• 文献检索
  • 文档翻译
  • 深度研究
  • 学术资讯
  • Suppr Zotero 插件Zotero 插件
  • 邀请有礼
  • 套餐&价格
  • 历史记录
应用&插件
Suppr Zotero 插件Zotero 插件浏览器插件Mac 客户端Windows 客户端微信小程序
定价
高级版会员购买积分包购买API积分包
服务
文献检索文档翻译深度研究API 文档MCP 服务
关于我们
关于 Suppr公司介绍联系我们用户协议隐私条款
关注我们

Suppr 超能文献

核心技术专利:CN118964589B侵权必究
粤ICP备2023148730 号-1Suppr @ 2026

文献检索

告别复杂PubMed语法,用中文像聊天一样搜索,搜遍4000万医学文献。AI智能推荐,让科研检索更轻松。

立即免费搜索

文件翻译

保留排版,准确专业,支持PDF/Word/PPT等文件格式,支持 12+语言互译。

免费翻译文档

深度研究

AI帮你快速写综述,25分钟生成高质量综述,智能提取关键信息,辅助科研写作。

立即免费体验

干扰素可诱导L929细胞中的黄嘌呤脱氢酶基因表达。

Interferons induce xanthine dehydrogenase gene expression in L929 cells.

作者信息

Falciani F, Ghezzi P, Terao M, Cazzaniga G, Garattini E

机构信息

Molecular Biology Unit, Centro Daniela e Catulla Borgomainerio, Milano, Italy.

出版信息

Biochem J. 1992 Aug 1;285 ( Pt 3)(Pt 3):1001-8. doi: 10.1042/bj2851001.

DOI:10.1042/bj2851001
PMID:1379796
原文链接:https://pmc.ncbi.nlm.nih.gov/articles/PMC1132894/
Abstract

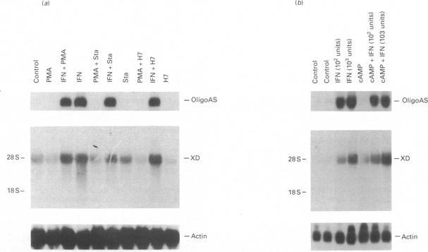
Human interferon-alpha A/D (Bg/II) (IFN-alpha A/D) and mouse interferon-gamma (IFN-gamma) are shown to induce xanthine dehydrogenase (XD) mRNA in L929 fibroblastic cells. XD mRNA accumulation after IFN-alpha A/D treatment is relatively fast, being already evident after 4 h and reaching its maximum after 24 h. IFN-alpha A/D is active in inducing XD mRNA at 0.1 unit/ml and it is maximally active at 10(3) units/ml. The half-life of the XD message is unaffected by IFN-alpha A/D treatment, whereas the transcriptional activity of the XD gene and the concentrations of XD heterogeneous nuclear RNA are increased by 2- and 6-fold respectively. The effect of IFN-alpha A/D on XD mRNA is insensitive to cycloheximide, suggesting that protein synthesis de novo is not required. Experiments conducted with specific inhibitors suggest that protein kinase C, cyclic AMP and arachidonic acid metabolites derived from lipoxygenase or cyclooxygenase do not act as second-messenger molecules in the induction of XD mRNA by IFN-alpha A/D. XD mRNA is also induced in NIH3T3 fibroblastic cells, but not in F9 teratocarcinoma or B16 melanoma cells after treatment with IFN-alpha A/D. NIH3T3 are the only cells so far tested that have detectable XD and xanthine oxidase activities under basal conditions and after IFN-alpha A/D treatment, although their responsiveness to the cytokine is much less than that observed in L929 cells.

摘要

人α-干扰素A/D(Bg/II)(IFN-αA/D)和小鼠γ-干扰素(IFN-γ)已被证明可诱导L929成纤维细胞中的黄嘌呤脱氢酶(XD)mRNA。IFN-αA/D处理后XD mRNA的积累相对较快,4小时后已很明显,24小时后达到最大值。IFN-αA/D在0.1单位/毫升时可有效诱导XD mRNA,在10³单位/毫升时活性最高。XD信息的半衰期不受IFN-αA/D处理的影响,而XD基因的转录活性和XD异质核RNA的浓度分别增加了2倍和6倍。IFN-αA/D对XD mRNA的作用对环己酰亚胺不敏感,这表明不需要从头合成蛋白质。用特异性抑制剂进行的实验表明,蛋白激酶C、环磷酸腺苷以及源自脂氧合酶或环氧化酶的花生四烯酸代谢产物在IFN-αA/D诱导XD mRNA的过程中不作为第二信使分子。IFN-αA/D处理后,NIH3T3成纤维细胞中也可诱导XD mRNA,但F9畸胎瘤细胞或B16黑色素瘤细胞中则不能。NIH3T3是迄今为止测试的唯一细胞系,在基础条件下和IFN-αA/D处理后具有可检测到的XD和黄嘌呤氧化酶活性,尽管它们对细胞因子的反应性远低于L929细胞。

