Loh C S, Bedwell J, MacRobert A J, Krasner N, Phillips D, Bown S G
Gastroenterology Unit, Walton Hospital, Liverpool, UK.
Br J Cancer. 1992 Sep;66(3):452-62. doi: 10.1038/bjc.1992.295.
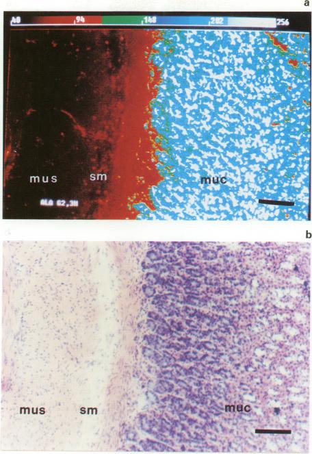
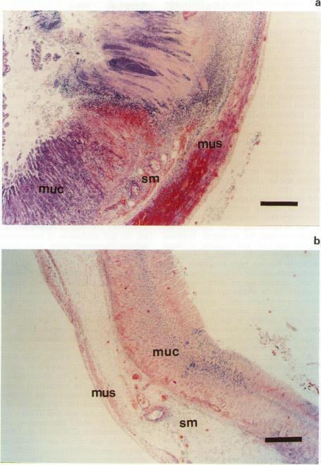
Dysplasia in the upper gastrointestinal tract carries a risk of invasive malignant change. Surgical excision of the affected organ is the only treatment available. Photodynamic therapy has been shown to be promising in the treatment of early and superficial tumours and may be useful for the ablation of dysplastic mucosa. Because of the diffuse nature of the disease, such treatment would necessarily involve destruction of large areas of mucosa and it is desirable to confine its effect to the mucosa in order that safe healing can take place. By means of photometric fluorescence microscopy, we have studied the pattern of photosensitisation in the normal rat stomach using di-sulphonated aluminium phthalocyanine (AlS2Pc) and 5-aminolaevulinic acid (ALA) as photosensitisizers. AlS2Pc resulted in a panmural photosensitisation of the gastric wall with the highest level encountered in the submucosa. The mucosa and muscularis propria were sensitised to equal extent. Following light exposure, a full thickness damage resulted. ALA is a natural porphyrin precursor and exogenous administration gave rise to accumulation of protoporphyrin IX (PPIX) in the cells. The resultant pattern of photosensitisation was predominantly mucosal and its photodynamic effect was essentially confined to the mucosa. ALA produced a selective photosensitisation of the gastric mucosa for its photodynamic ablation with sparing the underlying tissue layers.
上消化道发育异常有发生浸润性恶性病变的风险。受影响器官的手术切除是唯一可用的治疗方法。光动力疗法已被证明在早期和浅表肿瘤的治疗中很有前景,可能对发育异常的黏膜消融有用。由于该疾病的弥漫性,这种治疗必然会涉及大面积黏膜的破坏,为了实现安全愈合,希望将其作用局限于黏膜。通过光度荧光显微镜,我们使用二磺酸铝酞菁(AlS2Pc)和5-氨基乙酰丙酸(ALA)作为光敏剂,研究了正常大鼠胃中的光敏化模式。AlS2Pc导致胃壁全层光敏化,黏膜下层的光敏化程度最高。黏膜和固有肌层的光敏化程度相同。光照后,导致全层损伤。ALA是一种天然卟啉前体,外源性给药会导致细胞中原卟啉IX(PPIX)的积累。由此产生的光敏化模式主要是黏膜性的,其光动力效应基本上局限于黏膜。ALA对胃黏膜产生选择性光敏化,用于其光动力消融,同时保留下面的组织层。