• 文献检索
  • 文档翻译
  • 深度研究
  • 学术资讯
  • Suppr Zotero 插件Zotero 插件
  • 邀请有礼
  • 套餐&价格
  • 历史记录
应用&插件
Suppr Zotero 插件Zotero 插件浏览器插件Mac 客户端Windows 客户端微信小程序
定价
高级版会员购买积分包购买API积分包
服务
文献检索文档翻译深度研究API 文档MCP 服务
关于我们
关于 Suppr公司介绍联系我们用户协议隐私条款
关注我们

Suppr 超能文献

核心技术专利:CN118964589B侵权必究
粤ICP备2023148730 号-1Suppr @ 2026

文献检索

告别复杂PubMed语法,用中文像聊天一样搜索,搜遍4000万医学文献。AI智能推荐,让科研检索更轻松。

立即免费搜索

文件翻译

保留排版,准确专业,支持PDF/Word/PPT等文件格式,支持 12+语言互译。

免费翻译文档

深度研究

AI帮你快速写综述,25分钟生成高质量综述,智能提取关键信息,辅助科研写作。

立即免费体验

植物线粒体分离的超微结构与纯化研究。

Studies on ultrastructure and purification of isolated plant mitochondria.

机构信息

United States Department of Agriculture, MQRD, University of California, Los Angeles, California.

出版信息

Plant Physiol. 1968 Dec;43(12):2001-22. doi: 10.1104/pp.43.12.2001.

DOI:10.1104/pp.43.12.2001
PMID:16657002
原文链接:https://pmc.ncbi.nlm.nih.gov/articles/PMC1087118/
Abstract

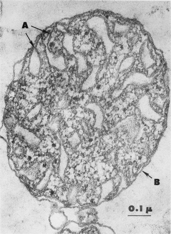
Sweetpotato mitochondria, that showed respiratory control, were studied with respect to ultrastructure. If fixed in media containing sucrose at 0.4 M, the cristae were dilated and the matrix was highly condensed. A more orthodox ultrastructural form was observed when the mitochondria were fixed in a medium containing sucrose at 0.25 M, i.e., the matrix was more expanded, the cristae were less dilated, and peripherally, the inner membrane element lay adjacent to the outer membrane element. These results are discussed in terms of a sucrose-accessible space (space between outer and inner membrane elements including intracristal space), and a space relatively inaccessible to sucrose (matrix). Ultrastructural shifts were not observed with change in metabolic steady state of the mitochondria. High resolution electron micrographs showed that the ultrastructure of sweetpotato mitochondria is very similar to that of animal mitochondria.Purity and homogeneity of mitochondrial fractions were followed both by phase-contrast and electron microscopy. Preparations from sweetpotato, using older methods, were relatively homogeneous with respect to particle type and size, whereas avocado preparations contained a high proportion of chloroplasts and cellular debris. A method of purification involving sucrose-density-gradient centrifugation was developed. Purified mitochondria exhibited respiratory control and appeared similar to unpurified mitochondria under the electron microscope.

摘要

对具有呼吸控制能力的甘薯线粒体进行了超微结构研究。如果将其固定在含有 0.4M 蔗糖的介质中,嵴会扩张,基质高度浓缩。当将线粒体固定在含有 0.25M 蔗糖的介质中时,会观察到更正统的超微结构形式,即基质更加扩张,嵴扩张程度较低,并且在内膜元件的外周与外膜元件相邻。这些结果是根据蔗糖可及空间(外膜元件和内膜元件之间的空间,包括嵴内空间)和蔗糖相对不可及的空间(基质)来讨论的。线粒体代谢稳态的变化不会引起超微结构的变化。高分辨率电子显微镜显示,甘薯线粒体的超微结构与动物线粒体非常相似。通过相差和电子显微镜观察到线粒体部分的纯度和均一性。使用较旧方法从甘薯中制备的制剂在颗粒类型和大小方面相对均一,而鳄梨制剂则含有大量的叶绿体和细胞碎片。开发了一种涉及蔗糖密度梯度离心的纯化方法。纯化的线粒体表现出呼吸控制,并且在电子显微镜下与未纯化的线粒体相似。

