Francis N R, Irikura V M, Yamaguchi S, DeRosier D J, Macnab R M
Department of Biology, Brandeis University, Waltham, MA 02254.
Proc Natl Acad Sci U S A. 1992 Jul 15;89(14):6304-8. doi: 10.1073/pnas.89.14.6304.
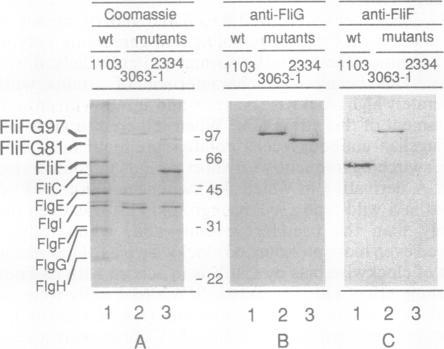
The direction of rotation of the bacterial flagellum is determined by the flagellar switch. We have localized FliG, one of the switch proteins of Salmonella typhimurium, to the cytoplasmic face of the M ring of the flagellar basal body. This localization was made possible by the discovery of two spontaneous mutants in which the fliF (M ring) and fliG (switch) genes were fused in-frame. In the first mutant, a deletion of 7 base pairs at the 3' end of fliF resulted in an essentially full-length fusion protein. In the second mutant, a larger deletion resulted in a fusion in which 56 amino acids from the carboxyl terminus of FliF and 94 amino acids from the amino terminus of FliG were lost. Both strains were motile and underwent switching; the first strain had a clockwise bias, and the second strain had a counterclockwise bias. Gel electrophoresis and immunoblotting of isolated hook-basal-body complexes verified that they contained the fusion proteins. Electron microscopy revealed additional mass at the cytoplasmic face of the M ring, which could be decorated with anti-FliG antibody. We conclude that the natural location for FliG is at the cytoplasmic face of the M ring and that the stoichiometric ratio between FliF and FliG in wild-type cells is probably 1:1.
细菌鞭毛的旋转方向由鞭毛开关决定。我们已将鼠伤寒沙门氏菌的开关蛋白之一FliG定位到鞭毛基体M环的细胞质面。这一定位是通过发现两个自发突变体实现的,其中fliF(M环)和fliG(开关)基因发生了框内融合。在第一个突变体中,fliF 3'端缺失7个碱基对,产生了一个基本全长的融合蛋白。在第二个突变体中,更大的缺失导致了一种融合,其中FliF羧基末端的56个氨基酸和FliG氨基末端的94个氨基酸缺失。两种菌株都具有运动能力且能进行切换;第一种菌株具有顺时针偏向,第二种菌株具有逆时针偏向。对分离出的钩-基体复合物进行凝胶电泳和免疫印迹分析,证实它们含有融合蛋白。电子显微镜显示M环的细胞质面有额外的物质,可用抗FliG抗体进行标记。我们得出结论,FliG的天然位置在M环的细胞质面,野生型细胞中FliF和FliG之间的化学计量比可能为1:1。