• 文献检索
  • 文档翻译
  • 深度研究
  • 学术资讯
  • Suppr Zotero 插件Zotero 插件
  • 邀请有礼
  • 套餐&价格
  • 历史记录
应用&插件
Suppr Zotero 插件Zotero 插件浏览器插件Mac 客户端Windows 客户端微信小程序
定价
高级版会员购买积分包购买API积分包
服务
文献检索文档翻译深度研究API 文档MCP 服务
关于我们
关于 Suppr公司介绍联系我们用户协议隐私条款
关注我们

Suppr 超能文献

核心技术专利:CN118964589B侵权必究
粤ICP备2023148730 号-1Suppr @ 2026

文献检索

告别复杂PubMed语法,用中文像聊天一样搜索,搜遍4000万医学文献。AI智能推荐,让科研检索更轻松。

立即免费搜索

文件翻译

保留排版,准确专业,支持PDF/Word/PPT等文件格式,支持 12+语言互译。

免费翻译文档

深度研究

AI帮你快速写综述,25分钟生成高质量综述,智能提取关键信息,辅助科研写作。

立即免费体验

人心脏α-肌动蛋白启动子的心肌激活:由螺旋-环-螺旋蛋白介导

Myocardial activation of the human cardiac alpha-actin promoter by helix-loop-helix proteins.

作者信息

Sartorelli V, Hong N A, Bishopric N H, Kedes L

机构信息

Institute for Genetic Medicine, University of Southern California, School of Medicine, Los Angeles 90033.

出版信息

Proc Natl Acad Sci U S A. 1992 May 1;89(9):4047-51. doi: 10.1073/pnas.89.9.4047.

DOI:10.1073/pnas.89.9.4047
PMID:1570331
原文链接:https://pmc.ncbi.nlm.nih.gov/articles/PMC525629/
Abstract

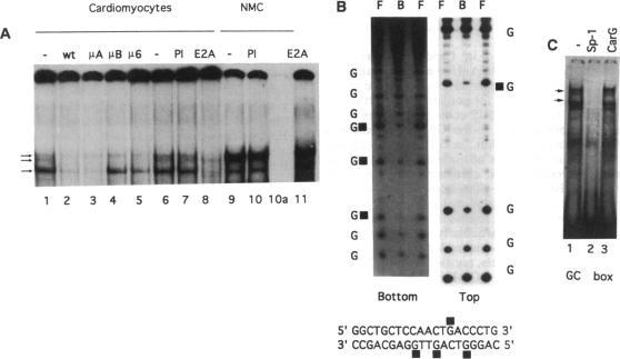
The cardiac alpha-actin gene is expressed in both heart and skeletal muscle. In skeletal myogenic cells, the 177-base-pair promoter of the human cardiac alpha-actin (HCA) gene requires three transcription factors for activation: Sp1, serum response factor (SRF), and MyoD. However, MyoD is undetectable in heart. To search for a functional equivalent of MyoD, we analyzed the transcriptional regulation of the HCA promoter in primary cultures of rat cardiac myocytes. The same DNA sequence elements recognized by SRF, Sp1, and MyoD and required for HCA transcription in skeletal muscle cells were also found to be necessary for expression in cardiomyocytes. Overexpression of Id, a negative regulator of basic helix-loop-helix proteins, selectively attenuated expression of the HCA promoter. Cardiomyocyte nuclei contain a protein complex that specifically interacts with the same required sequence (E box) in the HCA promoter that is bound by MyoD in skeletal myogenic cells. Furthermore, these complexes contain a peptide that is a member of the E2A family of basic helix-loop-helix proteins. Cardiomyocyte nuclei appear to be enriched for a protein that can bind to the E-box site as dimers with the E12 protein. These results suggest that a member of the basic helix-loop-helix family, together with SRF and Sp1, activates the HCA promoter in heart. Alternative strategies for myocardial transcription of HCA are discussed.

