Suppr超能文献

通过聚合酶链反应(PCR)检测和分型爱泼斯坦-巴尔病毒(EBV):对EBV阳性伯基特淋巴瘤诊断筛查的贡献

Epstein-Barr virus (EBV) detection and typing by PCR: a contribution to diagnostic screening of EBV-positive Burkitt's lymphoma.

作者信息

Hassan Rocío, White Lídia Roxana, Stefanoff Claudio Gustavo, de Oliveira Deilson Elgui, Felisbino Fabricio E, Klumb Claudete Esteves, Bacchi Carlos E, Seuánez Héctor N, Zalcberg Ilana R

机构信息

Bone Marrow Transplantation Center (CEMO), Instituto Nacional de Câncer, Praça Cruz Vermelha 23, 20230-130, 6th floor, Rio de Janeiro, RJ, Brazil.

出版信息

Diagn Pathol. 2006 Aug 7;1:17. doi: 10.1186/1746-1596-1-17.

Abstract

BACKGROUND

Epstein-Barr virus (EBV) is associated to the etio-pathogenesis of an increasing number of tumors. Detection of EBV in pathology samples is relevant since its high prevalence in some cancers makes the virus a promising target of specific therapies. RNA in situ hybridization (RISH) is the standard diagnostic procedure, while polymerase chain reaction (PCR)-based methods are used for strain (EBV type-1 or 2) distinction. We performed a systematic comparison between RISH and PCR for EBV detection, in a group of childhood B-cell Non-Hodgkin lymphomas (NHL), aiming to validate PCR as a first, rapid method for the diagnosis of EBV-associated B-cell NHL.

METHODS

EBV infection was investigated in formalin fixed paraffin-embedded tumor samples of 41 children with B-cell NHL, including 35 Burkitt's lymphoma (BL), from Rio de Janeiro, Brazil, by in situ hybridization of EBV-encoded small RNA (EBER-RISH) and PCR assays based on EBNA2 amplification.

RESULTS

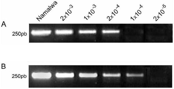
EBV genomes were detected in 68% of all NHL. Type 1 and 2 accounted for 80% and 20% of EBV infection, respectively. PCR and RISH were highly concordant (95%), as well as single- and nested-PCR results, allowing the use of a single PCR round for diagnostic purposes. PCR assays showed a sensitivity and specificity of 96% and 100%, respectively, with a detection level of 1 EBV genome in 5,000-10,000 EBV-negative cells, excluding the possibility of detecting low-number EBV-bearing memory cells.

CONCLUSION

We describe adequate PCR conditions with similar sensitivity and reliability to RISH, to be used for EBV diagnostic screening in high grade B-NHL, in "at risk" geographic regions.

摘要

背景

爱泼斯坦-巴尔病毒(EBV)与越来越多肿瘤的病因发病机制相关。病理样本中EBV的检测具有重要意义,因为其在某些癌症中的高流行率使该病毒成为特异性治疗的一个有前景的靶点。RNA原位杂交(RISH)是标准的诊断程序,而基于聚合酶链反应(PCR)的方法用于区分毒株(EBV 1型或2型)。我们对一组儿童B细胞非霍奇金淋巴瘤(NHL)进行了RISH和PCR检测EBV的系统比较,旨在验证PCR作为诊断EBV相关B细胞NHL的首选快速方法。

方法

通过EBV编码小RNA原位杂交(EBER-RISH)和基于EBNA2扩增的PCR检测,对来自巴西里约热内卢的41例患有B细胞NHL的儿童(包括35例伯基特淋巴瘤(BL))的福尔马林固定石蜡包埋肿瘤样本进行EBV感染调查。

结果

在所有NHL中,68%检测到EBV基因组。1型和2型分别占EBV感染的80%和20%。PCR和RISH高度一致(95%),单重PCR和巢式PCR结果也高度一致,因此可将单次PCR用于诊断目的。PCR检测的灵敏度和特异性分别为96%和100%,检测水平为在5000 - 10000个EBV阴性细胞中检测到1个EBV基因组,排除了检测到少量携带EBV的记忆细胞的可能性。

结论

我们描述了与RISH具有相似灵敏度和可靠性的适当PCR条件,可用于在“高危”地理区域对高级别B-NHL进行EBV诊断筛查。

https://cdn.ncbi.nlm.nih.gov/pmc/blobs/cafe/1559641/e09b04fcfeb8/1746-1596-1-17-1.jpg

文献检索

告别复杂PubMed语法,用中文像聊天一样搜索,搜遍4000万医学文献。AI智能推荐,让科研检索更轻松。

立即免费搜索

文件翻译

保留排版,准确专业,支持PDF/Word/PPT等文件格式,支持 12+语言互译。

免费翻译文档

深度研究

AI帮你快速写综述,25分钟生成高质量综述,智能提取关键信息,辅助科研写作。

立即免费体验