• 文献检索
  • 文档翻译
  • 深度研究
  • 学术资讯
  • Suppr Zotero 插件Zotero 插件
  • 邀请有礼
  • 套餐&价格
  • 历史记录
应用&插件
Suppr Zotero 插件Zotero 插件浏览器插件Mac 客户端Windows 客户端微信小程序
定价
高级版会员购买积分包购买API积分包
服务
文献检索文档翻译深度研究API 文档MCP 服务
关于我们
关于 Suppr公司介绍联系我们用户协议隐私条款
关注我们

Suppr 超能文献

核心技术专利:CN118964589B侵权必究
粤ICP备2023148730 号-1Suppr @ 2026

文献检索

告别复杂PubMed语法,用中文像聊天一样搜索,搜遍4000万医学文献。AI智能推荐,让科研检索更轻松。

立即免费搜索

文件翻译

保留排版,准确专业,支持PDF/Word/PPT等文件格式,支持 12+语言互译。

免费翻译文档

深度研究

AI帮你快速写综述,25分钟生成高质量综述,智能提取关键信息,辅助科研写作。

立即免费体验

人胸腺哈氏小体内的免疫球蛋白

Immunoglobulins in Hassall's corpuscles of the human thymus.

作者信息

Henry L, Anderson G

机构信息

Department of Pathology, University of Sheffield Medical School, UK.

出版信息

J Anat. 1990 Feb;168:185-97.

PMID:2108952
原文链接:https://pmc.ncbi.nlm.nih.gov/articles/PMC1256899/
Abstract

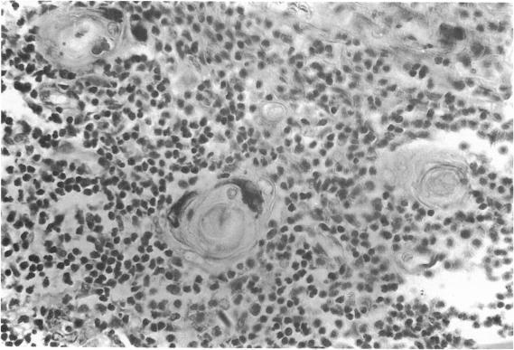
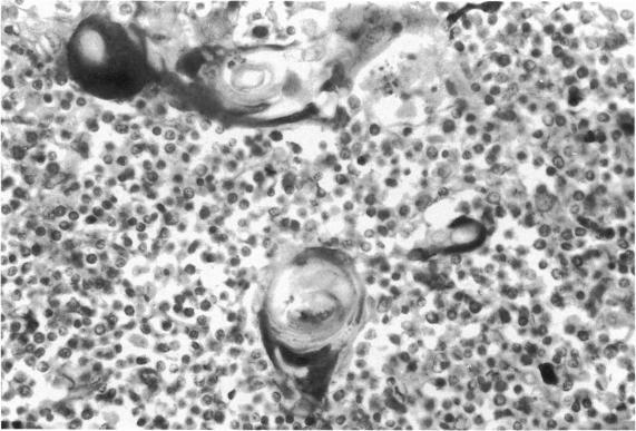
Ninety nine human thymuses were examined immunohistochemically for the presence of immunoglobulins G, A, M. D and E, light-chains, secretory component and albumin in the cells of Hassall's corpuscles. Igs G, A, M and secretory component were present. These showed a rise after birth until the age of 20 years and also increased with the degree of involution, falling when involution became complete. Albumin was also consistently demonstrated. There was a degree of correlation between the presence of Igs and production of Igs G, A and M by plasma cells in the thymic medulla. There was a close correlation between the amounts of IgA and secretory component in the cells of Hassall's corpuscles and the thymus may have to be regarded as a part of the secretory-IgA system. Light chains of the immunoglobulin molecule were also present, with lambda predominating over kappa, possibly reflecting the same kappa/lambda ratio found with thymic immunoglobulin production. No IgD or IgE was demonstrated. The presence of albumin may represent a passive uptake of protein in senescent cells but a more active uptake of Igs, particularly IgG and IgA, could be postulated. The production of Igs in the thymus and their presence in Hassall's corpuscles could be of significance in the maturation and regulation of the immune response.

