• 文献检索
  • 文档翻译
  • 深度研究
  • 学术资讯
  • Suppr Zotero 插件Zotero 插件
  • 邀请有礼
  • 套餐&价格
  • 历史记录
应用&插件
Suppr Zotero 插件Zotero 插件浏览器插件Mac 客户端Windows 客户端微信小程序
定价
高级版会员购买积分包购买API积分包
服务
文献检索文档翻译深度研究API 文档MCP 服务
关于我们
关于 Suppr公司介绍联系我们用户协议隐私条款
关注我们

Suppr 超能文献

核心技术专利:CN118964589B侵权必究
粤ICP备2023148730 号-1Suppr @ 2026

文献检索

告别复杂PubMed语法,用中文像聊天一样搜索,搜遍4000万医学文献。AI智能推荐,让科研检索更轻松。

立即免费搜索

文件翻译

保留排版,准确专业,支持PDF/Word/PPT等文件格式,支持 12+语言互译。

免费翻译文档

深度研究

AI帮你快速写综述,25分钟生成高质量综述,智能提取关键信息,辅助科研写作。

立即免费体验

一大类人类LTR样启动子和增强子的功能异质性。

Functional heterogeneity of a large family of human LTR-like promoters and enhancers.

作者信息

Feuchter A, Mager D

机构信息

Terry Fox Laboratory, BC Cancer Research Centre, Vancouver, Canada.

出版信息

Nucleic Acids Res. 1990 Mar 11;18(5):1261-70. doi: 10.1093/nar/18.5.1261.

DOI:10.1093/nar/18.5.1261
PMID:1690875
原文链接:https://pmc.ncbi.nlm.nih.gov/articles/PMC330443/
Abstract

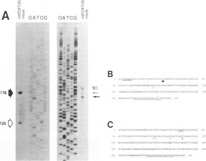
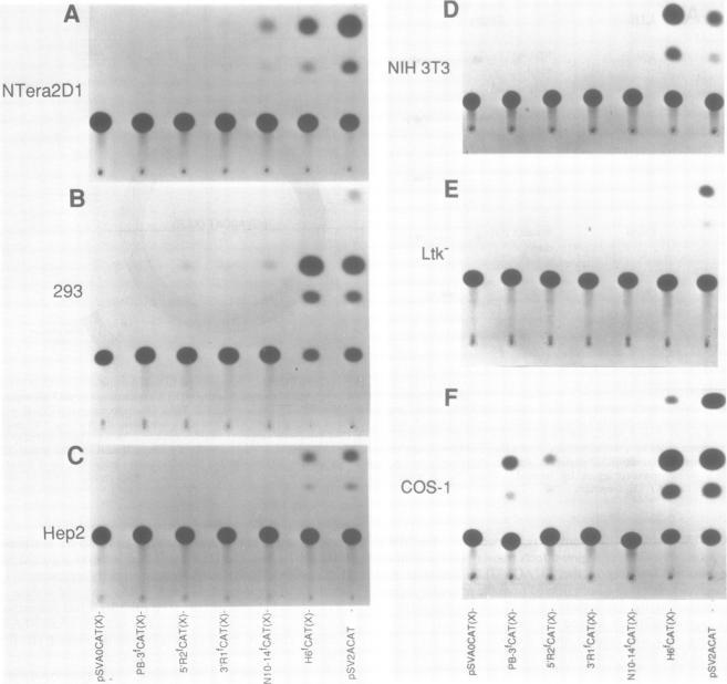
The human genome contains a variety of elements similar in structure to retroviruses and retrotransposons. We have shown that the long terminal repeat (LTR) sequences of a large family of human retrovirus-like elements, RTVL-H, are heterogeneous in their ability to regulate the expression of linked genes. Although all of five LTRs tested could promote expression of the chloramphenicol acetyltransferase (CAT) gene, their relative promoter activities as well as range of activities varied widely. Several of the LTRs tested also exhibited bidirectional promoter activity either alone or when activated by an SV40 early enhancer. One LTR, H6, displayed strong promoter activity in human (NTera2D1, 293, Hep2), monkey (COS-1), and mouse (3T3) cells. In fact, the activity of this LTR was similar to that of the SV40 early promoter/enhancer in 293, COS-1, and 3T3 cells. RNA mapping studies have localized the transcription start site to the expected location in the H6 LTR. RTVL-H LTRs were also shown to contain sequences which could increase transcription from the human beta-globin promoter and be influenced by SV40 enhancer sequences. As the human genome contains several hundred related RTVL-H sequences and a similar number of solitary LTRs, these findings raise the possibility that RTVL-H LTRs could have diverse effects on the expression of adjacent cellular genes.

