• 文献检索
  • 文档翻译
  • 深度研究
  • 学术资讯
  • Suppr Zotero 插件Zotero 插件
  • 邀请有礼
  • 套餐&价格
  • 历史记录
应用&插件
Suppr Zotero 插件Zotero 插件浏览器插件Mac 客户端Windows 客户端微信小程序
定价
高级版会员购买积分包购买API积分包
服务
文献检索文档翻译深度研究API 文档MCP 服务
关于我们
关于 Suppr公司介绍联系我们用户协议隐私条款
关注我们

Suppr 超能文献

核心技术专利:CN118964589B侵权必究
粤ICP备2023148730 号-1Suppr @ 2026

文献检索

告别复杂PubMed语法,用中文像聊天一样搜索,搜遍4000万医学文献。AI智能推荐,让科研检索更轻松。

立即免费搜索

文件翻译

保留排版,准确专业,支持PDF/Word/PPT等文件格式,支持 12+语言互译。

免费翻译文档

深度研究

AI帮你快速写综述,25分钟生成高质量综述,智能提取关键信息,辅助科研写作。

立即免费体验

金黄色葡萄球菌杀菌物质对 A 组链球菌的作用 II. 结构改变。

Effect of Bactericidal Substance from Staphylococcus aureus on Group A Streptococci II. Structural Alterations.

机构信息

Department of Pediatrics, University of Minnesota College of Medical Sciences, Minneapolis, Minnesota 55455.

出版信息

Infect Immun. 1970 May;1(5):491-8. doi: 10.1128/iai.1.5.491-498.1970.

DOI:10.1128/iai.1.5.491-498.1970
PMID:16557764
原文链接:https://pmc.ncbi.nlm.nih.gov/articles/PMC415930/
Abstract

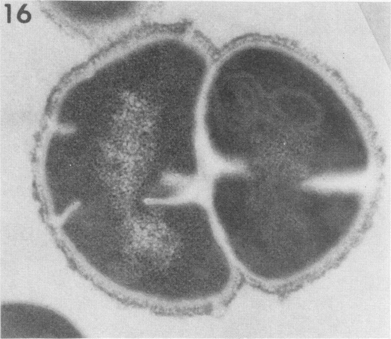
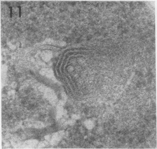
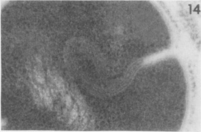
Ultrastructural alterations brought about by treatment of a beta-hemolytic streptococcus with a bactericidal substance from Staphylococcus aureus are described and illustrated. The substance causes an early condensation of nucleoid deoxyribonucleic acid (DNA) and a partial loss of ribosomes. These changes are followed by a dissolution of the cell contents resulting in bacterial "ghosts" composed of empty cell wall and capsule. These morphological findings correlate with known biochemical effects of the bactericidal substance on ribonucleic acid degradation and cessation of DNA and protein synthesis.

摘要

本文描述并图示了用金黄色葡萄球菌的杀菌物质处理β-溶血性链球菌引起的超微结构改变。该物质导致核体脱氧核糖核酸(DNA)早期凝聚和核糖体部分丢失。这些变化之后,细胞内容物溶解,导致由空细胞壁和荚膜组成的细菌“幽灵”。这些形态学发现与杀菌物质对核糖核酸降解以及 DNA 和蛋白质合成停止的已知生化效应相吻合。