https://cdn.ncbi.nlm.nih.gov/pmc/blobs/a852/1087118/971e4f743691/plntphys00491-0128-a.jpg
https://cdn.ncbi.nlm.nih.gov/pmc/blobs/a852/1087118/e42bafdde7da/plntphys00491-0121-a.jpg
https://cdn.ncbi.nlm.nih.gov/pmc/blobs/a852/1087118/114baa5ccb84/plntphys00491-0122-a.jpg
https://cdn.ncbi.nlm.nih.gov/pmc/blobs/a852/1087118/7609fbef5f77/plntphys00491-0123-a.jpg
https://cdn.ncbi.nlm.nih.gov/pmc/blobs/a852/1087118/aec848367039/plntphys00491-0124-a.jpg
https://cdn.ncbi.nlm.nih.gov/pmc/blobs/a852/1087118/71e46cf0ac31/plntphys00491-0125-a.jpg
https://cdn.ncbi.nlm.nih.gov/pmc/blobs/a852/1087118/bfa8d080ba35/plntphys00491-0126-a.jpg
https://cdn.ncbi.nlm.nih.gov/pmc/blobs/a852/1087118/9544ce04b995/plntphys00491-0127-a.jpg
https://cdn.ncbi.nlm.nih.gov/pmc/blobs/a852/1087118/971e4f743691/plntphys00491-0128-a.jpg
https://cdn.ncbi.nlm.nih.gov/pmc/blobs/a852/1087118/e42bafdde7da/plntphys00491-0121-a.jpg
https://cdn.ncbi.nlm.nih.gov/pmc/blobs/a852/1087118/114baa5ccb84/plntphys00491-0122-a.jpg
https://cdn.ncbi.nlm.nih.gov/pmc/blobs/a852/1087118/7609fbef5f77/plntphys00491-0123-a.jpg
https://cdn.ncbi.nlm.nih.gov/pmc/blobs/a852/1087118/aec848367039/plntphys00491-0124-a.jpg
https://cdn.ncbi.nlm.nih.gov/pmc/blobs/a852/1087118/71e46cf0ac31/plntphys00491-0125-a.jpg
https://cdn.ncbi.nlm.nih.gov/pmc/blobs/a852/1087118/bfa8d080ba35/plntphys00491-0126-a.jpg
https://cdn.ncbi.nlm.nih.gov/pmc/blobs/a852/1087118/9544ce04b995/plntphys00491-0127-a.jpg
https://cdn.ncbi.nlm.nih.gov/pmc/blobs/a852/1087118/971e4f743691/plntphys00491-0128-a.jpg

相似文献

1
Studies on ultrastructure and purification of isolated plant mitochondria.植物线粒体分离的超微结构与纯化研究。
Plant Physiol. 1968 Dec;43(12):2001-22. doi: 10.1104/pp.43.12.2001.
2
The isolation by isopycnic density-gradient centrifugation of two mitochondrial populations from livers of embryonic and fed and starved adult rats.通过等密度梯度离心法从胚胎、喂食及饥饿成年大鼠的肝脏中分离出两个线粒体群体。
Biochem J. 1970 May;117(5):913-9. doi: 10.1042/bj1170913.
3
Biochemical and ultrastructural properties of osmotically lysed rat-liver mitochondria.渗透裂解大鼠肝脏线粒体的生化及超微结构特性
J Cell Biol. 1966 Dec;31(3):455-72. doi: 10.1083/jcb.31.3.455.
4
An analysis of the contribution of the preparatory technique to the appearance of condensed and orthodox conformations of liver mitochondria.对肝脏线粒体凝聚和正统构象出现的准备技术贡献的分析。
J Ultrastruct Res. 1984 Dec;89(3):281-94. doi: 10.1016/s0022-5320(84)80044-1.
5
Ultrastructural bases for metabolically linked mechanical activity in mitochondria. I. Reversible ultrastructural changes with change in metabolic steady state in isolated liver mitochondria.线粒体中代谢关联机械活动的超微结构基础。I. 分离的肝线粒体中代谢稳态变化时的可逆超微结构改变。
J Cell Biol. 1966 Aug;30(2):269-97. doi: 10.1083/jcb.30.2.269.
6
Effects of proton pumping on the structural rigidity of cristae in mitochondria.质子泵对线粒体嵴结构刚性的影响。
Arch Biochem Biophys. 2022 May 15;720:109172. doi: 10.1016/j.abb.2022.109172. Epub 2022 Mar 8.
7
Water movement from intracristal spaces in isolated liver mitochondria.分离的肝线粒体中嵴内间隙的水移动
J Ultrastruct Res. 1984 Dec;89(3):249-60. doi: 10.1016/s0022-5320(84)80041-6.
8
Developmental changes in mitochondria during the transition into lactation in the mouse mammary gland. II. Membrane marker enzymes and membrane ultrastructure.小鼠乳腺向泌乳期转变过程中线粒体的发育变化。II. 膜标记酶与膜超微结构。
J Cell Biol. 1976 Jun;69(3):581-8. doi: 10.1083/jcb.69.3.581.
9
Developmental changes in mitochondria during the transition into lactation in the mouse mammary gland.小鼠乳腺向泌乳期过渡过程中线粒体的发育变化。
J Cell Biol. 1976 Jun;69(3):573-80. doi: 10.1083/jcb.69.3.573.
10
The internal compartmentation of rat-liver mitochondria: tomographic study using the high-voltage transmission electron microscope.大鼠肝脏线粒体的内部区室化:使用高压透射电子显微镜的断层扫描研究。
Microsc Res Tech. 1994 Mar 1;27(4):278-83. doi: 10.1002/jemt.1070270403.

引用本文的文献

1
Detailed Characterization of the Cell Wall Structure and Composition of Nordic Green Microalgae.详细描述北欧绿藻细胞壁的结构和组成。
J Agric Food Chem. 2022 Aug 10;70(31):9711-9721. doi: 10.1021/acs.jafc.2c02783. Epub 2022 Jul 27.
2
Do mitochondria in Dendrobium petal mesophyll cells form vacuole-like vesicles?铁皮石斛花瓣叶肉细胞中的线粒体是否形成液泡样囊泡?
Protoplasma. 2010 May;241(1-4):51-61. doi: 10.1007/s00709-010-0105-0. Epub 2010 Feb 17.
3
The effect of nucleotides and inhibitors on respiration in isolated wheat mitochondria.