摘要

心脏α-肌动蛋白基因在心脏和骨骼肌中均有表达。在骨骼肌成肌细胞中,人类心脏α-肌动蛋白(HCA)基因的177个碱基对启动子需要三种转录因子激活:Sp1、血清反应因子(SRF)和MyoD。然而,在心脏中未检测到MyoD。为了寻找MyoD的功能等效物,我们分析了大鼠心肌细胞原代培养物中HCA启动子的转录调控。在骨骼肌细胞中被SRF、Sp1和MyoD识别且HCA转录所需的相同DNA序列元件,在心肌细胞表达中也被发现是必需的。碱性螺旋-环-螺旋蛋白的负调节因子Id的过表达选择性地减弱了HCA启动子的表达。心肌细胞核含有一种蛋白复合物,该复合物与HCA启动子中与骨骼肌成肌细胞中MyoD结合的相同所需序列(E盒)特异性相互作用。此外,这些复合物含有一种肽,该肽是碱性螺旋-环-螺旋蛋白E2A家族的成员。心肌细胞核似乎富含一种能与E12蛋白以二聚体形式结合到E盒位点的蛋白。这些结果表明,碱性螺旋-环-螺旋家族的一个成员与SRF和Sp1一起激活心脏中的HCA启动子。文中还讨论了HCA心肌转录的替代策略。

https://cdn.ncbi.nlm.nih.gov/pmc/blobs/1b52/525629/ddad1bfd0aeb/pnas01083-0390-a.jpg
https://cdn.ncbi.nlm.nih.gov/pmc/blobs/1b52/525629/bce365e8d1e0/pnas01083-0388-a.jpg
https://cdn.ncbi.nlm.nih.gov/pmc/blobs/1b52/525629/a835213a5a5b/pnas01083-0389-a.jpg
https://cdn.ncbi.nlm.nih.gov/pmc/blobs/1b52/525629/ddad1bfd0aeb/pnas01083-0390-a.jpg
https://cdn.ncbi.nlm.nih.gov/pmc/blobs/1b52/525629/bce365e8d1e0/pnas01083-0388-a.jpg
https://cdn.ncbi.nlm.nih.gov/pmc/blobs/1b52/525629/a835213a5a5b/pnas01083-0389-a.jpg
https://cdn.ncbi.nlm.nih.gov/pmc/blobs/1b52/525629/ddad1bfd0aeb/pnas01083-0390-a.jpg

相似文献

1
Myocardial activation of the human cardiac alpha-actin promoter by helix-loop-helix proteins.人心脏α-肌动蛋白启动子的心肌激活:由螺旋-环-螺旋蛋白介导
Proc Natl Acad Sci U S A. 1992 May 1;89(9):4047-51. doi: 10.1073/pnas.89.9.4047.
2
Myogenic basic helix-loop-helix proteins and Sp1 interact as components of a multiprotein transcriptional complex required for activity of the human cardiac alpha-actin promoter.生肌碱性螺旋-环-螺旋蛋白和Sp1作为人类心脏α-肌动蛋白启动子活性所需的多蛋白转录复合物的组成部分相互作用。
Mol Cell Biol. 1999 Apr;19(4):2577-84. doi: 10.1128/MCB.19.4.2577.
3
Heterodimers of myogenic helix-loop-helix regulatory factors and E12 bind a complex element governing myogenic induction of the avian cardiac alpha-actin promoter.生肌螺旋-环-螺旋调节因子与E12的异二聚体结合一个控制禽类心脏α-肌动蛋白启动子生肌诱导的复合元件。
Mol Cell Biol. 1991 May;11(5):2439-50. doi: 10.1128/mcb.11.5.2439-2450.1991.
4
The avian cardiac alpha-actin promoter is regulated through a pair of complex elements composed of E boxes and serum response elements that bind both positive- and negative-acting factors.禽类心脏α-肌动蛋白启动子通过一对由E盒和血清反应元件组成的复杂元件进行调控,这些元件可结合正性和负性作用因子。
J Biol Chem. 1994 Apr 29;269(17):12731-40.
5
Muscle-specific expression of the cardiac alpha-actin gene requires MyoD1, CArG-box binding factor, and Sp1.心肌α-肌动蛋白基因的肌肉特异性表达需要MyoD1、CArG盒结合因子和Sp1。
Genes Dev. 1990 Oct;4(10):1811-22. doi: 10.1101/gad.4.10.1811.
6
Smooth muscle alpha-actin gene requires two E-boxes for proper expression in vivo and is a target of class I basic helix-loop-helix proteins.平滑肌α-肌动蛋白基因在体内正常表达需要两个E盒,并且是I类碱性螺旋-环-螺旋蛋白的作用靶点。
Circ Res. 2003 May 2;92(8):840-7. doi: 10.1161/01.RES.0000069031.55281.7C. Epub 2003 Mar 27.
7
A novel myogenic regulatory circuit controls slow/cardiac troponin C gene transcription in skeletal muscle.一种新型的生肌调节回路控制骨骼肌中慢肌/心肌肌钙蛋白C基因的转录。
Mol Cell Biol. 1994 Mar;14(3):1870-85. doi: 10.1128/mcb.14.3.1870-1885.1994.
8
Tissue-specific expression of the skeletal alpha-actin gene involves sequences that can function independently of MyoD and Id.骨骼肌α-肌动蛋白基因的组织特异性表达涉及一些能够独立于MyoD和Id发挥作用的序列。
Gene Expr. 1992;2(3):241-57.
9
Activation of the cardiac alpha-actin promoter depends upon serum response factor, Tinman homologue, Nkx-2.5, and intact serum response elements.心脏α-肌动蛋白启动子的激活取决于血清反应因子、Tinman同源物、Nkx-2.5和完整的血清反应元件。
Dev Genet. 1996;19(2):119-30. doi: 10.1002/(SICI)1520-6408(1996)19:2<119::AID-DVG3>3.0.CO;2-C.
10
Regulation of the human cardiac/slow-twitch troponin C gene by multiple, cooperative, cell-type-specific, and MyoD-responsive elements.人心脏/慢肌肌钙蛋白C基因受多种协同、细胞类型特异性及MyoD反应元件的调控。
Mol Cell Biol. 1993 Nov;13(11):6752-65. doi: 10.1128/mcb.13.11.6752-6765.1993.

