Suppr超能文献

白细胞介素-1α通过调节α6β1整合素和尿激酶型纤溶酶原激活剂受体的表达增强胰腺癌细胞的侵袭行为。

Interleukin-1alpha enhances the aggressive behavior of pancreatic cancer cells by regulating the alpha6beta1-integrin and urokinase plasminogen activator receptor expression.

作者信息

Sawai Hirozumi, Okada Yuji, Funahashi Hitoshi, Matsuo Yoichi, Takahashi Hiroki, Takeyama Hiromitsu, Manabe Tadao

机构信息

Department of Gastroenterological Surgery, Nagoya City University Graduate School of Medical Sciences, Nagoya 4678601, Japan.

出版信息

BMC Cell Biol. 2006 Feb 20;7:8. doi: 10.1186/1471-2121-7-8.

Abstract

BACKGROUND

In human pancreatic cancer progression, the alpha6beta1-integrin is expressed on cancer cell surface during invasion and metastasis formation. In this study, we investigated whether interleukin (IL)-1alpha induces the alterations of integrin subunits and urokinase plasminogen activator/urokinase plasminogen activator receptor (uPA/uPAR) expression in pancreatic cancer cells. We hypothesize that the alterations of integrin subunits and uPA/uPAR expression make an important role in signaling pathways responsible for biological behavior of pancreatic cancer cells.

RESULTS

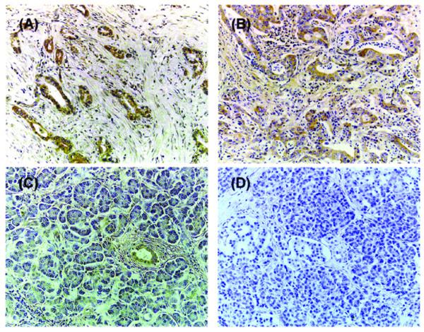
IL-1alpha upregulated the expression of alpha6 and beta1 integrins without any alterations of alpha5 and alphav integrins expression. IL-1alpha also induced enhancement in the expression of uPA/uPAR in pancreatic cancer cells. IL-1alpha enhanced the proliferation, adhesion, and migration in pancreatic cancer cells, and IL-1alpha-induced alterations of uPA/uPAR expression correlated with the increased the migration of pancreatic cancer cells. Upregulation of alpha6 integrin subunit and uPA/uPAR correlated with the activation of Ras and downstream extracellular signal-regulated kinase (ERK) pathways. IL-1alpha-induced activation of Ras and downstream ERK can be inhibited by using inhibitory antibodies against alpha6 and beta1 integrin and uPAR, consistent with the inhibition of proliferation, adhesion and migration of pancreatic cancer cells. Immunohistochemical analysis demonstrated a significant association between strong expressions of alpha6 integrin with uPAR in pancreatic cancer specimens. Furthermore, the strong expression of alpha6 integrin and uPAR was found to be independent prognosticator in pancreatic cancer patients.

CONCLUSION

Based on these findings, we conclude that IL-1alpha can induce selective upregulation of alpha6beta1-integrin and uPA/uPAR in pancreatic cancer cells and these changes may modulate the aggressive functions of pancreatic cancer.

摘要

背景

在人类胰腺癌进展过程中,α6β1整合素在癌细胞侵袭和转移形成过程中表达于细胞表面。在本研究中,我们调查了白细胞介素(IL)-1α是否诱导胰腺癌细胞中整合素亚基以及尿激酶型纤溶酶原激活剂/尿激酶型纤溶酶原激活剂受体(uPA/uPAR)表达的改变。我们假设整合素亚基和uPA/uPAR表达的改变在负责胰腺癌细胞生物学行为的信号通路中起重要作用。

结果

IL-1α上调了α6和β1整合素的表达,而α5和αv整合素的表达没有任何改变。IL-1α还诱导胰腺癌细胞中uPA/uPAR表达增强。IL-1α增强了胰腺癌细胞的增殖、黏附和迁移,且IL-1α诱导的uPA/uPAR表达改变与胰腺癌细胞迁移增加相关。α6整合素亚基和uPA/uPAR的上调与Ras及下游细胞外信号调节激酶(ERK)通路的激活相关。使用针对α6和β1整合素以及uPAR的抑制性抗体可抑制IL-1α诱导的Ras和下游ERK的激活,这与胰腺癌细胞增殖、黏附和迁移的抑制一致。免疫组织化学分析显示胰腺癌标本中α6整合素与uPAR的强表达之间存在显著关联。此外,发现α6整合素和uPAR的强表达是胰腺癌患者的独立预后指标。

结论

基于这些发现,我们得出结论,IL-1α可诱导胰腺癌细胞中α6β1整合素和uPA/uPAR的选择性上调,且这些变化可能调节胰腺癌的侵袭性功能。

https://cdn.ncbi.nlm.nih.gov/pmc/blobs/079d/1388210/b618489ac131/1471-2121-7-8-1.jpg

文献AI研究员

20分钟写一篇综述,助力文献阅读效率提升50倍。

立即体验

用中文搜PubMed

大模型驱动的PubMed中文搜索引擎

马上搜索

文档翻译

学术文献翻译模型,支持多种主流文档格式。

立即体验