Suppr超能文献

混合性结缔组织病合并自身免疫性肝炎和甲状腺炎。

Mixed connective tissue disease associated with autoimmune hepatitis and thyroiditis.

作者信息

Tomsic M, Ferlan-Marolt V, Kveder T, Hojker S, Rozman B

机构信息

University Medical Centre, Department of Rheumatology, Ljubljana, Slovenia.

出版信息

Ann Rheum Dis. 1992 Apr;51(4):544-6. doi: 10.1136/ard.51.4.544.

Abstract

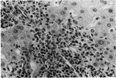
The case is reported of a 27 year old woman who had mixed connective tissue disease (MCTD) associated with chronic active hepatitis and thyroiditis. Although hepatomegaly is sometimes observed in MCTD, only four cases of MCTD and chronic active hepatitis have been described. It is thought that this is the first report of an association between MCTD, chronic active hepatitis and thyroiditis.

摘要

本文报告了一例27岁女性患者,其患有混合性结缔组织病(MCTD),并伴有慢性活动性肝炎和甲状腺炎。虽然在MCTD中有时会观察到肝肿大,但仅有4例MCTD合并慢性活动性肝炎的病例被描述过。据认为,这是关于MCTD、慢性活动性肝炎和甲状腺炎之间关联的首次报告。

https://cdn.ncbi.nlm.nih.gov/pmc/blobs/9029/1004712/b5a7b970bebb/annrheumd00467-0115-a.jpg

文献AI研究员

20分钟写一篇综述,助力文献阅读效率提升50倍。

立即体验

用中文搜PubMed

大模型驱动的PubMed中文搜索引擎

马上搜索

文档翻译

学术文献翻译模型,支持多种主流文档格式。

立即体验