• 文献检索
  • 文档翻译
  • 深度研究
  • 学术资讯
  • Suppr Zotero 插件Zotero 插件
  • 邀请有礼
  • 套餐&价格
  • 历史记录
应用&插件
Suppr Zotero 插件Zotero 插件浏览器插件Mac 客户端Windows 客户端微信小程序
定价
高级版会员购买积分包购买API积分包
服务
文献检索文档翻译深度研究API 文档MCP 服务
关于我们
关于 Suppr公司介绍联系我们用户协议隐私条款
关注我们

Suppr 超能文献

核心技术专利:CN118964589B侵权必究
粤ICP备2023148730 号-1Suppr @ 2026

文献检索

告别复杂PubMed语法,用中文像聊天一样搜索,搜遍4000万医学文献。AI智能推荐,让科研检索更轻松。

立即免费搜索

文件翻译

保留排版,准确专业,支持PDF/Word/PPT等文件格式,支持 12+语言互译。

免费翻译文档

深度研究

AI帮你快速写综述,25分钟生成高质量综述,智能提取关键信息,辅助科研写作。

立即免费体验

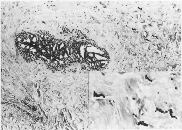
青少年男性乳房发育症中的多核间质巨细胞。

Multinucleated stromal giant cells in adolescent gynaecomastia.

作者信息

Campbell A P

机构信息

Nuffield Department of Pathology and Bacteriology, John Radcliffe Hospital, Headington, Oxford.

出版信息

J Clin Pathol. 1992 May;45(5):443-4. doi: 10.1136/jcp.45.5.443.

DOI:10.1136/jcp.45.5.443
PMID:1597526
原文链接:https://pmc.ncbi.nlm.nih.gov/articles/PMC495311/
Abstract

Bizzare multinucleated stromal giant cells were observed in a case of adolescent gynaecomastia. Similar cells have been described in the female breast in both benign and malignant conditions where they are thought to originate either from reactive stromal cells or from the mononuclear phagocyte system, respectively. Immunohistochemistry and electron microscopy in this case support the idea that they originate from stromal fibroblasts. Their occurrence in gynaecomastia is further evidence that these changes in stromal cells may be due to hormonal influences.

摘要

在一例青春期男性乳腺增生症中观察到奇异的多核间质巨细胞。在女性乳腺的良性和恶性病变中均有类似细胞的描述,在这些病变中,它们分别被认为起源于反应性间质细胞或单核吞噬细胞系统。该病例的免疫组织化学和电子显微镜检查支持它们起源于间质成纤维细胞的观点。它们在男性乳腺增生症中的出现进一步证明,间质细胞的这些变化可能是由激素影响所致。

https://cdn.ncbi.nlm.nih.gov/pmc/blobs/771e/495311/4c7044ff3d15/jclinpath00419-0080-a.jpg
https://cdn.ncbi.nlm.nih.gov/pmc/blobs/771e/495311/68614789dfbd/jclinpath00419-0079-a.jpg
https://cdn.ncbi.nlm.nih.gov/pmc/blobs/771e/495311/4c7044ff3d15/jclinpath00419-0080-a.jpg
https://cdn.ncbi.nlm.nih.gov/pmc/blobs/771e/495311/68614789dfbd/jclinpath00419-0079-a.jpg
https://cdn.ncbi.nlm.nih.gov/pmc/blobs/771e/495311/4c7044ff3d15/jclinpath00419-0080-a.jpg

