Suppr超能文献

宫颈储备细胞中的基底细胞角蛋白及其与宫颈上皮内瘤变中表达的比较。

Basal-cell keratins in cervical reserve cells and a comparison to their expression in cervical intraepithelial neoplasia.

作者信息

Smedts F, Ramaekers F, Troyanovsky S, Pruszczynski M, Robben H, Lane B, Leigh I, Plantema F, Vooijs P

机构信息

Department of Pathology, University Hospital Nijmegen, The Netherlands.

出版信息

Am J Pathol. 1992 Mar;140(3):601-12.

Abstract

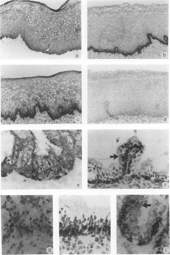
Expression of keratins 5, 14 and 17 in endocervical subcolumnar reserve cells was detected by means of immunohistochemical studies using polypeptide specific monoclonal antibodies. These particular keratins that were found among others in basal cells could also be detected to a variable extent in metaplastic and dysplastic cervical lesions. In some cases of immature squamous metaplasia all three keratin subtypes were expressed throughout the full thickness of the epithelium. In contrast, in mature squamous metaplasia a compartmentalization of these keratins was observed. Mature squamous metaplastic epithelium showed a keratin distribution pattern comparable to ectocervical squamous epithelium, with the exception of keratin 17, which was only sporadically found in the basal layer of ectocervical epithelium and was always present in the basal cells of mature squamous metaplastic epithelium. During progression of cervical intraepithelial neoplasia a clear increase in the expression of keratin 17 was observed. However, also keratins 5 and 14 were expressed. Our results demonstrate that a considerable number of premalignant lesions of the uterine cervix express the same keratins as found in the progenitor reserve cells. Lesions that lack expression of keratin 17 may form a distinct group, which are regressive in nature and do not progress into cervical cancer.

摘要

采用多肽特异性单克隆抗体,通过免疫组织化学研究检测了子宫颈管柱状储备细胞中角蛋白5、14和17的表达。这些在基底细胞中发现的特定角蛋白,在化生和发育异常的宫颈病变中也能在不同程度上检测到。在一些未成熟鳞状化生病例中,所有三种角蛋白亚型在上皮全层均有表达。相反,在成熟鳞状化生中,观察到这些角蛋白的分区化。成熟鳞状化生上皮显示出与宫颈外鳞状上皮相似的角蛋白分布模式,但角蛋白17除外,其仅偶尔见于宫颈外上皮的基底层,而在成熟鳞状化生上皮的基底细胞中总是存在。在宫颈上皮内瘤变进展过程中,观察到角蛋白17的表达明显增加。然而,角蛋白5和14也有表达。我们的结果表明,相当数量的子宫颈癌前病变表达与祖代储备细胞中相同的角蛋白。缺乏角蛋白17表达的病变可能形成一个独特的组,其本质上是退行性的,不会发展为宫颈癌。

https://cdn.ncbi.nlm.nih.gov/pmc/blobs/dd41/1886162/39ffe0538115/amjpathol00087-0080-a.jpg

文献检索

告别复杂PubMed语法,用中文像聊天一样搜索,搜遍4000万医学文献。AI智能推荐,让科研检索更轻松。

立即免费搜索

文件翻译

保留排版,准确专业,支持PDF/Word/PPT等文件格式,支持 12+语言互译。

免费翻译文档

深度研究

AI帮你快速写综述,25分钟生成高质量综述,智能提取关键信息,辅助科研写作。

立即免费体验