https://cdn.ncbi.nlm.nih.gov/pmc/blobs/83cb/415930/62022fec9595/iai00293-0070-h.jpg
https://cdn.ncbi.nlm.nih.gov/pmc/blobs/83cb/415930/16806496abf1/iai00293-0067-a.jpg
https://cdn.ncbi.nlm.nih.gov/pmc/blobs/83cb/415930/705efcc6dde1/iai00293-0067-b.jpg
https://cdn.ncbi.nlm.nih.gov/pmc/blobs/83cb/415930/b269a7babee1/iai00293-0067-c.jpg
https://cdn.ncbi.nlm.nih.gov/pmc/blobs/83cb/415930/c20c27768194/iai00293-0068-a.jpg
https://cdn.ncbi.nlm.nih.gov/pmc/blobs/83cb/415930/961a5d9075b6/iai00293-0068-b.jpg
https://cdn.ncbi.nlm.nih.gov/pmc/blobs/83cb/415930/7edec09c4aa3/iai00293-0068-c.jpg
https://cdn.ncbi.nlm.nih.gov/pmc/blobs/83cb/415930/2098b2cc996d/iai00293-0069-a.jpg
https://cdn.ncbi.nlm.nih.gov/pmc/blobs/83cb/415930/f8c57a99382b/iai00293-0069-b.jpg
https://cdn.ncbi.nlm.nih.gov/pmc/blobs/83cb/415930/936e3fb1eb6d/iai00293-0069-c.jpg
https://cdn.ncbi.nlm.nih.gov/pmc/blobs/83cb/415930/e50f6f50d339/iai00293-0070-a.jpg
https://cdn.ncbi.nlm.nih.gov/pmc/blobs/83cb/415930/95a5397af962/iai00293-0070-b.jpg
https://cdn.ncbi.nlm.nih.gov/pmc/blobs/83cb/415930/61ab7942aa04/iai00293-0070-c.jpg
https://cdn.ncbi.nlm.nih.gov/pmc/blobs/83cb/415930/50f8d96f0aa0/iai00293-0070-d.jpg
https://cdn.ncbi.nlm.nih.gov/pmc/blobs/83cb/415930/2ac401aa1636/iai00293-0070-e.jpg
https://cdn.ncbi.nlm.nih.gov/pmc/blobs/83cb/415930/74a0f4f499fd/iai00293-0070-f.jpg
https://cdn.ncbi.nlm.nih.gov/pmc/blobs/83cb/415930/8c93390e9a90/iai00293-0070-g.jpg
https://cdn.ncbi.nlm.nih.gov/pmc/blobs/83cb/415930/62022fec9595/iai00293-0070-h.jpg
https://cdn.ncbi.nlm.nih.gov/pmc/blobs/83cb/415930/16806496abf1/iai00293-0067-a.jpg
https://cdn.ncbi.nlm.nih.gov/pmc/blobs/83cb/415930/705efcc6dde1/iai00293-0067-b.jpg
https://cdn.ncbi.nlm.nih.gov/pmc/blobs/83cb/415930/b269a7babee1/iai00293-0067-c.jpg
https://cdn.ncbi.nlm.nih.gov/pmc/blobs/83cb/415930/c20c27768194/iai00293-0068-a.jpg
https://cdn.ncbi.nlm.nih.gov/pmc/blobs/83cb/415930/961a5d9075b6/iai00293-0068-b.jpg
https://cdn.ncbi.nlm.nih.gov/pmc/blobs/83cb/415930/7edec09c4aa3/iai00293-0068-c.jpg
https://cdn.ncbi.nlm.nih.gov/pmc/blobs/83cb/415930/2098b2cc996d/iai00293-0069-a.jpg
https://cdn.ncbi.nlm.nih.gov/pmc/blobs/83cb/415930/f8c57a99382b/iai00293-0069-b.jpg
https://cdn.ncbi.nlm.nih.gov/pmc/blobs/83cb/415930/936e3fb1eb6d/iai00293-0069-c.jpg
https://cdn.ncbi.nlm.nih.gov/pmc/blobs/83cb/415930/e50f6f50d339/iai00293-0070-a.jpg
https://cdn.ncbi.nlm.nih.gov/pmc/blobs/83cb/415930/95a5397af962/iai00293-0070-b.jpg
https://cdn.ncbi.nlm.nih.gov/pmc/blobs/83cb/415930/61ab7942aa04/iai00293-0070-c.jpg
https://cdn.ncbi.nlm.nih.gov/pmc/blobs/83cb/415930/50f8d96f0aa0/iai00293-0070-d.jpg
https://cdn.ncbi.nlm.nih.gov/pmc/blobs/83cb/415930/2ac401aa1636/iai00293-0070-e.jpg
https://cdn.ncbi.nlm.nih.gov/pmc/blobs/83cb/415930/74a0f4f499fd/iai00293-0070-f.jpg
https://cdn.ncbi.nlm.nih.gov/pmc/blobs/83cb/415930/8c93390e9a90/iai00293-0070-g.jpg
https://cdn.ncbi.nlm.nih.gov/pmc/blobs/83cb/415930/62022fec9595/iai00293-0070-h.jpg

