Suppr超能文献

人类胸腺B细胞的特性。

Properties of human thymic B cells.

作者信息

Spencer J, Choy M, Hussell T, Papadaki L, Kington J P, Isaacson P G

机构信息

Dept. of Histopathology, UCMSM, University St, London, U.K.

出版信息

Immunology. 1992 Apr;75(4):596-600.

Abstract

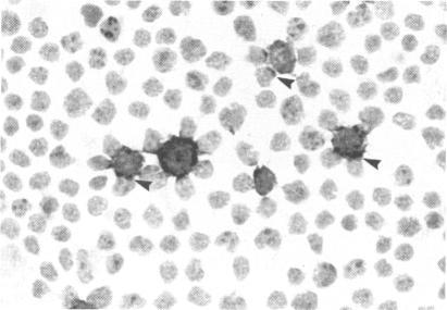
B cells, distinct from those seen in myasthenia gravis, are present in normal human thymic medulla, concentrated around the Hassall's corpuscles. We have shown that they constitute 33 +/- 4.8% of the total cells in the thymic medulla. In tissue sections they were often seen to have rosettes of thymocytes around them, a relationship which was maintained when the cells were isolated from the thymus. Thymic B cells expressed cytoplasmic immunoglobulins IgD, IgM and IgG but only rarely IgA. Unlike murine thymic B cells, human thymic B cells were CD5-. Freshly isolated thymic B cells were activated cells, but they rapidly became quiescent and died in culture over a 10-day period unless stimulated with mitogens. Thymic B cells responded to polyclonal B-cell activators SAC and TPA and when stimulated, maintained their relationship with thymocytes. Electron microscopic studies showed that two morphologically different thymocyte populations associated with the B cells. The plasma membranes of larger thymocytes were juxtaposed to the B-cell membrane, but smaller thymocytes with darker cytoplasm were associated with the B cells via cytoplasmic strands. Studies in mice have suggested that B cells are involved in thymic negative selection. The close association between activated B cells and thymocytes observed in this study supports this hypothesis.

摘要

与重症肌无力中所见的B细胞不同,正常人类胸腺髓质中存在B细胞,它们集中在哈氏小体周围。我们已经表明,它们占胸腺髓质总细胞数的33±4.8%。在组织切片中,经常可以看到它们周围有胸腺细胞形成的玫瑰花结,当从胸腺中分离出这些细胞时,这种关系依然存在。胸腺B细胞表达细胞质免疫球蛋白IgD、IgM和IgG,但很少表达IgA。与鼠胸腺B细胞不同,人类胸腺B细胞不表达CD5。新鲜分离的胸腺B细胞是活化细胞,但它们会迅速进入静止状态,并在培养10天内死亡,除非用丝裂原刺激。胸腺B细胞对多克隆B细胞激活剂SAC和TPA有反应,受到刺激时,它们会维持与胸腺细胞的关系。电子显微镜研究表明,有两种形态不同的胸腺细胞群体与B细胞相关。较大胸腺细胞的质膜与B细胞膜并列,但细胞质较暗的较小胸腺细胞通过细胞质细丝与B细胞相连。对小鼠的研究表明,B细胞参与胸腺阴性选择。本研究中观察到的活化B细胞与胸腺细胞之间的紧密联系支持了这一假设。

https://cdn.ncbi.nlm.nih.gov/pmc/blobs/8255/1384836/b922a10a5837/immunology00111-0043-a.jpg

文献检索

告别复杂PubMed语法,用中文像聊天一样搜索,搜遍4000万医学文献。AI智能推荐,让科研检索更轻松。

立即免费搜索

文件翻译

保留排版,准确专业,支持PDF/Word/PPT等文件格式,支持 12+语言互译。

免费翻译文档

深度研究

AI帮你快速写综述,25分钟生成高质量综述,智能提取关键信息,辅助科研写作。

立即免费体验