• 文献检索
  • 文档翻译
  • 深度研究
  • 学术资讯
  • Suppr Zotero 插件Zotero 插件
  • 邀请有礼
  • 套餐&价格
  • 历史记录
应用&插件
Suppr Zotero 插件Zotero 插件浏览器插件Mac 客户端Windows 客户端微信小程序
定价
高级版会员购买积分包购买API积分包
服务
文献检索文档翻译深度研究API 文档MCP 服务
关于我们
关于 Suppr公司介绍联系我们用户协议隐私条款
关注我们

Suppr 超能文献

核心技术专利:CN118964589B侵权必究
粤ICP备2023148730 号-1Suppr @ 2026

文献检索

告别复杂PubMed语法,用中文像聊天一样搜索,搜遍4000万医学文献。AI智能推荐,让科研检索更轻松。

立即免费搜索

文件翻译

保留排版,准确专业,支持PDF/Word/PPT等文件格式,支持 12+语言互译。

免费翻译文档

深度研究

AI帮你快速写综述,25分钟生成高质量综述,智能提取关键信息,辅助科研写作。

立即免费体验

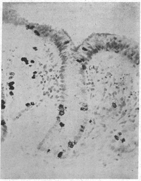
IN VITRO STUDY OF HUMAN RECTAL EPITHELIAL CELLS. I. ATYPICAL ZONE OF H3 THYMIDINE INCORPORATION IN MUCOSA OF MULTIPLE POLYPOSIS.

作者信息

DESCHNER E, LEWIS C M, LIPKIN M

出版信息

J Clin Invest. 1963 Dec;42(12):1922-8. doi: 10.1172/JCI104878.

DOI:10.1172/JCI104878
PMID:14086779
原文链接:https://pmc.ncbi.nlm.nih.gov/articles/PMC289480/
Abstract
摘要
https://cdn.ncbi.nlm.nih.gov/pmc/blobs/2514/289480/664ace1bd778/jcinvest00288-0102-b.jpg
https://cdn.ncbi.nlm.nih.gov/pmc/blobs/2514/289480/081e894d11f9/jcinvest00288-0099-a.jpg
https://cdn.ncbi.nlm.nih.gov/pmc/blobs/2514/289480/98888d0dc7af/jcinvest00288-0099-b.jpg
https://cdn.ncbi.nlm.nih.gov/pmc/blobs/2514/289480/f79c12cc4ad3/jcinvest00288-0101-a.jpg
https://cdn.ncbi.nlm.nih.gov/pmc/blobs/2514/289480/d418810b5360/jcinvest00288-0102-a.jpg
https://cdn.ncbi.nlm.nih.gov/pmc/blobs/2514/289480/664ace1bd778/jcinvest00288-0102-b.jpg
https://cdn.ncbi.nlm.nih.gov/pmc/blobs/2514/289480/081e894d11f9/jcinvest00288-0099-a.jpg
https://cdn.ncbi.nlm.nih.gov/pmc/blobs/2514/289480/98888d0dc7af/jcinvest00288-0099-b.jpg
https://cdn.ncbi.nlm.nih.gov/pmc/blobs/2514/289480/f79c12cc4ad3/jcinvest00288-0101-a.jpg
https://cdn.ncbi.nlm.nih.gov/pmc/blobs/2514/289480/d418810b5360/jcinvest00288-0102-a.jpg
https://cdn.ncbi.nlm.nih.gov/pmc/blobs/2514/289480/664ace1bd778/jcinvest00288-0102-b.jpg