引用本文的文献

1
The virtue of just enough stress: a molecular model.适度压力的益处:一种分子模型。
Trans Am Clin Climatol Assoc. 2012;123:175-91; discussion 191-2.
2
The myogenic regulatory circuit that controls cardiac/slow twitch troponin C gene transcription in skeletal muscle involves E-box, MEF-2, and MEF-3 motifs.控制骨骼肌中心脏/慢肌肌钙蛋白C基因转录的生肌调节回路涉及E盒、MEF-2和MEF-3基序。
Gene Expr. 1999;8(4):247-61.
3
Mouse BTEB3, a new member of the basic transcription element binding protein (BTEB) family, activates expression from GC-rich minimal promoter regions.

本文引用的文献

1
Accurate transcription initiation by RNA polymerase II in a soluble extract from isolated mammalian nuclei.从分离的哺乳动物细胞核的可溶性提取物中,RNA聚合酶II进行准确的转录起始。
Nucleic Acids Res. 1983 Mar 11;11(5):1475-89. doi: 10.1093/nar/11.5.1475.
2
The maternal sex determination gene daughterless has zygotic activity necessary for the formation of peripheral neurons in Drosophila.母本性别决定基因无女儿基因具有果蝇外周神经元形成所必需的合子活性。
Genes Dev. 1988 Jul;2(7):843-52. doi: 10.1101/gad.2.7.843.
3
Identification of multiple proteins that interact with functional regions of the human cardiac alpha-actin promoter.
小鼠BTEB3是碱性转录元件结合蛋白(BTEB)家族的新成员,可激活富含GC的最小启动子区域的表达。
Biochem J. 2000 Feb 1;345 Pt 3(Pt 3):529-33.
4
Cardiac hypertrophy: old concepts, new perspectives.心脏肥大:旧概念,新视角。
Mol Cell Biochem. 1997 Nov;176(1-2):273-9.
5
The basic domain of myogenic basic helix-loop-helix (bHLH) proteins is the novel target for direct inhibition by another bHLH protein, Twist.生肌碱性螺旋-环-螺旋(bHLH)蛋白的基本结构域是另一种bHLH蛋白Twist直接抑制的新靶点。
Mol Cell Biol. 1997 Nov;17(11):6563-73. doi: 10.1128/MCB.17.11.6563.
6
Transcription enhancer factor 1 interacts with a basic helix-loop-helix zipper protein, Max, for positive regulation of cardiac alpha-myosin heavy-chain gene expression.转录增强因子1与一种碱性螺旋-环-螺旋拉链蛋白Max相互作用,对心脏α-肌球蛋白重链基因表达起正向调控作用。
Mol Cell Biol. 1997 Jul;17(7):3924-36. doi: 10.1128/MCB.17.7.3924.
7
Serum response factor and protein-mediated DNA bending contribute to transcription of the dystrophin muscle-specific promoter.血清反应因子和蛋白质介导的DNA弯曲有助于抗肌萎缩蛋白肌肉特异性启动子的转录。
Mol Cell Biol. 1997 Mar;17(3):1731-43. doi: 10.1128/MCB.17.3.1731.
8
E2A basic-helix-loop-helix transcription factors are negatively regulated by serum growth factors and by the Id3 protein.E2A碱性螺旋-环-螺旋转录因子受到血清生长因子和Id3蛋白的负调控。