摘要

人类基因组包含多种在结构上与逆转录病毒和逆转座子相似的元件。我们已经表明,一大类人类逆转录病毒样元件RTVL-H的长末端重复序列(LTR)在调节连锁基因表达的能力上是异质的。尽管所测试的五个LTR都能促进氯霉素乙酰转移酶(CAT)基因的表达,但其相对启动子活性以及活性范围差异很大。所测试的几个LTR单独或在被SV40早期增强子激活时也表现出双向启动子活性。一个LTR,即H6,在人(NTera2D1、293、Hep2)、猴(COS-1)和小鼠(3T3)细胞中表现出很强的启动子活性。事实上,在293、COS-1和3T3细胞中,这个LTR的活性与SV40早期启动子/增强子的活性相似。RNA定位研究已将转录起始位点定位到H6 LTR中的预期位置。RTVL-H LTRs还显示含有可增加人β-珠蛋白启动子转录并受SV40增强子序列影响的序列。由于人类基因组包含数百个相关的RTVL-H序列以及数量相近的单个LTR,这些发现增加了RTVL-H LTRs可能对相邻细胞基因的表达产生多种影响的可能性。

https://cdn.ncbi.nlm.nih.gov/pmc/blobs/285a/330443/30c7fc7bb8d2/nar00189-0167-b.jpg
https://cdn.ncbi.nlm.nih.gov/pmc/blobs/285a/330443/6baec51f20ed/nar00189-0163-a.jpg
https://cdn.ncbi.nlm.nih.gov/pmc/blobs/285a/330443/b603d2675791/nar00189-0165-a.jpg
https://cdn.ncbi.nlm.nih.gov/pmc/blobs/285a/330443/1c72cdfc7912/nar00189-0166-a.jpg
https://cdn.ncbi.nlm.nih.gov/pmc/blobs/285a/330443/2370012f61cd/nar00189-0167-a.jpg
https://cdn.ncbi.nlm.nih.gov/pmc/blobs/285a/330443/30c7fc7bb8d2/nar00189-0167-b.jpg
https://cdn.ncbi.nlm.nih.gov/pmc/blobs/285a/330443/6baec51f20ed/nar00189-0163-a.jpg
https://cdn.ncbi.nlm.nih.gov/pmc/blobs/285a/330443/b603d2675791/nar00189-0165-a.jpg
https://cdn.ncbi.nlm.nih.gov/pmc/blobs/285a/330443/1c72cdfc7912/nar00189-0166-a.jpg
https://cdn.ncbi.nlm.nih.gov/pmc/blobs/285a/330443/2370012f61cd/nar00189-0167-a.jpg
https://cdn.ncbi.nlm.nih.gov/pmc/blobs/285a/330443/30c7fc7bb8d2/nar00189-0167-b.jpg