相似文献

1
IN VITRO STUDY OF HUMAN RECTAL EPITHELIAL CELLS. I. ATYPICAL ZONE OF H3 THYMIDINE INCORPORATION IN MUCOSA OF MULTIPLE POLYPOSIS.人直肠上皮细胞的体外研究。I. 多发性息肉病黏膜中H3胸腺嘧啶核苷掺入的非典型区域。
J Clin Invest. 1963 Dec;42(12):1922-8. doi: 10.1172/JCI104878.
2
Cell renewal in familial polyposis: comparison between polyps and adjacent healthy mucosa.家族性息肉病中的细胞更新:息肉与相邻健康黏膜的比较。
Gastroenterology. 1972 Aug;63(2):240-5.
3
KINETICS OF THE EPITHELIAL CELLS, AND MORPHOLOGY OF VILLI AND CRYPTS IN THE JEJUNUM OF THE RAT INFECTED BY THE NEMATODE NIPPOSTRONGYLUS BRASILIENSIS.感染巴西日圆线虫的大鼠空肠上皮细胞动力学及绒毛和隐窝形态学
Gastroenterology. 1965 Aug;49:158-68.
4
Cell proliferation in gastrointestinal disease.胃肠道疾病中的细胞增殖
Natl Cancer Inst Monogr. 1969 May;30:199-207.
5
REACTION OF THE SMALL INTESTINE TO INDUCED PROTEIN MALNUTRITION IN RHESUS MONKEYS. A STUDY OF CELL POPULATION KINETICS IN THE JEJUNUM.恒河猴小肠对诱导性蛋白质营养不良的反应。空肠细胞群体动力学研究。
Gastroenterology. 1965 Aug;49:150-7.
6
[Incorporation of H3-thymidine in intraepidermal Langerhans cells].[3H-胸腺嘧啶核苷在表皮内朗格汉斯细胞中的掺入]
Strahlentherapie Sonderb. 1968;67:303-7.
7
Tritiated thymidine incorporation into epithelial cells of normal-appearing colorectal mucosa of cancer patients.氚标记胸腺嘧啶核苷掺入癌症患者外观正常的结直肠黏膜上皮细胞中。
J Natl Cancer Inst. 1977 May;58(5):1221-4. doi: 10.1093/jnci/58.5.1221.
8
Induction of squamous metaplasia (vitamin A deficiency) and hypersecretory activity in tracheal organ cultures.气管器官培养中鳞状化生(维生素A缺乏)的诱导及高分泌活性
Lab Invest. 1975 Oct;33(4):451-60.
9
[Proliferation of squamous epithelia in the anterior digestive tract of rabbits (author's transl)].家兔前消化道鳞状上皮的增殖(作者译)
Arch Otorhinolaryngol. 1974 Jul 10;208(1):49-59. doi: 10.1007/BF00460326.
10
Thymidine incorporation in esophageal wounds of zinc-deficient rats.缺锌大鼠食管伤口处的胸苷掺入情况。
Surgery. 1974 May;75(5):660-3.

引用本文的文献

1
Multi-scale modeling of APC and [Formula: see text]-catenin regulation in the human colonic crypt.人类结肠隐窝中APC和β-连环蛋白调控的多尺度建模
J Math Biol. 2018 Jun;76(7):1797-1830. doi: 10.1007/s00285-017-1204-8. Epub 2018 Jan 4.
2
Development and evaluation of a porcine in vitro colon organ culture technique.猪体外结肠器官培养技术的开发与评估
In Vitro Cell Dev Biol Anim. 2016 Oct;52(9):942-952. doi: 10.1007/s11626-016-0060-y. Epub 2016 Jun 23.
3
An APC:WNT Counter-Current-Like Mechanism Regulates Cell Division Along the Human Colonic Crypt Axis: A Mechanism That Explains How APC Mutations Induce Proliferative Abnormalities That Drive Colon Cancer Development.