相似文献

1
Multinucleated stromal giant cells in adolescent gynaecomastia.青少年男性乳房发育症中的多核间质巨细胞。
J Clin Pathol. 1992 May;45(5):443-4. doi: 10.1136/jcp.45.5.443.
2
Ultrastructural observations on gynecomastia.男性乳房肥大的超微结构观察
Arch Pathol Lab Med. 1979 Nov;103(12):624-30.
3
Comparative study of CD34, alpha-SMA and h-caldesmon expression in the stroma of gynaecomastia and male breast carcinoma.男性乳腺增生症和男性乳腺癌基质中CD34、α平滑肌肌动蛋白和h-钙调蛋白表达的比较研究
Histopathology. 2005 Jul;47(1):74-81. doi: 10.1111/j.1365-2559.2005.02171.x.
4
Gynecomastia with pseudoangiomatous stromal hyperplasia and multinucleated giant cells. Association with neurofibromatosis type 1.伴有假性血管瘤样间质增生和多核巨细胞的男性乳腺增生。与1型神经纤维瘤病相关。
Virchows Arch. 2002 Jul;441(1):85-7. doi: 10.1007/s00428-002-0656-3. Epub 2002 Apr 30.
5
Pseudoangiomatous stromal hyperplasia with multinucleated stromal giant cells is neither exceptional in gynecomastia nor characteristic of neurofibromatosis type 1.伴有多核间质巨细胞的假血管瘤样间质增生在男性乳腺增生中并不罕见,也不是1型神经纤维瘤病的特征性表现。
Virchows Arch. 2015 Apr;466(4):465-72. doi: 10.1007/s00428-014-1715-2. Epub 2015 Jan 14.
6
Multinucleated stromal giant cells of testis.睾丸的多核基质巨细胞。
Histopathology. 1997 Oct;31(4):381-3. doi: 10.1046/j.1365-2559.1997.2740864.x.
7
Multinucleated stromal giant cells in colonic lamina propria.结肠固有层中的多核间质巨细胞。
Histopathology. 2007 Apr;50(5):584-90. doi: 10.1111/j.1365-2559.2007.02659.x.
8
Breast carcinoma with stromal multinucleated giant cells--a light microscopic, histochemical and ultrastructural study.伴有间质多核巨细胞的乳腺癌——光镜、组织化学及超微结构研究
J Pathol. 1986 Nov;150(3):175-9. doi: 10.1002/path.1711500305.
9
Fine needle aspiration cytology, immunocytochemistry and electron microscopy in a rare case of carcinoma of the breast with malignant epithelial giant cells.细针穿刺细胞学检查、免疫细胞化学及电子显微镜检查在1例罕见的伴有恶性上皮巨细胞的乳腺癌病例中的应用
Acta Cytol. 1991 Jul-Aug;35(4):412-6.
10
Cytomorphological spectrum in gynaecomastia: a study of 389 cases.男性乳房发育症的细胞形态学谱:389例研究
Cytopathology. 2002 Oct;13(5):300-8. doi: 10.1046/j.1365-2303.2002.00423.x.

引用本文的文献

1
Multinucleated stromal giant cells in the gastroesophageal junctional and gastric mucosa: a retrospective study.胃食管交界处和胃黏膜中的多核间质巨细胞:一项回顾性研究。
Diagn Pathol. 2019 Jul 27;14(1):83. doi: 10.1186/s13000-019-0860-y.
2
Unilateral gynaecomastia in a 16-month-old boy with neurofibromatosis type 1 - case report and brief review of the literature.一名患有1型神经纤维瘤病的16个月大男孩的单侧男性乳房发育——病例报告及文献简要综述
GMS Interdiscip Plast Reconstr Surg DGPW. 2015 Dec 3;4:Doc11. doi: 10.3205/iprs000070. eCollection 2015.
3
Pseudoangiomatous stromal hyperplasia with multinucleated stromal giant cells is neither exceptional in gynecomastia nor characteristic of neurofibromatosis type 1.

本文引用的文献

1
Gynecomastia.男性乳房肥大
N Engl J Med. 1980 Oct 2;303(14):795-9. doi: 10.1056/NEJM198010023031405.
2
The origin and nature of stromal osteoclast-like multinucleated giant cells in breast carcinoma: implications for tumour osteolysis and macrophage biology.乳腺癌中基质破骨细胞样多核巨细胞的起源与本质:对肿瘤骨溶解和巨噬细胞生物学的启示
Br J Cancer. 1989 Apr;59(4):491-8. doi: 10.1038/bjc.1989.102.
3
Atypical stromal cells of lower female genital tract.女性下生殖道非典型间质细胞。
伴有多核间质巨细胞的假血管瘤样间质增生在男性乳腺增生中并不罕见,也不是1型神经纤维瘤病的特征性表现。
Virchows Arch. 2015 Apr;466(4):465-72. doi: 10.1007/s00428-014-1715-2. Epub 2015 Jan 14.
4
Bilateral breast enlargement in a male toddler: an unusual cause.男童双侧乳房增大:不常见病因。
Indian J Pediatr. 2009 Nov;76(11):1164-6. doi: 10.1007/s12098-009-0281-0. Epub 2010 Jan 14.
5
Floret-like multinucleated giant cells in neurofibroma.神经纤维瘤中的花状多核巨细胞。
Diagn Pathol. 2007 Dec 8;2:47. doi: 10.1186/1746-1596-2-47.
6
Multinucleated stromal giant cells of the colonic lamina propria in ulcerative colitis.溃疡性结肠炎中结肠固有层的多核间质巨细胞。
J Clin Pathol. 1993 Sep;46(9):874-5. doi: 10.1136/jcp.46.9.874.
Histopathology. 1990 Sep;17(3):249-53. doi: 10.1111/j.1365-2559.1990.tb00715.x.
4
Hormonal studies and physical maturation in adolescent gynecomastia.
J Pediatr. 1990 Mar;116(3):450-5. doi: 10.1016/s0022-3476(05)82843-4.
5
Multinucleated mammary stromal giant cells: a benign lesion that simulates invasive carcinoma.多核乳腺间质巨细胞:一种酷似浸润性癌的良性病变。
Cancer. 1979 Oct;44(4):1305-8. doi: 10.1002/1097-0142(197910)44:4<1305::aid-cncr2820440421>3.0.co;2-8.