摘要

对99个人类胸腺进行免疫组织化学检查,以检测哈氏小体内细胞中免疫球蛋白G、A、M、D和E、轻链、分泌成分及白蛋白的存在情况。发现存在免疫球蛋白G、A、M和分泌成分。这些物质在出生后至20岁时呈上升趋势,并且随着退化程度的增加而增加,在退化完成时下降。白蛋白也一直被检测到。胸腺髓质中免疫球蛋白的存在与浆细胞产生免疫球蛋白G、A和M之间存在一定程度的相关性。哈氏小体细胞中免疫球蛋白A和分泌成分的量之间存在密切相关性,胸腺可能不得不被视为分泌型免疫球蛋白A系统的一部分。免疫球蛋白分子的轻链也存在,其中λ链多于κ链,这可能反映了胸腺免疫球蛋白产生中发现的相同κ/λ比例。未检测到免疫球蛋白D或免疫球蛋白E。白蛋白的存在可能代表衰老细胞中蛋白质的被动摄取,但可以推测免疫球蛋白,特别是免疫球蛋白G和免疫球蛋白A的摄取更为活跃。胸腺中免疫球蛋白的产生及其在哈氏小体中的存在可能在免疫反应的成熟和调节中具有重要意义。

https://cdn.ncbi.nlm.nih.gov/pmc/blobs/33d8/1256899/f322e51ca0fc/janat00042-0194-a.jpg
https://cdn.ncbi.nlm.nih.gov/pmc/blobs/33d8/1256899/060ec6615789/janat00042-0188-a.jpg
https://cdn.ncbi.nlm.nih.gov/pmc/blobs/33d8/1256899/5863a3c7b7c0/janat00042-0190-a.jpg
https://cdn.ncbi.nlm.nih.gov/pmc/blobs/33d8/1256899/ce6917308677/janat00042-0191-a.jpg
https://cdn.ncbi.nlm.nih.gov/pmc/blobs/33d8/1256899/9e08d73c77fa/janat00042-0193-a.jpg
https://cdn.ncbi.nlm.nih.gov/pmc/blobs/33d8/1256899/f322e51ca0fc/janat00042-0194-a.jpg
https://cdn.ncbi.nlm.nih.gov/pmc/blobs/33d8/1256899/060ec6615789/janat00042-0188-a.jpg
https://cdn.ncbi.nlm.nih.gov/pmc/blobs/33d8/1256899/5863a3c7b7c0/janat00042-0190-a.jpg
https://cdn.ncbi.nlm.nih.gov/pmc/blobs/33d8/1256899/ce6917308677/janat00042-0191-a.jpg
https://cdn.ncbi.nlm.nih.gov/pmc/blobs/33d8/1256899/9e08d73c77fa/janat00042-0193-a.jpg
https://cdn.ncbi.nlm.nih.gov/pmc/blobs/33d8/1256899/f322e51ca0fc/janat00042-0194-a.jpg

相似文献

1
Immunoglobulins in Hassall's corpuscles of the human thymus.人胸腺哈氏小体内的免疫球蛋白
J Anat. 1990 Feb;168:185-97.
2
Immunoglobulin-producing cells in the human thymus.人类胸腺中产生免疫球蛋白的细胞。
Thymus. 1988;12(2):77-87.
3
Properties of human thymic B cells.人类胸腺B细胞的特性。
Immunology. 1992 Apr;75(4):596-600.
4
Hassall's corpuscles in the thymus of fetuses, infants and children: immunological and histochemical aspects.
Thymus. 1985;7(2):123-35.
5
[Immunoglobulins in serum and seminal fluid in patients with sperm agglutination].[精子凝集患者血清和精液中的免疫球蛋白]
Jugosl Ginekol Opstet. 1980 May-Aug;20(3-4):223-31.
6
Distribution of immunoglobulin and secretory component containing cells in chickens.鸡体内含免疫球蛋白和分泌成分细胞的分布
Am J Vet Res. 1977 Aug;38(8):1227-30.
7
The role of zinc in pre- and postnatal mammalian thymic immunohistogenesis.锌在哺乳动物产前和产后胸腺免疫组织发生中的作用。
In Vivo. 1998 Nov-Dec;12(6):695-722.
8
Immunohistochemical study of tyrosine phosphorylation signaling in Hassall's corpuscles of the human thymus.人胸腺哈氏小体中酪氨酸磷酸化信号的免疫组织化学研究。
Acta Histochem. 1999 Nov;101(4):421-9. doi: 10.1016/s0065-1281(99)80042-7.
9
Hassall's corpuscles instruct dendritic cells to induce CD4+CD25+ regulatory T cells in human thymus.哈氏小体指导树突状细胞在人类胸腺中诱导产生CD4+CD25+调节性T细胞。
Nature. 2005 Aug 25;436(7054):1181-5. doi: 10.1038/nature03886.
10
[Immunoglobulin and total protein concentrations in saliva of healthy children (author's transl)].健康儿童唾液中的免疫球蛋白和总蛋白浓度(作者译)
Klin Padiatr. 1980 Sep;192(5):448-52. doi: 10.1055/s-2008-1035623.