相似文献

1
Effect of Bactericidal Substance from Staphylococcus aureus on Group A Streptococci II. Structural Alterations.金黄色葡萄球菌杀菌物质对 A 组链球菌的作用 II. 结构改变。
Infect Immun. 1970 May;1(5):491-8. doi: 10.1128/iai.1.5.491-498.1970.
2
Effect of Bactericidal Substance from Staphylococcus aureus on Group A Streptococci I. Biochemical Alterations.金黄色葡萄球菌杀菌物质对 A 组链球菌的作用 I. 生化改变。
Infect Immun. 1970 May;1(5):485-90. doi: 10.1128/iai.1.5.485-490.1970.
3
Ultrastructural and biochemical alterations effected by viridin B, a bacterocin of alpha-hemolytic streptococci.由α-溶血性链球菌的细菌素绿菌素B引起的超微结构和生化改变。
Infect Immun. 1976 Sep;14(3):776-82. doi: 10.1128/iai.14.3.776-782.1976.
4
Structural changes in Clostridium botulinum type E after treatment with boticin S5 1 .经肉毒菌素S5 1处理后E型肉毒杆菌的结构变化 。
J Bacteriol. 1971 Oct;108(1):526-34. doi: 10.1128/jb.108.1.526-534.1971.
5
Bactericidal effect of oleic acid on group A streptococci: mechanism of action.油酸对A组链球菌的杀菌作用:作用机制
Infect Immun. 1979 Dec;26(3):1202-10. doi: 10.1128/iai.26.3.1202-1210.1979.
6
Demonstration of a bactericidal substance against beta-hemolytic streptococci in supernatant fluids of staphylococcal cultures.在葡萄球菌培养物的上清液中证明存在一种针对β-溶血性链球菌的杀菌物质。
J Bacteriol. 1969 Mar;97(3):985-91. doi: 10.1128/jb.97.3.985-991.1969.
7
Nucleoid condensation and cell division in Escherichia coli MX74T2 ts52 after inhibition of protein synthesis.蛋白质合成受抑制后大肠杆菌MX74T2 ts52中的类核凝聚和细胞分裂
J Bacteriol. 1973 Sep;115(3):1167-78. doi: 10.1128/jb.115.3.1167-1178.1973.
8
Morphokinetic reaction of Streptococcus faecalis (ATCC 9790) cells to the specific inhibition of macromolecular synthesis: nucleoid condensation on the inhibition of protein synthesis.粪肠球菌(ATCC 9790)细胞对大分子合成特异性抑制的形态动力学反应:蛋白质合成受抑制时的类核凝聚。
J Bacteriol. 1972 Mar;109(3):1210-20. doi: 10.1128/jb.109.3.1210-1220.1972.
9
Effect of leukocyte hydrolases on bacteria. XIII. Role played by leukocyte extracts, lysolecithin, phospholipase a2, lysozyme, cationic proteins, and detergents in the solubilization of lipids from Staphylococcus aureus and group A streptococci: relation to bactericidal and bacteriolytic reactions in inflammatory sites.白细胞水解酶对细菌的作用。十三。白细胞提取物、溶血卵磷脂、磷脂酶A2、溶菌酶、阳离子蛋白和去污剂在金黄色葡萄球菌和A组链球菌脂质溶解中的作用:与炎症部位杀菌和溶菌反应的关系。
Inflammation. 1979 Sep;3(4):365-77. doi: 10.1007/BF00913495.
10
Morphological bactericidal fast-acting effects of peracetic acid, a high-level disinfectant, against and biofilms in tubing.过氧乙酸作为一种高水平消毒剂对管道生物膜中 和 的形态杀菌快速作用。
Antimicrob Resist Infect Control. 2017 Dec 1;6:122. doi: 10.1186/s13756-017-0281-1. eCollection 2017.

引用本文的文献

1
Experimental infection of the skin in the hamster simulating human impetigo. III. Interaction between staphylococci and group A streptococci.模拟人类脓疱病的仓鼠皮肤实验性感染。III. 葡萄球菌与A组链球菌之间的相互作用。
J Exp Med. 1971 Sep 1;134(3 Pt 1):588-99. doi: 10.1084/jem.134.3.588.
2
Purification and partial characterization of a novel antibacterial agent (Bac1829) Produced by Staphylococcus aureus KSI1829.金黄色葡萄球菌KSI1829产生的新型抗菌剂(Bac1829)的纯化及部分特性分析
Appl Environ Microbiol. 1996 Sep;62(9):3171-5. doi: 10.1128/aem.62.9.3171-3175.1996.
3
Bacteriocin of a group A streptococcus: partial purification and properties.

