Schwartz J N, Daniels C A, Klintworth G K
Am J Pathol. 1975 Jun;79(3):509-22.
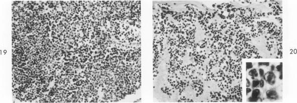
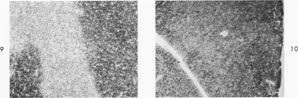
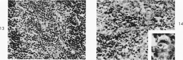
During studies on the effect of murine cytomegalovirus on the developing retina, virus was inoculated into the eyes of newborn Swiss mice, and the animals were sacrificed at various times thereafter. Controls consisted of mice inoculated with ultraviolet-inactivated murine cytomegalovirus and uninjected mice. Marked lymphoid cell necrosis, thymic atrophy, pronounced growth retardation, bacteremia, and death occurred in the animals inoculated with live virus. this virus-induced injury resulted in a marked depletion of lymphocytes in the subcapsular and cortical areas of the thymus as well as in the spleen, lymph nodes, and Peyer's patches. Areas of necrosis with viral inclusions were present at the site of inoculation and in various other organs including the spleen and bone marrow. Since growth retardation has been associated with thymic atrophy due to other causes, the observed abnormal physical development in the present study was interpreted as a sequel to the thymic injury. An implication of this study is that some human infants with concomitant immune deficiency and viral infection may have a primary viral disease with resultant secondary lymphoid tissue alterations, rather than a thymic disorder with a subsequent viral infection.
在研究鼠巨细胞病毒对发育中视网膜的影响时,将病毒接种到新生瑞士小鼠的眼睛中,然后在不同时间处死动物。对照组包括接种紫外线灭活鼠巨细胞病毒的小鼠和未注射的小鼠。接种活病毒的动物出现明显的淋巴细胞坏死、胸腺萎缩、显著的生长迟缓、菌血症和死亡。这种病毒诱导的损伤导致胸腺被膜下和皮质区域以及脾脏、淋巴结和派伊尔结中的淋巴细胞显著减少。接种部位以及包括脾脏和骨髓在内的其他各种器官中存在有病毒包涵体的坏死区域。由于生长迟缓与其他原因导致的胸腺萎缩有关,本研究中观察到的异常身体发育被解释为胸腺损伤的后遗症。这项研究的一个启示是,一些伴有免疫缺陷和病毒感染的人类婴儿可能患有原发性病毒疾病,导致继发性淋巴组织改变,而不是患有胸腺疾病继发病毒感染。