Demedts Ingel K, Demoor Tine, Bracke Ken R, Joos Guy F, Brusselle Guy G
Department of Respiratory Diseases, Ghent University Hospital, Belgium.
Respir Res. 2006 Mar 30;7(1):53. doi: 10.1186/1465-9921-7-53.
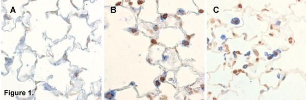
Chronic obstructive pulmonary disease (COPD) is characterised by chronic inflammation of the airways and progressive destruction of lung parenchyma, a process that in most cases is initiated by cigarette smoking. Several mechanisms are involved in the development of the disease: influx of inflammatory cells into the lung (leading to chronic inflammation of the airways), imbalance between proteolytic and anti-proteolytic activity (resulting in the destruction of healthy lung tissue) and oxidative stress. Recently, an increasing number of data suggest a fourth important mechanism involved in the development of COPD: apoptosis of structural cells in the lung might possibly be an important upstream event in the pathogenesis of COPD. There is an increase in apoptotic alveolar epithelial and endothelial cells in the lungs of COPD patients. Since this is not counterbalanced by an increase in proliferation of these structural cells, the net result is destruction of lung tissue and the development of emphysema. Data from animal models suggest a role for Vascular Endothelial Growth Factor (VEGF) in the induction of apoptosis of structural cells in the lung. Other mediators of apoptosis, such as caspase-3 and ceramide, could be interesting targets to prevent apoptosis and the development of emphysema. In this review, recent data on the role of apoptosis in COPD from both animal models as well as from studies on human subjects will be discussed. The aim is to provide an up to date summary on the increasing knowledge on the role of apoptosis in COPD and pulmonary emphysema.
慢性阻塞性肺疾病(COPD)的特征是气道慢性炎症和肺实质进行性破坏,在大多数情况下,这个过程是由吸烟引发的。该疾病的发展涉及多种机制:炎症细胞流入肺部(导致气道慢性炎症)、蛋白水解和抗蛋白水解活性失衡(导致健康肺组织破坏)以及氧化应激。最近,越来越多的数据表明COPD发展中涉及第四个重要机制:肺结构细胞凋亡可能是COPD发病机制中的一个重要上游事件。COPD患者肺部凋亡的肺泡上皮细胞和内皮细胞增多。由于这些结构细胞的增殖没有相应增加来抵消这种情况,最终结果是肺组织破坏和肺气肿的发展。动物模型的数据表明血管内皮生长因子(VEGF)在诱导肺结构细胞凋亡中起作用。其他凋亡介质,如半胱天冬酶 - 3和神经酰胺,可能是预防凋亡和肺气肿发展的有趣靶点。在这篇综述中,将讨论来自动物模型以及人体研究中关于凋亡在COPD中作用的最新数据。目的是提供关于凋亡在COPD和肺气肿中作用的最新知识总结。