本文引用的文献

1
Effect of Bactericidal Substance from Staphylococcus aureus on Group A Streptococci I. Biochemical Alterations.金黄色葡萄球菌杀菌物质对 A 组链球菌的作用 I. 生化改变。
Infect Immun. 1970 May;1(5):485-90. doi: 10.1128/iai.1.5.485-490.1970.
2
THE BACTERIOCINS.细菌素
Bacteriol Rev. 1965 Mar;29(1):24-45. doi: 10.1128/br.29.1.24-45.1965.
3
The fine structure of Chondrococcus columnaris. I. Structure and formation of mesosomes.柱状软骨球菌的精细结构。I. 间体的结构与形成。
A群链球菌的细菌素:部分纯化及特性
Antimicrob Agents Chemother. 1973 Sep;4(3):214-21. doi: 10.1128/AAC.4.3.214.
4
Mode of action of a Staphylococcus epidermidis bacteriocin.表皮葡萄球菌细菌素的作用模式。
Antimicrob Agents Chemother. 1972 Dec;2(6):456-63. doi: 10.1128/AAC.2.6.456.
5
Kinetic studies on the interaction of bacteriophage type 71 staphylococcal bacteriocin with susceptible bacteria.71型葡萄球菌噬菌体细菌素与敏感细菌相互作用的动力学研究。
J Bacteriol. 1973 May;114(2):738-42. doi: 10.1128/jb.114.2.738-742.1973.
6
Structural changes in Clostridium botulinum type E after treatment with boticin S5 1 .经肉毒菌素S5 1处理后E型肉毒杆菌的结构变化 。
J Bacteriol. 1971 Oct;108(1):526-34. doi: 10.1128/jb.108.1.526-534.1971.
7
Colicinogeny and related phenomena.大肠杆菌素ogeny及相关现象。 (注:这里“Colicinogeny”中的“ogeny”可能是特定术语或拼写有误,也许是“colicinogeny”,可译为“大肠杆菌素产生” ,整体更准确的译文可调整为:大肠杆菌素产生及相关现象。 ) 你可根据实际情况进一步确认和完善 。 但按照要求,仅给出上述译文 。
Bacteriol Rev. 1975 Dec;39(4):464-515. doi: 10.1128/br.39.4.464-515.1975.
8
Ultrastructural and biochemical alterations effected by viridin B, a bacterocin of alpha-hemolytic streptococci.由α-溶血性链球菌的细菌素绿菌素B引起的超微结构和生化改变。
Infect Immun. 1976 Sep;14(3):776-82. doi: 10.1128/iai.14.3.776-782.1976.
9
Bacteriocins of gram-positive bacteria.革兰氏阳性菌的细菌素
Bacteriol Rev. 1976 Sep;40(3):722-56. doi: 10.1128/br.40.3.722-756.1976.
10
Biochemical and ultrastructural changes in Staphylococcus aureus treated with staphylococcin 1580.用葡萄球菌素1580处理的金黄色葡萄球菌的生化及超微结构变化
Antonie Van Leeuwenhoek. 1978;44(1):35-48. doi: 10.1007/BF00400075.
J Cell Biol. 1967 Oct;35(1):1-13. doi: 10.1083/jcb.35.1.1.
4
A simple method for preservation of fine structure in blood cells.一种保存血细胞精细结构的简单方法。
Thromb Diath Haemorrh. 1967 Dec 31;18(3-4):745-53.
5
Bactericidal substance from Staphylococcus aureus. Biological properties.金黄色葡萄球菌产生的杀菌物质。生物学特性。
J Exp Med. 1970 May 1;131(5):1004-15. doi: 10.1084/jem.131.5.1004.
6
Electron microscopic studies on streptococci. I. M antigen.链球菌的电子显微镜研究。I. M抗原。
J Exp Med. 1969 Nov 1;130(5):1063-91. doi: 10.1084/jem.130.5.1063.
7
Symposium on the fine structure and replication of bacteria and their parts. I. Fine structure and replication of bacterial nucleoids.细菌及其组成部分的精细结构与复制研讨会。I. 细菌类核的精细结构与复制
Bacteriol Rev. 1965 Sep;29(3):277-93. doi: 10.1128/br.29.3.277-293.1965.
8
Intraphagocytic degradation of group A streptococci: electron microsopic studies.A组链球菌的吞噬细胞内降解:电子显微镜研究
J Bacteriol. 1969 May;98(2):728-36. doi: 10.1128/jb.98.2.728-736.1969.
9
Demonstration of a bactericidal substance against beta-hemolytic streptococci in supernatant fluids of staphylococcal cultures.在葡萄球菌培养物的上清液中证明存在一种针对β-溶血性链球菌的杀菌物质。
J Bacteriol. 1969 Mar;97(3):985-91. doi: 10.1128/jb.97.3.985-991.1969.