• 文献检索
  • 文档翻译
  • 深度研究
  • 学术资讯
  • Suppr Zotero 插件Zotero 插件
  • 邀请有礼
  • 套餐&价格
  • 历史记录
应用&插件
Suppr Zotero 插件Zotero 插件浏览器插件Mac 客户端Windows 客户端微信小程序
定价
高级版会员购买积分包购买API积分包
服务
文献检索文档翻译深度研究API 文档MCP 服务
关于我们
关于 Suppr公司介绍联系我们用户协议隐私条款
关注我们

Suppr 超能文献

核心技术专利:CN118964589B侵权必究
粤ICP备2023148730 号-1Suppr @ 2026

文献检索

告别复杂PubMed语法,用中文像聊天一样搜索,搜遍4000万医学文献。AI智能推荐,让科研检索更轻松。

立即免费搜索

文件翻译

保留排版,准确专业,支持PDF/Word/PPT等文件格式,支持 12+语言互译。

免费翻译文档

深度研究

AI帮你快速写综述,25分钟生成高质量综述,智能提取关键信息,辅助科研写作。

立即免费体验

实验性恙虫病中的宿主防御:组织病理学相关性

Host defenses in experimental scrub typhus: histopathological correlates.

作者信息

Catanzaro P J, Shirai A, Hilderbrandt P K, Osterman J V

出版信息

Infect Immun. 1976 Mar;13(3):861-75. doi: 10.1128/iai.13.3.861-875.1976.

DOI:10.1128/iai.13.3.861-875.1976
PMID:1270135
原文链接:https://pmc.ncbi.nlm.nih.gov/articles/PMC420689/
Abstract

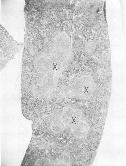
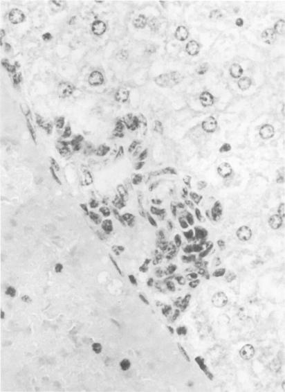
Intraperitoneal (i.p.) infection of BALB/c mice with 1,000 50% mouse lethal doses of the Karp strain of Rickettsia tsutsugamushi was inevitably lethal, and associated pathological alterations were confined to the peritoneal cavity. These included: (i) continuous proliferation of rickettsial organisms in peritoneal macrophages until death; (ii) hepatic granulomas appearing 6 days after infection and increasing in size and number until death; (iii) splenomegaly, resulting principally from proliferation of lymphoid tissue, and (iv) terminal peritonitis. Under two circumstances, i.p. infections with R. tsutsugamushi were not lethal: (i) infection with 100 50% mouse infectious doses of the Gilliam strain, which, in fact, resulted in immune protection against otherwise lethal Karp challenge; and (ii) Karp infection of animals immunized with the Gilliam strain. In both cases, the associated pathological abnormalities were, as with primary Karp infection, restricted to the peritoneal cavity. Also similar was the striking splenomegaly due to lymphoid proliferation, which was particularly prominent in immunized animals. In contrast to primary and lethal Karp infection, however, these infections were characterized by: (i) minimal and transient proliferation of rickettsial organisms in peritoneal macrophages; (ii) disappearance of hepatic granulomas; and (iii) absence of peritonitis. It was concluded that the survival of an animal bearing an i.p. infection of scrub typhus depended on its ability to concentrate a sufficiently vigorous immune response in the peritoneal cavity, resulting in the evolution of rickettsiacidal macrophages capable of suppressing the infection.

摘要

用1000个50%小鼠致死剂量的恙虫病东方体卡尔普株对BALB/c小鼠进行腹腔内(i.p.)感染必然致死,相关病理改变局限于腹腔。这些改变包括:(i)立克次体在腹腔巨噬细胞中持续增殖直至死亡;(ii)感染后6天出现肝肉芽肿,其大小和数量不断增加直至死亡;(iii)脾肿大,主要是由于淋巴组织增殖所致;以及(iv)终末期腹膜炎。在两种情况下,恙虫病东方体的腹腔内感染不会致死:(i)用100个50%小鼠感染剂量的吉列姆株进行感染,实际上这会产生针对原本致死的卡尔普株攻击的免疫保护;以及(ii)用吉列姆株免疫的动物感染卡尔普株。在这两种情况下,与原发性卡尔普感染一样,相关的病理异常都局限于腹腔。同样相似的是,由于淋巴组织增殖导致的显著脾肿大,在免疫动物中尤为突出。然而,与原发性和致死性卡尔普感染不同,这些感染的特征是:(i)腹腔巨噬细胞中立克次体的增殖极少且短暂;(ii)肝肉芽肿消失;以及(iii)无腹膜炎。得出的结论是,患有恙虫病腹腔内感染的动物的存活取决于其在腹腔内集中足够强烈的免疫反应的能力,从而导致能够抑制感染的杀立克次体巨噬细胞的进化。

