Suppr超能文献

阿尔茨海默病患者局部脑血流量与认知功能的研究。

A study of regional cerebral blood flow and cognitive performance in Alzheimer's disease.

作者信息

O'Brien J T, Eagger S, Syed G M, Sahakian B J, Levy R

机构信息

Section of Old Age Psychiatry, Institute of Psychiatry, London, UK.

出版信息

J Neurol Neurosurg Psychiatry. 1992 Dec;55(12):1182-7. doi: 10.1136/jnnp.55.12.1182.

Abstract

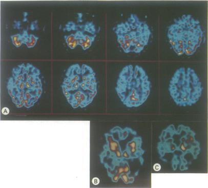
Thirty five patients with dementia of the Alzheimer type (DAT) and 35 controls matched for age, sex and handedness were investigated using single photon emission computer tomography (SPECT) with 99m technetium HMPAO. Regional cerebral blood flow (rCBF) was assessed semi-quantitatively in 18 cortical and 4 subcortical areas by normalising mean information density in each region to cerebellar mean information density. Analysis revealed significantly reduced rCBF to temporal, parietal, frontal and left occipital cortex in the patients whilst blood flow to subcortical areas showed no differences between the 2 groups. In addition, significant left-sided cortical hypoperfusion was seen in the DAT group but not in controls. When patients were sub-divided on the basis of disease severity, those with mild disease showed temporal, parietal and left frontal changes with more severely affected patients also showing right frontal and left occipital involvement. rCBF patterns did not distinguish between presenile and senile onset cases once duration and severity of illness were controlled. Eight cortical areas were also rated visually for perfusion deficits on a simple 4 point scale. Perfusion deficits were detected in 34 of 35 patients but in only 4 of 35 controls. In the DAT group significant correlations were found between many of the neuropsychological tests used and rCBF. Memory correlated with left temporal activity, praxis, perception, object assembly and block design with right parietal activity and language with activity throughout the left hemisphere. Significant correlations were also seen between subcortical and cortical blood flow, possibly explaining the correlations observed between many of the neuropsychological tests and thalamic blood flow.

摘要

对35例阿尔茨海默型痴呆(DAT)患者以及35例在年龄、性别和利手方面与之匹配的对照者,使用锝-99m六甲基丙烯胺肟(99mTc-HMPAO)单光子发射计算机断层扫描(SPECT)进行研究。通过将每个区域的平均信息密度与小脑平均信息密度进行归一化,对18个皮质区域和4个皮质下区域的局部脑血流量(rCBF)进行半定量评估。分析显示,患者颞叶、顶叶、额叶和左侧枕叶皮质的rCBF显著降低,而两组皮质下区域的血流量无差异。此外,DAT组出现显著的左侧皮质灌注不足,而对照组未出现。当根据疾病严重程度对患者进行细分时,轻度疾病患者表现出颞叶、顶叶和左侧额叶的变化,病情更严重的患者还表现出右侧额叶和左侧枕叶受累。一旦控制了病程和疾病严重程度,rCBF模式无法区分早老性和老年性发病病例。还使用简单的4分制对8个皮质区域的灌注缺损进行视觉评分。35例患者中有34例检测到灌注缺损,而35例对照者中只有4例检测到。在DAT组中,发现所使用的许多神经心理学测试与rCBF之间存在显著相关性。记忆力与左侧颞叶活动相关,运用、感知、物体组装和积木设计与右侧顶叶活动相关,语言与整个左侧半球的活动相关。皮质下和皮质血流量之间也存在显著相关性,这可能解释了许多神经心理学测试与丘脑血流量之间观察到的相关性。

https://cdn.ncbi.nlm.nih.gov/pmc/blobs/efb1/1015336/dc0ca2dfd410/jnnpsyc00497-0081-a.jpg

文献检索

告别复杂PubMed语法,用中文像聊天一样搜索,搜遍4000万医学文献。AI智能推荐,让科研检索更轻松。

立即免费搜索

文件翻译

保留排版,准确专业,支持PDF/Word/PPT等文件格式,支持 12+语言互译。

免费翻译文档

深度研究

AI帮你快速写综述,25分钟生成高质量综述,智能提取关键信息,辅助科研写作。

立即免费体验