Suppr超能文献

High-voltage electron microscope study of the release of vaccinia virus from whole cells.

作者信息

Stokes G V

出版信息

J Virol. 1976 May;18(2):636-43. doi: 10.1128/JVI.18.2.636-643.1976.

Abstract

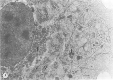
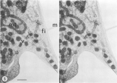
High-voltage (1,000-kV) electron microscope examination of whole BSC-1 cells infected with vaccinia virus at different times after infection revealed the presence of increasing numbers of virions no longer confined to factories but situated along the cell periphery of monolayer cells. Stereoscopic images showed each virus enclosed within a membrane-like component of the host cell cytoplasm. Viruses within factories appeared to lack similar enclosures. Cytochalasin B, but not vinblastine, caused the enclosures to disrupt. Vaccinia viruses were observed to escape the host cell individually from the tips of microvillie and within packets of cytoplasm. Observations suggest that the intracellular movement and release of vaccinia virus utilize a host cell cytoplasmic network that involves microfilaments for stability.

摘要
https://cdn.ncbi.nlm.nih.gov/pmc/blobs/e10f/515590/53a5cf118935/jvirol00221-0279-a.jpg

文献AI研究员

20分钟写一篇综述,助力文献阅读效率提升50倍。

立即体验

用中文搜PubMed

大模型驱动的PubMed中文搜索引擎

马上搜索

文档翻译

学术文献翻译模型,支持多种主流文档格式。

立即体验