https://cdn.ncbi.nlm.nih.gov/pmc/blobs/1fb6/420689/81caacc8c308/iai00219-0228-a.jpg
https://cdn.ncbi.nlm.nih.gov/pmc/blobs/1fb6/420689/e42854cca242/iai00219-0217-a.jpg
https://cdn.ncbi.nlm.nih.gov/pmc/blobs/1fb6/420689/07ad011b0e74/iai00219-0218-a.jpg
https://cdn.ncbi.nlm.nih.gov/pmc/blobs/1fb6/420689/b72c014996dc/iai00219-0219-a.jpg
https://cdn.ncbi.nlm.nih.gov/pmc/blobs/1fb6/420689/6e0f0be8497d/iai00219-0220-a.jpg
https://cdn.ncbi.nlm.nih.gov/pmc/blobs/1fb6/420689/680d3f4f9341/iai00219-0221-a.jpg
https://cdn.ncbi.nlm.nih.gov/pmc/blobs/1fb6/420689/2e32c5c3ceaa/iai00219-0222-a.jpg
https://cdn.ncbi.nlm.nih.gov/pmc/blobs/1fb6/420689/17dbd647dd61/iai00219-0223-a.jpg
https://cdn.ncbi.nlm.nih.gov/pmc/blobs/1fb6/420689/9fa03557021c/iai00219-0224-a.jpg
https://cdn.ncbi.nlm.nih.gov/pmc/blobs/1fb6/420689/d2088cfd653f/iai00219-0225-a.jpg
https://cdn.ncbi.nlm.nih.gov/pmc/blobs/1fb6/420689/1011becc4657/iai00219-0226-a.jpg
https://cdn.ncbi.nlm.nih.gov/pmc/blobs/1fb6/420689/f939133b2dfe/iai00219-0227-a.jpg
https://cdn.ncbi.nlm.nih.gov/pmc/blobs/1fb6/420689/81caacc8c308/iai00219-0228-a.jpg
https://cdn.ncbi.nlm.nih.gov/pmc/blobs/1fb6/420689/e42854cca242/iai00219-0217-a.jpg
https://cdn.ncbi.nlm.nih.gov/pmc/blobs/1fb6/420689/07ad011b0e74/iai00219-0218-a.jpg
https://cdn.ncbi.nlm.nih.gov/pmc/blobs/1fb6/420689/b72c014996dc/iai00219-0219-a.jpg
https://cdn.ncbi.nlm.nih.gov/pmc/blobs/1fb6/420689/6e0f0be8497d/iai00219-0220-a.jpg
https://cdn.ncbi.nlm.nih.gov/pmc/blobs/1fb6/420689/680d3f4f9341/iai00219-0221-a.jpg
https://cdn.ncbi.nlm.nih.gov/pmc/blobs/1fb6/420689/2e32c5c3ceaa/iai00219-0222-a.jpg
https://cdn.ncbi.nlm.nih.gov/pmc/blobs/1fb6/420689/17dbd647dd61/iai00219-0223-a.jpg
https://cdn.ncbi.nlm.nih.gov/pmc/blobs/1fb6/420689/9fa03557021c/iai00219-0224-a.jpg
https://cdn.ncbi.nlm.nih.gov/pmc/blobs/1fb6/420689/d2088cfd653f/iai00219-0225-a.jpg
https://cdn.ncbi.nlm.nih.gov/pmc/blobs/1fb6/420689/1011becc4657/iai00219-0226-a.jpg
https://cdn.ncbi.nlm.nih.gov/pmc/blobs/1fb6/420689/f939133b2dfe/iai00219-0227-a.jpg
https://cdn.ncbi.nlm.nih.gov/pmc/blobs/1fb6/420689/81caacc8c308/iai00219-0228-a.jpg

