Mason H S, Lam D M, Arntzen C J
AgriStar Inc., Conroe, TX 77301.
Proc Natl Acad Sci U S A. 1992 Dec 15;89(24):11745-9. doi: 10.1073/pnas.89.24.11745.
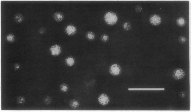
Tobacco plants were genetically transformed with the gene encoding hepatitis B surface antigen (HBsAg) linked to a nominally constitutive promoter. Enzyme-linked immunoassays using a monoclonal antibody directed against human serum-derived HBsAg revealed the presence of HBsAg in extracts of transformed leaves at levels that correlated with mRNA abundance. This suggests that there were no major inherent limitations of transcription or translation of this foreign gene in plants. Recombinant HBsAg was purified from transgenic plants by immunoaffinity chromatography and examined by electron microscopy. Spherical particles with an average diameter of 22 nm were observed in negatively stained preparations. Sedimentation of transgenic plant extracts in sucrose and cesium chloride density gradients showed that the recombinant HBsAg and human serum-derived HBsAg had similar physical properties. Because the HBsAg produced in transgenic plants is antigenically and physically similar to the HBsAg particles derived from human serum and recombinant yeast, which are used as vaccines, we conclude that transgenic plants hold promise as low-cost vaccine production systems.
将编码乙型肝炎表面抗原(HBsAg)的基因与一个名义上组成型启动子相连,对烟草植株进行遗传转化。使用针对人血清来源的HBsAg的单克隆抗体进行酶联免疫分析,结果显示转化叶片提取物中存在HBsAg,其水平与mRNA丰度相关。这表明该外源基因在植物中的转录或翻译不存在重大内在限制。通过免疫亲和层析从转基因植物中纯化重组HBsAg,并进行电子显微镜检查。在负染制剂中观察到平均直径为22 nm的球形颗粒。转基因植物提取物在蔗糖和氯化铯密度梯度中的沉降显示,重组HBsAg与人血清来源的HBsAg具有相似的物理性质。由于转基因植物中产生的HBsAg在抗原性和物理性质上与用作疫苗的人血清来源和重组酵母来源的HBsAg颗粒相似,我们得出结论,转基因植物有望成为低成本疫苗生产系统。