本文引用的文献

1
CELL PROLIFERATION KINETICS IN THE GASTROINTESTINAL TRACT OF MAN. I. CELL RENEWAL IN COLON AND RECTUM.人类胃肠道中的细胞增殖动力学。I. 结肠和直肠中的细胞更新
J Clin Invest. 1963 Jun;42(6):767-76. doi: 10.1172/JCI104769.
2
Induction of tumours in mice with tritiated thymidine.用氚标记的胸腺嘧啶核苷诱导小鼠肿瘤
Nature. 1961 Nov 11;192:571-2. doi: 10.1038/192571a0.
3
Generation time of epithelial cells in the human colon.
Nature. 1962 Jul 14;195:175-7. doi: 10.1038/195175b0.
一种APC:WNT逆流样机制沿人类结肠隐窝轴调节细胞分裂:一种解释APC突变如何诱导增殖异常从而驱动结肠癌发展的机制。
Front Oncol. 2013 Nov 7;3:244. doi: 10.3389/fonc.2013.00244.
4
Identification of a developmental gene expression signature, including HOX genes, for the normal human colonic crypt stem cell niche: overexpression of the signature parallels stem cell overpopulation during colon tumorigenesis.鉴定出一种发育相关的基因表达特征,包括 HOX 基因,用于正常人类结肠隐窝干细胞生态位:该特征的过表达与结肠癌发生过程中的干细胞过度增殖相平行。
Stem Cells Dev. 2014 Jan 15;23(2):167-79. doi: 10.1089/scd.2013.0039. Epub 2013 Nov 5.
5
Survivin-induced Aurora-B kinase activation: A mechanism by which APC mutations contribute to increased mitoses during colon cancer development.Survivin 诱导的 Aurora-B 激酶激活:APC 突变促进结肠癌发展过程中细胞有丝分裂增加的一种机制。
Am J Pathol. 2010 Dec;177(6):2816-26. doi: 10.2353/ajpath.2010.100047. Epub 2010 Nov 5.
6
Molecular models for the tissue specificity of DNA mismatch repair-deficient carcinogenesis.DNA错配修复缺陷致癌作用组织特异性的分子模型。
Nucleic Acids Res. 2006 Feb 6;34(3):840-52. doi: 10.1093/nar/gkj489. Print 2006.
7
Colonic crypt changes during adenoma development in familial adenomatous polyposis: immunohistochemical evidence for expansion of the crypt base cell population.家族性腺瘤性息肉病腺瘤发生过程中的结肠隐窝变化:隐窝基底细胞群扩张的免疫组化证据
Am J Pathol. 2004 Nov;165(5):1489-98. doi: 10.1016/S0002-9440(10)63407-4.
8
Aberrant crypt foci in colorectal carcinogenesis. Cell and crypt dynamics.结直肠癌发生过程中的异常隐窝病灶。细胞和隐窝动态变化。
Cell Prolif. 2000 Feb;33(1):1-18. doi: 10.1046/j.1365-2184.2000.00159.x.
9
Proliferation and differentiation biomarkers in colorectal mucosa and their application to chemoprevention studies.结直肠黏膜中的增殖和分化生物标志物及其在化学预防研究中的应用。
Environ Health Perspect. 1993 Mar;99:169-73. doi: 10.1289/ehp.9399169.
10
Proliferating cell nuclear antigen/cyclin expression in small adenomas of the large intestine in relation to size and macroscopic appearance.大肠小腺瘤中增殖细胞核抗原/细胞周期蛋白表达与大小及大体外观的关系
J Gastroenterol. 1994 Apr;29(2):139-46. doi: 10.1007/BF02358674.
4
Genetic factors in intestinal polyposis.肠息肉病中的遗传因素。
JAMA. 1962 Oct 20;182:271-7. doi: 10.1001/jama.1962.03050420047012.
5
Mutations induced in the mouse with tritiated thymidine.用氚标记的胸腺嘧啶核苷在小鼠中诱导的突变。
Nature. 1962 Feb 17;193:705-6. doi: 10.1038/193705a0.
6
Uptake of tritiated thymidine by human tumors in vivo.体内人肿瘤对氚标记胸腺嘧啶核苷的摄取。
Lab Invest. 1962 May;11:360-4.
7
Clinical and genetic problems in familial in-intestinal polyposis.家族性肠息肉病的临床与遗传学问题
Gut. 1960 Dec;1(4):285-90. doi: 10.1136/gut.1.4.285.
8
Cell proliferation and migration as revealed by radioautography after injection of thymidine-H3 into male rats and mice.给雄性大鼠和小鼠注射氚标记胸腺嘧啶核苷后,通过放射自显影术显示的细胞增殖和迁移情况。
Am J Anat. 1960 May;106:247-85. doi: 10.1002/aja.1001060305.
9
Observations of cell renewal in human rectal mucosa in vivo with thymidine-H3.用氚标记胸腺嘧啶核苷对人体直肠黏膜细胞更新进行的体内观察。
Gastroenterology. 1961 Aug;41:122-5.
10
Cell population kinetics in the intestinal epithelium of the mouse.小鼠肠道上皮中的细胞群体动力学
Exp Cell Res. 1959 Jun;17(3):420-38. doi: 10.1016/0014-4827(59)90063-1.