本文引用的文献

1
Preparation and Properties of Sweet Potato Mitochondria.甘薯线粒体的制备与特性
Plant Physiol. 1963 Sep;38(5):594-604. doi: 10.1104/pp.38.5.594.
2
SOME OBSERVATIONS ON THE PERMEABILITY OF MITOCHONDRIA TO SUCROSE.关于线粒体对蔗糖通透性的一些观察
J Cell Biol. 1965 May;25(2):229-42. doi: 10.1083/jcb.25.2.229.
3
THE RELEASE OF MITOCHONDRIAL ENZYMES BY UNCOUPLING AGENTS.解偶联剂对线粒体酶的释放作用
核苷酸和抑制剂对离体小麦线粒体呼吸的影响。
Plant Physiol. 1975 Jan;55(1):51-8. doi: 10.1104/pp.55.1.51.
4
Corn Mitochondrial Swelling and Contraction-an Alternate Interpretation.玉米线粒体的肿胀与收缩——另一种解释
Plant Physiol. 1974 Jun;53(6):918-27. doi: 10.1104/pp.53.6.918.
5
Changes in Mitochondrial Properties Associated with Chloroplast Development in Jack Bean (Canavalia ensiformis [L] DC.).线粒体特性的变化与刀豆(Canavalia ensiformis [L] DC.)叶绿体发育有关。
Plant Physiol. 1972 May;49(5):826-35. doi: 10.1104/pp.49.5.826.
6
Ultrastructural changes of embryos in wheat infected with storage fungi.感染仓储真菌的小麦中胚胎的超微结构变化
Plant Physiol. 1970 Dec;46(6):857-9. doi: 10.1104/pp.46.6.857.
7
Necessary conditions for isolation of tightly coupled higher plant mitochondria.紧密偶联高等植物线粒体分离的必要条件。
Plant Physiol. 1970 Jun;45(6):773-81. doi: 10.1104/pp.45.6.773.
8
Changes in Respiration and Cyanide Sensitivity of the Barley Floret during Development and Maturation.大麦小花发育和成熟过程中呼吸作用及对氰化物敏感性的变化
Plant Physiol. 1970 Jun;45(6):698-702. doi: 10.1104/pp.45.6.698.
9
The site of fatty acid biosynthesis in the avocado pear.鳄梨中脂肪酸生物合成的部位。
Biochem J. 1970 Oct;119(5):48P-49P. doi: 10.1042/bj1190048pb.
10
The synthesis of fatty acids in avocado mesocarp and cauliflower bud tissue.鳄梨中果皮和花椰菜芽组织中脂肪酸的合成。
Biochem J. 1975 Feb;146(2):425-37. doi: 10.1042/bj1460425.
Arch Biochem Biophys. 1964 Jul 20;106:498-504. doi: 10.1016/0003-9861(64)90221-8.
4
BRAIN MITOCHONDRIA. I. ISOLATION OF BOVINE BRAIN MITOCHONDRIA.脑线粒体。一、牛脑线粒体的分离
J Cell Biol. 1963 Nov;19(2):293-307. doi: 10.1083/jcb.19.2.293.
5
DIPHENYLAMINE INHIBITION OF ELECTRON TRANSPORT IN PLANT MITOCHONDRIA.二苯胺对植物线粒体电子传递的抑制作用
Arch Biochem Biophys. 1963 Oct;103:148-55. doi: 10.1016/0003-9861(63)90020-1.
6
The osmotic behavior and permeability to non-electrolytes of mitochondria.线粒体的渗透行为及对非电解质的通透性
Arch Biochem Biophys. 1955 Sep;58(1):52-67. doi: 10.1016/0003-9861(55)90092-8.
7
Fine structure of lipid-depleted mitochondria.脂质耗尽的线粒体的精细结构
J Cell Biol. 1967 Jan;32(1):193-208. doi: 10.1083/jcb.32.1.193.
8
Ultrastructural bases for metabolically linked mechanical activity in mitochondria. I. Reversible ultrastructural changes with change in metabolic steady state in isolated liver mitochondria.线粒体中代谢关联机械活动的超微结构基础。I. 分离的肝线粒体中代谢稳态变化时的可逆超微结构改变。
J Cell Biol. 1966 Aug;30(2):269-97. doi: 10.1083/jcb.30.2.269.
9
Release of enzymes from rat liver mitochondria by freezing.冷冻诱导大鼠肝脏线粒体释放酶
Can J Biochem. 1965 Nov;43(11):1787-98. doi: 10.1139/o65-199.
10
The membrane systems of the mitochondrion. I. The S fraction of the outer membrane of beef heart mitochondria.线粒体的膜系统。I. 牛心线粒体外膜的S组分。
Arch Biochem Biophys. 1966 Jul;115(1):153-64. doi: 10.1016/s0003-9861(66)81051-2.