引用本文的文献

1
Thymus Gland: A Double Edge Sword for Coronaviruses.胸腺:冠状病毒的双刃剑。
Vaccines (Basel). 2021 Oct 2;9(10):1119. doi: 10.3390/vaccines9101119.
2
TGF-β type II receptor expression in thymic epithelial cells inhibits the development of Hassall's corpuscles in mice.TGF-β 型 II 受体在胸腺上皮细胞中的表达抑制了小鼠 Hassall 小体的发育。
Int Immunol. 2013 Nov;25(11):633-42. doi: 10.1093/intimm/dxt026. Epub 2013 Aug 8.
3
Immunohistochemical analysis of various serum proteins in living mouse thymus with "in vivo cryotechnique".

本文引用的文献

1
IMMUNOLOGIC ASPECTS OF RESISTANCE IN EARLY LIFE.生命早期抵抗力的免疫学方面。
Pediatr Clin North Am. 1965 Aug;12:663-86. doi: 10.1016/s0031-3955(16)31739-4.
2
THE CELLULAR ORIGIN OF HUMAN IMMUNOGLOBULINS (GAMMA-2, GAMMA-1M, GAMMA-1A).人类免疫球蛋白(γ-2、γ-1M、γ-1A)的细胞起源
J Exp Med. 1963 Sep 1;118(3):387-96. doi: 10.1084/jem.118.3.387.
3
THYMIC "GERMINAL CENTRES" AND PLASMA CELLS IN SYSTEMIC LUPUS ERYTHEMATOSUS.系统性红斑狼疮中的胸腺“生发中心”和浆细胞
运用“体内冷冻技术”对活体小鼠胸腺中的多种血清蛋白进行免疫组织化学分析。
Med Mol Morphol. 2012 Jun;45(3):129-39. doi: 10.1007/s00795-011-0549-0. Epub 2012 Sep 22.
4
Pericapillary collagen in the human thymus: implications for the concept of the 'blood-thymus' barrier.人类胸腺中的毛细血管周围胶原蛋白:对“血胸腺”屏障概念的影响。
J Anat. 1992 Aug;181 ( Pt 1)(Pt 1):39-46.
Lancet. 1963 Sep 28;2(7309):667. doi: 10.1016/s0140-6736(63)90458-6.
4
The immunological reactivity of the thymus.胸腺的免疫反应性。
Br J Exp Pathol. 1961 Aug;42(4):379-85.
5
Comparison of antibody responses associated with the transfer of rabbit lymph-node, peritoneal exudate, and thymus cells.
J Immunol. 1957 Jan;78(1):56-62.
6
The localization of homolgous plasma proteins in the tissues of young human beings as demonstrated with fluorescent antibodies.用荧光抗体证明的同源血浆蛋白在年轻人体组织中的定位。
J Exp Med. 1953 Feb 1;97(2):163-76. doi: 10.1084/jem.97.2.163.
7
Involution of the human thymus.人类胸腺的退化
J Pathol Bacteriol. 1967 Apr;93(2):661-71. doi: 10.1002/path.1700930227.
8
Genesis of Hassall's corpuscles.哈氏小体的起源。
Nature. 1967 Jul 22;215(5099):408-9. doi: 10.1038/215408a0.
9
Development of gamma G, gamma A, gamma M, beta IC-beta IA, C 1 esterase inhibitor, ceruloplasmin, transferrin, hemopexin, haptoglobin, fibrinogen, plasminogen, alpha 1-antitrypsin, orosomucoid, beta-lipoprotein, alpha 2-macroglobulin, and prealbumin in the human conceptus.人类胚胎中γG、γA、γM、βIC-βIA、C1酯酶抑制剂、铜蓝蛋白、转铁蛋白、血红素结合蛋白、触珠蛋白、纤维蛋白原、纤溶酶原、α1-抗胰蛋白酶、类粘蛋白、β-脂蛋白、α2-巨球蛋白和前白蛋白的发育情况。
J Clin Invest. 1969 Aug;48(8):1433-46. doi: 10.1172/JCI106109.
10
Hassall's corpuscles: a measure of activity in the thymus during involution and reconstitution.哈索尔小体:胸腺退化和重建过程中胸腺活性的一种衡量指标。
Immunology. 1968 Oct;15(4):561-70.