https://cdn.ncbi.nlm.nih.gov/pmc/blobs/01a8/1132894/86e206bbcceb/biochemj00130-0316-a.jpg
https://cdn.ncbi.nlm.nih.gov/pmc/blobs/01a8/1132894/58aa6dfca474/biochemj00130-0313-a.jpg
https://cdn.ncbi.nlm.nih.gov/pmc/blobs/01a8/1132894/a906deb9678d/biochemj00130-0313-b.jpg
https://cdn.ncbi.nlm.nih.gov/pmc/blobs/01a8/1132894/359ba8b9f777/biochemj00130-0314-a.jpg
https://cdn.ncbi.nlm.nih.gov/pmc/blobs/01a8/1132894/830dc2e5c757/biochemj00130-0314-b.jpg
https://cdn.ncbi.nlm.nih.gov/pmc/blobs/01a8/1132894/9e90d2f9aac5/biochemj00130-0314-c.jpg
https://cdn.ncbi.nlm.nih.gov/pmc/blobs/01a8/1132894/738d59016c39/biochemj00130-0315-a.jpg
https://cdn.ncbi.nlm.nih.gov/pmc/blobs/01a8/1132894/69d1ea692b8b/biochemj00130-0315-b.jpg
https://cdn.ncbi.nlm.nih.gov/pmc/blobs/01a8/1132894/86e206bbcceb/biochemj00130-0316-a.jpg
https://cdn.ncbi.nlm.nih.gov/pmc/blobs/01a8/1132894/58aa6dfca474/biochemj00130-0313-a.jpg
https://cdn.ncbi.nlm.nih.gov/pmc/blobs/01a8/1132894/a906deb9678d/biochemj00130-0313-b.jpg
https://cdn.ncbi.nlm.nih.gov/pmc/blobs/01a8/1132894/359ba8b9f777/biochemj00130-0314-a.jpg
https://cdn.ncbi.nlm.nih.gov/pmc/blobs/01a8/1132894/830dc2e5c757/biochemj00130-0314-b.jpg
https://cdn.ncbi.nlm.nih.gov/pmc/blobs/01a8/1132894/9e90d2f9aac5/biochemj00130-0314-c.jpg
https://cdn.ncbi.nlm.nih.gov/pmc/blobs/01a8/1132894/738d59016c39/biochemj00130-0315-a.jpg
https://cdn.ncbi.nlm.nih.gov/pmc/blobs/01a8/1132894/69d1ea692b8b/biochemj00130-0315-b.jpg
https://cdn.ncbi.nlm.nih.gov/pmc/blobs/01a8/1132894/86e206bbcceb/biochemj00130-0316-a.jpg