相似文献

1
Host defenses in experimental scrub typhus: histopathological correlates.实验性恙虫病中的宿主防御:组织病理学相关性
Infect Immun. 1976 Mar;13(3):861-75. doi: 10.1128/iai.13.3.861-875.1976.
2
Host defenses in experimental scrub typhus: role of cellular immunity in heterologous protection.实验性恙虫病中的宿主防御:细胞免疫在异源保护中的作用
Infect Immun. 1976 Jul;14(1):39-46. doi: 10.1128/iai.14.1.39-46.1976.
3
Host defenses in experimental scrub typhus: delayed-type hypersensitivity responses of inbred mice.实验性恙虫病中的宿主防御:近交系小鼠的迟发型超敏反应
Infect Immun. 1982 Jan;35(1):117-23. doi: 10.1128/iai.35.1.117-123.1982.
4
Host defenses in experimental scrub typhus: role of normal and activated macrophages.实验性恙虫病中的宿主防御:正常及活化巨噬细胞的作用
Infect Immun. 1979 Nov;26(2):744-50. doi: 10.1128/iai.26.2.744-750.1979.
5
Host defenses in experimental scrub typhus: genetics of natural resistance to infection.实验性恙虫病中的宿主防御:对感染的天然抵抗力的遗传学
Infect Immun. 1978 Feb;19(2):583-8. doi: 10.1128/iai.19.2.583-588.1978.
6
Gamma-irradiated scrub typhus immunogens: broad-spectrum immunity with combinations of rickettsial strains.γ射线辐照恙虫病免疫原:立克次体菌株组合产生的广谱免疫
Infect Immun. 1979 Oct;26(1):131-6. doi: 10.1128/iai.26.1.131-136.1979.
7
Macrophages in resistance to rickettsial infections: early host defense mechanisms in experimental scrub typhus.巨噬细胞在抵抗立克次体感染中的作用:实验性恙虫病的早期宿主防御机制
Infect Immun. 1981 Mar;31(3):1239-50. doi: 10.1128/iai.31.3.1239-1250.1981.
8
Apoptosis of lymphocytes in mice induced by infection with Rickettsia tsutsugamushi.恙虫病立克次体感染诱导小鼠淋巴细胞凋亡
Infect Immun. 1996 Sep;64(9):3937-41. doi: 10.1128/iai.64.9.3937-3941.1996.
9
Gamma-irradiated scrub typhus immunogens: development and duration of immunity.γ射线辐照恙虫病免疫原:免疫的产生及持续时间
Infect Immun. 1978 Oct;22(1):80-6. doi: 10.1128/iai.22.1.80-86.1978.
10
Host defenses in experimental scrub typhus: role of spleen and peritoneal exudate lymphocytes in cellular immunity.实验性恙虫病中的宿主防御:脾脏和腹腔渗出淋巴细胞在细胞免疫中的作用
Infect Immun. 1977 Oct;18(1):118-23. doi: 10.1128/iai.18.1.118-123.1977.

引用本文的文献

1
The neglected challenge: Vaccination against rickettsiae.被忽视的挑战:立克次氏体疫苗接种。
PLoS Negl Trop Dis. 2020 Oct 22;14(10):e0008704. doi: 10.1371/journal.pntd.0008704. eCollection 2020 Oct.
2
Orientia tsutsugamushi uses two Ank effectors to modulate NF-κB p65 nuclear transport and inhibit NF-κB transcriptional activation.恙虫东方体利用两种 Ank 效应物来调节 NF-κB p65 核转运并抑制 NF-κB 转录激活。
PLoS Pathog. 2018 May 7;14(5):e1007023. doi: 10.1371/journal.ppat.1007023. eCollection 2018 May.
3
Orientia tsutsugamushi Is Highly Susceptible to the RNA Polymerase Switch Region Inhibitor Corallopyronin A and .