相似文献

1
Functional heterogeneity of a large family of human LTR-like promoters and enhancers.一大类人类LTR样启动子和增强子的功能异质性。
Nucleic Acids Res. 1990 Mar 11;18(5):1261-70. doi: 10.1093/nar/18.5.1261.
2
Negative regulatory element associated with potentially functional promoter and enhancer elements in the long terminal repeats of endogenous murine leukemia virus-related proviral sequences.与内源性鼠白血病病毒相关前病毒序列长末端重复序列中潜在功能性启动子和增强子元件相关的负调控元件。
J Virol. 1989 Jun;63(6):2746-57. doi: 10.1128/JVI.63.6.2746-2757.1989.
3
Polyadenylation function and sequence variability of the long terminal repeats of the human endogenous retrovirus-like family RTVL-H.人类内源性逆转录病毒样家族RTVL-H长末端重复序列的聚腺苷酸化功能及序列变异性
Virology. 1989 Dec;173(2):591-9. doi: 10.1016/0042-6822(89)90570-9.
4
Promoter and enhancer activities of long terminal repeats associated with cellular retrovirus-like (VL30) elements.与细胞逆转录病毒样(VL30)元件相关的长末端重复序列的启动子和增强子活性。
Nucleic Acids Res. 1986 Jan 24;14(2):645-58. doi: 10.1093/nar/14.2.645.
5
SV40 large T antigen trans-activates the long terminal repeats of a large family of human endogenous retrovirus-like sequences.
Virology. 1992 Mar;187(1):242-50. doi: 10.1016/0042-6822(92)90312-d.
6
Regulation of gene expression directed by the long terminal repeat of the feline immunodeficiency virus.由猫免疫缺陷病毒长末端重复序列指导的基因表达调控
Virology. 1992 Mar;187(1):165-77. doi: 10.1016/0042-6822(92)90305-9.
7
Regulation of gene expression directed by the long terminal repeats of feline leukemia viruses.
Leukemia. 1997 Apr;11 Suppl 3:189-92.
8
A variant binding sequence for transcription factor EBP-80 confers increased promoter activity on a retroviral long terminal repeat.转录因子EBP - 80的一个变异结合序列赋予逆转录病毒长末端重复序列增强的启动子活性。
J Biol Chem. 1990 Aug 5;265(22):13084-90.
9
Strategy for detecting cellular transcripts promoted by human endogenous long terminal repeats: identification of a novel gene (CDC4L) with homology to yeast CDC4.检测由人类内源性长末端重复序列促进的细胞转录本的策略:鉴定与酵母CDC4具有同源性的新基因(CDC4L)
Genomics. 1992 Aug;13(4):1237-46. doi: 10.1016/0888-7543(92)90041-p.
10
Splicing of a human endogenous retrovirus to a novel phospholipase A2 related gene.一种人类内源性逆转录病毒与一个新的磷脂酶A2相关基因的剪接。
Nucleic Acids Res. 1993 Jan 11;21(1):135-43. doi: 10.1093/nar/21.1.135.

引用本文的文献

1
Investigation of Polymorphisms Induced by the Solo Long Terminal Repeats (Solo-LTRs) in Porcine Endogenous Retroviruses (ERVs).猪内源性逆转录病毒(ERVs)中单独长末端重复序列(Solo-LTRs)诱导的多态性研究。
Viruses. 2024 Nov 20;16(11):1801. doi: 10.3390/v16111801.
2
Origin and functional role of antisense transcription in endogenous and exogenous retroviruses.内源性和外源性逆转录病毒中反义转录的起源和功能作用。
Retrovirology. 2023 May 16;20(1):6. doi: 10.1186/s12977-023-00622-x.
3
Widespread expression of the ancient HERV-K (HML-2) provirus group in normal human tissues.

