10.3390/children10091441.
2
WSES consensus guidelines on sigmoid volvulus management.WSES 关于乙状结肠扭转管理的共识指南。
World J Emerg Surg. 2023 May 15;18(1):34. doi: 10.1186/s13017-023-00502-x.
3
Management of colonic volvulus.结肠扭转的管理

本文引用的文献

1
Treatment of volvulus of sigmoid colon: a review of 425 cases.乙状结肠扭转的治疗:425例病例回顾
Br Med J. 1968 Feb 3;1(5587):280-3. doi: 10.1136/bmj.1.5587.280.
2
Volvulus of the sigmoid colon.乙状结肠扭转
Ann Surg. 1952 Jun;135(6):830-40. doi: 10.1097/00000658-195206000-00008.
3
Volvulus of the sigmoid colon.乙状结肠扭转
Clin Colon Rectal Surg. 2012 Dec;25(4):236-44. doi: 10.1055/s-0032-1329535.
4
Colonoscopy: perspectives for family physicians.结肠镜检查:家庭医生的视角。
Can Fam Physician. 1983 Sep;29:1649-53.
5
Therapeutic and diagnostic colonoscopy in nonobstructive colonic dilatation.非梗阻性结肠扩张的治疗性和诊断性结肠镜检查
Ann Surg. 1983 Apr;197(4):416-21. doi: 10.1097/00000658-198304000-00007.
6
Volvulus of the colon. Incidence and mortality.结肠扭转。发病率和死亡率。
Ann Surg. 1985 Jul;202(1):83-92. doi: 10.1097/00000658-198507000-00014.
7
Endoscopy in colonic volvulus.结肠扭转的内镜检查
Ann Surg. 1987 Jul;206(1):1-4. doi: 10.1097/00000658-198707000-00001.
8
Pseudo-obstruction.假性梗阻
Br Med J (Clin Res Ed). 1986 May 3;292(6529):1157-8. doi: 10.1136/bmj.292.6529.1157.
9
Therapeutic colonoscopy.治疗性结肠镜检查
World J Surg. 1992 Nov-Dec;16(6):1048-53. doi: 10.1007/BF02067060.
10
Initial treatment of sigmoid volvulous by colonoscopy.结肠镜检查对乙状结肠扭转的初始治疗
Ann Surg. 1979 Jul;190(1):36-9. doi: 10.1097/00000658-197907000-00008.
Ann Surg. 1951 May;133(5):719-26. doi: 10.1097/00000658-195105000-00013.
4
Surgical management of acute volvulus of the sigmoid colon; a study of 55 cases.乙状结肠急性扭转的外科治疗;55例病例研究。
Ann Surg. 1957 Jul;146(1):52-60. doi: 10.1097/00000658-195707000-00006.
5
Volvulus of the colon.结肠扭转
Surg Clin North Am. 1955 Oct(Nationwide No):1395-9. doi: 10.1016/s0039-6109(16)34702-8.
6
Volvulus of the colon.结肠扭转
Am J Surg. 1967 Dec;114(6):900-3. doi: 10.1016/0002-9610(67)90414-x.
7
Caecal volvulus.盲肠扭转
Br J Surg. 1969 Feb;56(2):124-8. doi: 10.1002/bjs.1800560211.
8
Colonofiberoscopy.结肠镜检查
JAMA. 1971 Sep 13;217(11):1509-12.
9
Sigmoid volvulus in children.儿童乙状结肠扭转
Pediatrics. 1974 May;53(5):702-5.
10
Sigmoid volvulus in an 11-year-old girl. Case report and literature review.一名11岁女孩的乙状结肠扭转。病例报告及文献综述。
Am J Dis Child. 1974 Mar;127(3):400-2. doi: 10.1001/archpedi.1974.02110220098014.