相似文献

1
Interferons induce xanthine dehydrogenase gene expression in L929 cells.干扰素可诱导L929细胞中的黄嘌呤脱氢酶基因表达。
Biochem J. 1992 Aug 1;285 ( Pt 3)(Pt 3):1001-8. doi: 10.1042/bj2851001.
2
Regulation of the 202 gene expression by interferons in L929 cells.干扰素对L929细胞中202基因表达的调控。
Biochem Biophys Res Commun. 1992 Sep 16;187(2):628-34. doi: 10.1016/0006-291x(92)91241-h.
3
Molecular cloning of a cDNA coding for mouse liver xanthine dehydrogenase. Regulation of its transcript by interferons in vivo.编码小鼠肝脏黄嘌呤脱氢酶的cDNA的分子克隆。体内干扰素对其转录物的调控。
Biochem J. 1992 May 1;283 ( Pt 3)(Pt 3):863-70. doi: 10.1042/bj2830863.
4
Molybdenum(VI) salts convert the xanthine oxidoreductase apoprotein into the active enzyme in mouse L929 fibroblastic cells.钼(VI)盐可将黄嘌呤氧化还原酶脱辅基蛋白转化为小鼠L929成纤维细胞中的活性酶。
Biochem J. 1994 Feb 15;298 ( Pt 1)(Pt 1):69-77. doi: 10.1042/bj2980069.
5
Regulation of endothelial cell xanthine dehydrogenase xanthine oxidase gene expression by oxygen tension.氧张力对内皮细胞黄嘌呤脱氢酶/黄嘌呤氧化酶基因表达的调控
Am J Physiol. 1994 Feb;266(2 Pt 1):L163-71. doi: 10.1152/ajplung.1994.266.2.L163.
6
Induction of the transcription factor IRF-1 and interferon-beta mRNAs by cytokines and activators of second-messenger pathways.细胞因子和第二信使途径激活剂对转录因子IRF-1和干扰素-β mRNA的诱导作用。
Proc Natl Acad Sci U S A. 1989 Dec;86(24):9936-40. doi: 10.1073/pnas.86.24.9936.
7
Dual regulatory effects of interferon-alpha, -beta, and -gamma on interleukin-8 gene expression by human gingival fibroblasts in culture upon stimulation with lipopolysaccharide from Prevotella intermedia, interleukin-1alpha, or tumor necrosis factor-alpha.在受到中间普氏菌的脂多糖、白细胞介素-1α或肿瘤坏死因子-α刺激后,干扰素-α、-β和-γ对培养的人牙龈成纤维细胞白细胞介素-8基因表达的双重调节作用。
J Dent Res. 1998 Aug;77(8):1597-605. doi: 10.1177/00220345980770080701.
8
12-O-tetradecanoylphorbol-13-acetate-dependent induction of xanthine dehydrogenase and conversion to xanthine oxidase in murine epidermis.12-O-十四烷酰佛波醇-13-乙酸酯依赖性诱导小鼠表皮中的黄嘌呤脱氢酶并转化为黄嘌呤氧化酶。
Cancer Res. 1987 Apr 1;47(7):1775-9.
9
Regulation of xanthine dehydrogenase and xanthine oxidase activity and gene expression in cultured rat pulmonary endothelial cells.培养的大鼠肺内皮细胞中黄嘌呤脱氢酶和黄嘌呤氧化酶活性及基因表达的调控
J Clin Invest. 1992 Jan;89(1):197-202. doi: 10.1172/JCI115563.
10
De novo protein synthesis is essential to human interferon gamma gene expression by the stimulation with polyI:polyC.从头合成蛋白质对于通过聚肌苷酸:聚胞苷酸刺激诱导人γ干扰素基因表达至关重要。
FEBS Lett. 1990 Feb 26;261(2):343-6. doi: 10.1016/0014-5793(90)80587-9.

引用本文的文献

1
Potential Opportunities for Pharmacogenetic-Based Therapeutic Exploitation of Xanthine Dehydrogenase in Cardiovascular Disease.基于药物遗传学对黄嘌呤脱氢酶在心血管疾病中进行治疗性开发的潜在机会。
Antioxidants (Basel). 2024 Nov 22;13(12):1439. doi: 10.3390/antiox13121439.
2
Generation of a new mouse model of glaucoma characterized by reduced expression of the AP-2β and AP-2δ proteins.生成一种新的青光眼小鼠模型,其特征是 AP-2β 和 AP-2δ 蛋白表达减少。
Sci Rep. 2017 Sep 11;7(1):11140. doi: 10.1038/s41598-017-11752-6.
3
Reperfusion injury and reactive oxygen species: The evolution of a concept.