本文引用的文献

1
Structure, variation and synthesis of retrovirus long terminal repeat.逆转录病毒长末端重复序列的结构、变异与合成
Cell. 1981 Nov;27(1 Pt 2):1-3. doi: 10.1016/0092-8674(81)90353-6.
2
Recombinant genomes which express chloramphenicol acetyltransferase in mammalian cells.在哺乳动物细胞中表达氯霉素乙酰转移酶的重组基因组。
Mol Cell Biol. 1982 Sep;2(9):1044-51. doi: 10.1128/mcb.2.9.1044-1051.1982.
3
Pluripotent embryonal carcinoma clones derived from the human teratocarcinoma cell line Tera-2. Differentiation in vivo and in vitro.源自人畸胎瘤细胞系Tera-2的多能胚胎癌细胞克隆。体内和体外分化。
正常人体组织中广泛表达古老的 HERV-K(HML-2)前病毒群。
PLoS Biol. 2022 Oct 18;20(10):e3001826. doi: 10.1371/journal.pbio.3001826. eCollection 2022 Oct.
4
Argonaute NRDE-3 and MBT domain protein LIN-61 redundantly recruit an H3K9me3 HMT to prevent embryonic lethality and transposon expression.AGO NRDE-3 和 MBT 结构域蛋白 LIN-61 冗余招募 H3K9me3 HMT 以防止胚胎致死和转座子表达。
Genes Dev. 2021 Jan 1;35(1-2):82-101. doi: 10.1101/gad.344234.120. Epub 2020 Dec 10.
5
Human endogenous retrovirus-K (HML-2): a comprehensive review.人类内源性逆转录病毒-K(HML-2):全面综述。
Crit Rev Microbiol. 2018 Nov;44(6):715-738. doi: 10.1080/1040841X.2018.1501345. Epub 2018 Oct 14.
6
LTR-mediated retroposition as a mechanism of RNA-based duplication in metazoans.LTR介导的逆转座作为后生动物中基于RNA的基因重复机制。
Genome Res. 2016 Dec;26(12):1663-1675. doi: 10.1101/gr.204925.116. Epub 2016 Oct 20.
7
The persistent contributions of RNA to eukaryotic gen(om)e architecture and cellular function.RNA对真核生物基因组结构和细胞功能的持续贡献。
Cold Spring Harb Perspect Biol. 2014 Jul 31;6(12):a016089. doi: 10.1101/cshperspect.a016089.
8
VlincRNAs controlled by retroviral elements are a hallmark of pluripotency and cancer.受逆转录元件控制的 vlincRNAs 是多能性和癌症的标志。
Genome Biol. 2013 Jul 22;14(7):R73. doi: 10.1186/gb-2013-14-7-r73.
9
Human endogenous retroviral long terminal repeat sequences as cell type-specific promoters in retroviral vectors.人类内源性逆转录病毒长末端重复序列作为逆转录病毒载体中的细胞类型特异性启动子。
J Virol. 2009 Dec;83(23):12643-50. doi: 10.1128/JVI.00858-09. Epub 2009 Sep 9.
10
Evolutionary conservation of orthoretroviral long terminal repeats (LTRs) and ab initio detection of single LTRs in genomic data.正逆转录病毒长末端重复序列(LTRs)的进化保守性以及在基因组数据中从头检测单个LTRs
PLoS One. 2009;4(4):e5179. doi: 10.1371/journal.pone.0005179. Epub 2009 Apr 13.
Lab Invest. 1984 Feb;50(2):147-62.
4
Rearrangement of the oncogene c-mos in mouse myeloma NSI and hybridomas.小鼠骨髓瘤NSI和杂交瘤中癌基因c-mos的重排。
Nature. 1983;306(5945):797-9. doi: 10.1038/306797a0.
5
Rearranged c-mos locus in a MOPC 21 murine myeloma cell line and its persistence in hybridomas.MOPC 21小鼠骨髓瘤细胞系中重排的c-mos基因座及其在杂交瘤中的持续性。
Nature. 1983;306(5945):795-6. doi: 10.1038/306795a0.
6
The long terminal repeat sequences of a novel human endogenous retrovirus.一种新型人类内源性逆转录病毒的长末端重复序列。
Science. 1984 Dec 7;226(4679):1204-6. doi: 10.1126/science.6505687.
7
Nucleotide sequences of the retroviral long terminal repeats and their adjacent regions.逆转录病毒长末端重复序列及其相邻区域的核苷酸序列。
Nucleic Acids Res. 1984 Feb 24;12(4):1767-78. doi: 10.1093/nar/12.4.1767.
8
The promoter-specific transcription factor Sp1 binds to upstream sequences in the SV40 early promoter.启动子特异性转录因子Sp1与SV40早期启动子中的上游序列结合。
Cell. 1983 Nov;35(1):79-87. doi: 10.1016/0092-8674(83)90210-6.
9
Mutant immunoglobulin genes have repetitive DNA elements inserted into their intervening sequences.突变的免疫球蛋白基因在其间隔序列中插入了重复的DNA元件。
Proc Natl Acad Sci U S A. 1982 Dec;79(23):7425-9. doi: 10.1073/pnas.79.23.7425.
10
DNA sequences necessary for transcription of the rabbit beta-globin gene in vivo.兔β-珠蛋白基因在体内转录所需的DNA序列。
Nature. 1982 Jan 14;295(5845):120-6. doi: 10.1038/295120a0.