本文引用的文献

1
The influence of certain salts, amino acids, sugars, and proteins on the stability of rickettsiae.某些盐类、氨基酸、糖类及蛋白质对立克次氏体稳定性的影响。
J Bacteriol. 1950 Apr;59(4):509-22. doi: 10.1128/jb.59.4.509-522.1950.
2
Analysis of immunity in experimental Tsutsugamushi disease.恙虫病实验中的免疫分析。
J Immunol. 1952 Feb;68(2):115-20.
3
Immunization against scrub typhus. II. Preparation of lyophilized living vaccine.恙虫病免疫。II. 冻干活疫苗的制备。
恙虫东方体对 RNA 聚合酶开关区域抑制剂珊瑚诺因 A 高度敏感 。
Antimicrob Agents Chemother. 2018 Mar 27;62(4). doi: 10.1128/AAC.01732-17. Print 2018 Apr.
4
CD8+ T cells provide immune protection against murine disseminated endotheliotropic Orientia tsutsugamushi infection.CD8 + T细胞为小鼠播散性嗜内皮性恙虫病东方体感染提供免疫保护。
PLoS Negl Trop Dis. 2017 Jul 19;11(7):e0005763. doi: 10.1371/journal.pntd.0005763. eCollection 2017 Jul.
5
Murine models of scrub typhus associated with host control of Orientia tsutsugamushi infection.与恙虫病东方体感染的宿主控制相关的鼠型恙虫病模型。
PLoS Negl Trop Dis. 2017 Mar 10;11(3):e0005453. doi: 10.1371/journal.pntd.0005453. eCollection 2017 Mar.
6
Hematogenously disseminated Orientia tsutsugamushi-infected murine model of scrub typhus [corrected].恙虫病东方体血行播散感染的鼠型恙虫病模型[已修正]
PLoS Negl Trop Dis. 2014 Jul 10;8(7):e2966. doi: 10.1371/journal.pntd.0002966. eCollection 2014 Jul.
7
An intradermal inoculation model of scrub typhus in Swiss CD-1 mice demonstrates more rapid dissemination of virulent strains of Orientia tsutsugamushi.在瑞士 CD-1 小鼠中建立的恙虫病皮内接种模型表明,毒力更强的恙虫东方体菌株更容易传播。
PLoS One. 2013;8(1):e54570. doi: 10.1371/journal.pone.0054570. Epub 2013 Jan 16.
8
Approaches to vaccines against Orientia tsutsugamushi.恙虫病东方体疫苗的研究进展。
Front Cell Infect Microbiol. 2013 Jan 4;2:170. doi: 10.3389/fcimb.2012.00170. eCollection 2012.
9
Development of a recombinant protein-based enzyme-linked immunosorbent assay and its applications in field surveillance of rodent mice for presence of immunoglobulin G against Orientia tsutsugamushi.基于重组蛋白的酶联免疫吸附测定法的开发及其在鼠类野外监测中用于检测抗恙虫东方体免疫球蛋白G的应用。
Clin Diagn Lab Immunol. 2003 May;10(3):451-8. doi: 10.1128/cdli.10.3.451-458.2003.
10
Expression of chemokine genes in murine macrophages infected with Orientia tsutsugamushi.感染恙虫病东方体的小鼠巨噬细胞中趋化因子基因的表达
Infect Immun. 2000 Feb;68(2):594-602. doi: 10.1128/IAI.68.2.594-602.2000.
Am J Hyg. 1951 May;53(3):326-31. doi: 10.1093/oxfordjournals.aje.a119457.
4
PATHOGENESIS OF SCRUB TYPHUS INFECTION (RICKETTSIA TSUTSUGAMUSHI) AS STUDIED BY IMMUNOFLUORESCENCE.用免疫荧光法研究恙虫病感染(恙虫病立克次体)的发病机制
J Immunol. 1964 Nov;93:772-81.
5
CYTOPLASMIC INTERACTION BETWEEN MACROPHAGES AND LYMPHOCYTIC CELLS IN ANTIBODY SYNTHESIS.抗体合成中巨噬细胞与淋巴细胞之间的细胞质相互作用
Science. 1964 Feb 28;143(3609):964-5. doi: 10.1126/science.143.3609.964.
6
The monocyte in cellular immunity.细胞免疫中的单核细胞。
Semin Hematol. 1970 Apr;7(2):172-84.
7
Structure of monocytes and macrophages.单核细胞和巨噬细胞的结构。
Semin Hematol. 1970 Apr;7(2):109-24.
8
Pathways in the development of liver macrophages: alternative precursors contained in populations of lymphocytes and bone-marrow cells.肝巨噬细胞发育的途径:淋巴细胞和骨髓细胞群体中所含的替代前体。
Proc R Soc Lond B Biol Sci. 1968 Feb 27;169(1016):307-27. doi: 10.1098/rspb.1968.0013.