本文引用的文献

1
Virus interference. I. The interferon.病毒干扰。一、干扰素。
Proc R Soc Lond B Biol Sci. 1957 Sep 12;147(927):258-67. doi: 10.1098/rspb.1957.0048.
2
Enhanced xanthine oxidase activity in mice treated with interferon and interferon inducers.用干扰素和干扰素诱导剂处理的小鼠中黄嘌呤氧化酶活性增强。
Biochem Biophys Res Commun. 1984 Feb 29;119(1):144-9. doi: 10.1016/0006-291x(84)91630-9.
3
Common control of the heat shock gene and early adenovirus genes: evidence for a cellular E1A-like activity.热休克基因与早期腺病毒基因的共同调控:细胞中类似E1A活性的证据。
再灌注损伤与活性氧:一个概念的演变
Redox Biol. 2015 Dec;6:524-551. doi: 10.1016/j.redox.2015.08.020. Epub 2015 Oct 8.
4
Fructose and vitamin C intake do not influence risk for developing hypertension.果糖和维生素C的摄入量不会影响患高血压的风险。
J Am Soc Nephrol. 2009 Apr;20(4):863-71. doi: 10.1681/ASN.2008050473. Epub 2009 Jan 14.
5
Identification of proteins binding to E-Box/Ku86 sites and function of the tumor suppressor SAFB1 in transcriptional regulation of the human xanthine oxidoreductase gene.鉴定与E-Box/Ku86位点结合的蛋白质以及肿瘤抑制因子SAFB1在人黄嘌呤氧化还原酶基因转录调控中的功能。
J Biol Chem. 2008 Oct 31;283(44):29681-9. doi: 10.1074/jbc.M802076200. Epub 2008 Sep 4.
6
Xanthine oxidase activity is influenced by environmental factors in Ethiopians.在埃塞俄比亚人中,黄嘌呤氧化酶活性受环境因素影响。
Eur J Clin Pharmacol. 2003 Oct;59(7):533-6. doi: 10.1007/s00228-003-0653-8. Epub 2003 Aug 21.
7
Mammalian molybdo-flavoenzymes, an expanding family of proteins: structure, genetics, regulation, function and pathophysiology.哺乳动物钼黄素酶:一个不断扩展的蛋白质家族——结构、遗传学、调控、功能及病理生理学
Biochem J. 2003 May 15;372(Pt 1):15-32. doi: 10.1042/BJ20030121.
8
Xanthine oxidase contributes to host defense against Burkholderia cepacia in the p47(phox-/-) mouse model of chronic granulomatous disease.在慢性肉芽肿病的p47(phox-/-)小鼠模型中,黄嘌呤氧化酶有助于宿主抵御洋葱伯克霍尔德菌。
Infect Immun. 2000 Apr;68(4):2374-8. doi: 10.1128/IAI.68.4.2374-2378.2000.
9
Multiple domains for initiator binding proteins TFII-I and YY-1 are present in the initiator and upstream regions of the rat XDH/XO TATA-less promoter.起始子结合蛋白TFII-I和YY-1的多个结构域存在于大鼠XDH/XO无TATA启动子的起始子及上游区域。
Nucleic Acids Res. 1998 Jun 1;26(11):2813-20. doi: 10.1093/nar/26.11.2813.
10
Correct usage of multiple transcription initiation sites and C/EBP-dependent transcription activation of the rat XDH/XO TATA-less promoter requires downstream elements located in the coding region of the gene.大鼠XDH/XO无TATA启动子多个转录起始位点的正确使用以及C/EBP依赖的转录激活需要位于基因编码区域的下游元件。
Nucleic Acids Res. 1998 Apr 1;26(7):1801-6. doi: 10.1093/nar/26.7.1801.
Mol Cell Biol. 1984 May;4(5):867-74. doi: 10.1128/mcb.4.5.867-874.1984.
4
Biochemical analysis of mutants of a macrophage cell line resistant to the growth-inhibitory activity of interferon.对一种对干扰素生长抑制活性具有抗性的巨噬细胞系突变体的生化分析。
J Cell Biol. 1984 Apr;98(4):1342-7. doi: 10.1083/jcb.98.4.1342.
5
A technique for radiolabeling DNA restriction endonuclease fragments to high specific activity.一种将DNA限制性内切酶片段放射性标记至高比活度的技术。
Anal Biochem. 1983 Jul 1;132(1):6-13. doi: 10.1016/0003-2697(83)90418-9.
6
Structure and expression in L-cells of a cloned H4 histone gene of the mouse.小鼠克隆H4组蛋白基因在L细胞中的结构与表达
J Mol Biol. 1981 Oct 5;151(4):607-25. doi: 10.1016/0022-2836(81)90426-5.
7
Mouse actin messenger RNAs. Construction and characterization of a recombinant plasmid molecule containing a complementary DNA transcript of mouse alpha-actin mRNA.小鼠肌动蛋白信使核糖核酸。含有小鼠α-肌动蛋白信使核糖核酸互补脱氧核糖核酸转录物的重组质粒分子的构建与特性分析。
J Biol Chem. 1981 Jan 25;256(2):1008-14.
8
A unique set of polypeptides is induced by gamma interferon in addition to those induced in common with alpha and beta interferons.除了与α和β干扰素共同诱导产生的那些多肽外,γ干扰素还能诱导产生一组独特的多肽。
Nature. 1983 Feb 3;301(5899):437-9. doi: 10.1038/301437a0.
9
Biochemistry of interferons and their actions.干扰素的生物化学及其作用
Annu Rev Biochem. 1982;51:251-82. doi: 10.1146/annurev.bi.51.070182.001343.
10
Genetic analysis of the role of cAMP in mediating effects of interferon.环磷酸腺苷(cAMP)在介导干扰素作用中角色的遗传分析
Proc Natl Acad Sci U S A. 1982 Mar;79(6):1879-83. doi: 10.1073/pnas.79.6.1879.