Suppr超能文献

艾滋病患者的机会性眼内感染

Opportunistic intraocular infections in AIDS.

作者信息

Morinelli E N, Dugel P U, Lee M, Klatt E C, Rao N A

机构信息

Pathology Laboratory, Doheny Eye Institute, University of Southern California School of Medicine, Los Angeles.

出版信息

Trans Am Ophthalmol Soc. 1992;90:97-108; discussion 108-9.

Abstract

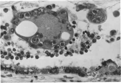
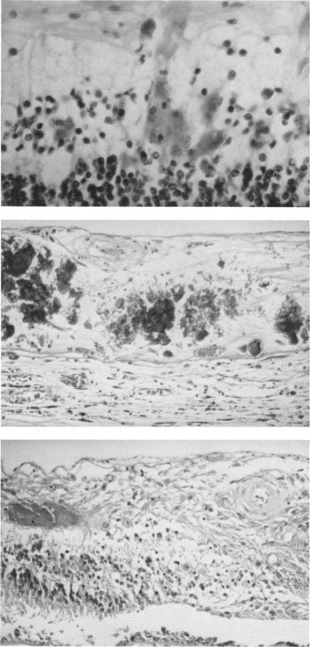
In conclusion, this clinicopathologic study has shown that CMV ocular infection is present in about 16% of terminal AIDS patients. The treatment of CMV retinitis reduces the number of CMV-infected nonocular organs and may also lessen the severity and control the spread of concurrent nonocular infection, both of which may prolong survival in AIDS patients. Other opportunistic infections, involving primarily the choroid, were also seen in a number of patients, some of whom had concurrent intraocular infections with CMV and P carinii, M avium-intracellulare, C neoformans. In addition, all of these choroidal infections were components of disseminated infection, underscoring the increasingly important role of the ophthalmologist in the diagnosis and treatment of disseminated opportunistic infections in AIDS.

摘要

总之,这项临床病理研究表明,约16%的晚期艾滋病患者存在巨细胞病毒眼部感染。巨细胞病毒性视网膜炎的治疗可减少巨细胞病毒感染的非眼部器官数量,还可能减轻并发的非眼部感染的严重程度并控制其传播,这两者都可能延长艾滋病患者的生存期。在一些患者中还可见到主要累及脉络膜的其他机会性感染,其中一些患者同时存在巨细胞病毒和卡氏肺孢子虫、鸟分枝杆菌、新型隐球菌的眼内感染。此外,所有这些脉络膜感染都是播散性感染的组成部分,这突出了眼科医生在艾滋病播散性机会性感染的诊断和治疗中日益重要的作用。

https://cdn.ncbi.nlm.nih.gov/pmc/blobs/25de/1298428/11a934ac8e93/taos00009-0123-a.jpg

文献AI研究员

20分钟写一篇综述,助力文献阅读效率提升50倍。

立即体验

用中文搜PubMed

大模型驱动的PubMed中文搜索引擎

马上搜索

文档翻译

学术文献翻译模型,支持多种主流文档格式。

立即体验