Suppr超能文献

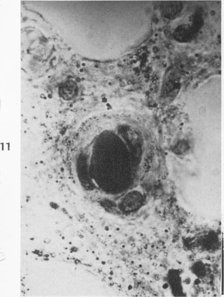
Fat emboli in glomerular capillaries of choline-deficient rats and of patients with diabetic glomerulosclerosis.

作者信息

HARTROFT W S

出版信息

Am J Pathol. 1955 May-Jun;31(3):381-97.

Abstract
摘要
https://cdn.ncbi.nlm.nih.gov/pmc/blobs/9d86/1942678/c43281999faf/amjpathol00697-0014-a.jpg

文献检索

告别复杂PubMed语法,用中文像聊天一样搜索,搜遍4000万医学文献。AI智能推荐,让科研检索更轻松。

立即免费搜索

文件翻译

保留排版,准确专业,支持PDF/Word/PPT等文件格式,支持 12+语言互译。

免费翻译文档

深度研究

AI帮你快速写综述,25分钟生成高质量综述,智能提取关键信息,辅助科研写作。

立即免费体验