Müller Gundi, Wohlsein Peter, Beineke Andreas, Haas Ludwig, Greiser-Wilke Irene, Siebert Ursula, Fonfara Sonja, Harder Timm, Stede Michael, Gruber Achim D, Baumgärtner Wolfgang
School of Veterinary Medicine Hannover, Hannover, Germany.
Emerg Infect Dis. 2004 Apr;10(4):723-5. doi: 10.3201/eid1004.030591.
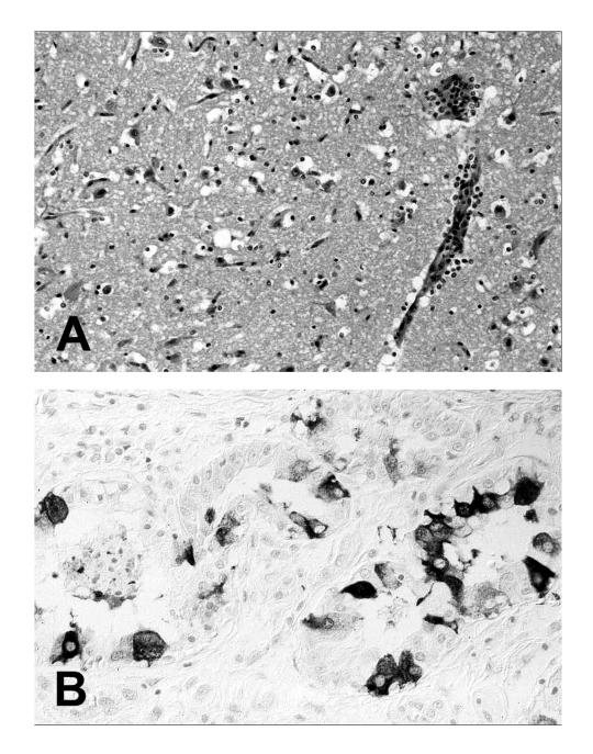
Approximately 21,700 seals died during a morbillivirus epidemic in northwestern Europe in 2002. Phocine distemper virus 1 was isolated from seals in German waters. The sequence of the P gene showed 97% identity with the Dutch virus isolated in 1988. There was 100% identity with the Dutch isolate from 2002 and a single nucleotide mismatch with the Danish isolate.
2002年,在欧洲西北部的一场麻疹病毒疫情中,约21700只海豹死亡。从德国海域的海豹身上分离出了海豹瘟热病毒1型。P基因序列与1988年在荷兰分离出的病毒有97%的同一性。与2002年荷兰分离株有100%的同一性,与丹麦分离株有一个单核苷酸错配。