Nucleic Acids Res. 1996 Jul 15;24(14):2813-20. doi: 10.1093/nar/24.14.2813.
9
E-box sites and a proximal regulatory region of the muscle creatine kinase gene differentially regulate expression in diverse skeletal muscles and cardiac muscle of transgenic mice.E盒位点和肌肉肌酸激酶基因的近端调控区域对转基因小鼠不同骨骼肌和心肌中的表达进行差异调节。
Mol Cell Biol. 1996 Sep;16(9):5058-68. doi: 10.1128/MCB.16.9.5058.
10
Sympathetic control of cardiac myosin heavy chain gene expression.心脏肌球蛋白重链基因表达的交感神经控制。
Mol Cell Biochem. 1996;157(1-2):117-24. doi: 10.1007/BF00227889.
与人类心脏α-肌动蛋白启动子功能区域相互作用的多种蛋白质的鉴定。
Mol Cell Biol. 1989 Aug;9(8):3269-83. doi: 10.1128/mcb.9.8.3269-3283.1989.
4
Differential expression of myogenic determination genes in muscle cells: possible autoactivation by the Myf gene products.肌源性决定基因在肌肉细胞中的差异表达:Myf基因产物可能的自激活作用。
EMBO J. 1989 Dec 1;8(12):3617-25. doi: 10.1002/j.1460-2075.1989.tb08535.x.
5
MyoD is a sequence-specific DNA binding protein requiring a region of myc homology to bind to the muscle creatine kinase enhancer.肌细胞生成素是一种序列特异性DNA结合蛋白,它需要一段 myc 同源区域来结合肌肉肌酸激酶增强子。
Cell. 1989 Sep 8;58(5):823-31. doi: 10.1016/0092-8674(89)90935-5.
6
Positive autoregulation of the myogenic determination gene MyoD1.生肌决定基因MyoD1的正向自动调节
Cell. 1989 Jul 28;58(2):241-8. doi: 10.1016/0092-8674(89)90838-6.
7
Interactions between heterologous helix-loop-helix proteins generate complexes that bind specifically to a common DNA sequence.异源螺旋-环-螺旋蛋白之间的相互作用产生了能特异性结合共同DNA序列的复合物。
Cell. 1989 Aug 11;58(3):537-44. doi: 10.1016/0092-8674(89)90434-0.
8
A new DNA binding and dimerization motif in immunoglobulin enhancer binding, daughterless, MyoD, and myc proteins.免疫球蛋白增强子结合蛋白、无女儿基因蛋白、肌分化抗原MyoD蛋白和原癌基因myc蛋白中的一种新的DNA结合和二聚化基序。
Cell. 1989 Mar 10;56(5):777-83. doi: 10.1016/0092-8674(89)90682-x.
9
A gene with homology to the myc similarity region of MyoD1 is expressed during myogenesis and is sufficient to activate the muscle differentiation program.一个与MyoD1的myc相似区域具有同源性的基因在肌生成过程中表达,并且足以激活肌肉分化程序。
Genes Dev. 1989 May;3(5):628-40. doi: 10.1101/gad.3.5.628.
10
DBP, a liver-enriched transcriptional activator, is expressed late in ontogeny and its tissue specificity is determined posttranscriptionally.DBP是一种肝脏富集的转录激活因子,在个体发育后期表达,其组织特异性在转录后确定。
Cell. 1990 Apr 20;61(2):279-91. doi: 10.1016/0092-8674(90)90808-r.