• 文献检索
  • 文档翻译
  • 深度研究
  • 学术资讯
  • Suppr Zotero 插件Zotero 插件
  • 邀请有礼
  • 套餐&价格
  • 历史记录
应用&插件
Suppr Zotero 插件Zotero 插件浏览器插件Mac 客户端Windows 客户端微信小程序
定价
高级版会员购买积分包购买API积分包
服务
文献检索文档翻译深度研究API 文档MCP 服务
关于我们
关于 Suppr公司介绍联系我们用户协议隐私条款
关注我们

Suppr 超能文献

核心技术专利:CN118964589B侵权必究
粤ICP备2023148730 号-1Suppr @ 2026

文献检索

告别复杂PubMed语法,用中文像聊天一样搜索,搜遍4000万医学文献。AI智能推荐,让科研检索更轻松。

立即免费搜索

文件翻译

保留排版,准确专业,支持PDF/Word/PPT等文件格式,支持 12+语言互译。

免费翻译文档

深度研究

AI帮你快速写综述,25分钟生成高质量综述,智能提取关键信息,辅助科研写作。

立即免费体验

Ber-EP4:一种区分上皮细胞和间皮细胞的新型单克隆抗体。

Ber-EP4: new monoclonal antibody which distinguishes epithelia from mesothelial.

作者信息

Latza U, Niedobitek G, Schwarting R, Nekarda H, Stein H

机构信息

Department of Pathology, Klinikum Steglitz, Free University Berlin, West Germany.

出版信息

J Clin Pathol. 1990 Mar;43(3):213-9. doi: 10.1136/jcp.43.3.213.

DOI:10.1136/jcp.43.3.213
PMID:1692040
原文链接:https://pmc.ncbi.nlm.nih.gov/articles/PMC502333/
Abstract

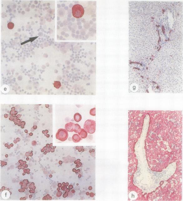
A new monoclonal antibody, Ber-EP4, directed against a partially formol resistant epitope on the protein moiety of two 34 kilodalton and 39 kilodalton glycopolypeptides on human epithelial cells is described. Immunostaining of a wide range of normal and neoplastic human tissues and cell lines showed that all carcinomas and all non-neoplastic epithelial cells, except hepatocytes, parietal cells, and apical cell layers in squamous epithelia, homogeneously expressed Ber-EP4 antigen. As Ber-EP4 does not detect any normal or neoplastic non-epithelial cells, this antibody might prove valuable for the differentiation of the following (i) non-epithelial tumours from undifferentiated carcinomas; (ii) hepatocytes from bile duct cells in certain liver diseases; (iii) mesothelial cells from carcinoma cells in lung biopsy specimens; and (iv) reactive mesothelial cells from carcinoma cells in smears of serous effusions.

摘要

描述了一种新的单克隆抗体Ber-EP4,它针对人上皮细胞上两种34千道尔顿和39千道尔顿糖多肽蛋白质部分上的部分甲醛抗性表位。对多种正常和肿瘤性人类组织及细胞系进行免疫染色显示,除肝细胞、壁细胞和鳞状上皮的表层细胞外,所有癌组织和所有非肿瘤性上皮细胞均均匀表达Ber-EP4抗原。由于Ber-EP4不能检测到任何正常或肿瘤性非上皮细胞,该抗体可能在以下方面的鉴别中具有价值:(i)未分化癌与非上皮肿瘤;(ii)某些肝脏疾病中胆管细胞与肝细胞;(iii)肺活检标本中癌细胞与间皮细胞;(iv)浆液性积液涂片中癌细胞与反应性间皮细胞。

https://cdn.ncbi.nlm.nih.gov/pmc/blobs/5a1a/502333/95da223416d7/jclinpath00393-0040-b.jpg
https://cdn.ncbi.nlm.nih.gov/pmc/blobs/5a1a/502333/dace1fbd0805/jclinpath00393-0038-a.jpg
https://cdn.ncbi.nlm.nih.gov/pmc/blobs/5a1a/502333/928b89935473/jclinpath00393-0038-b.jpg
https://cdn.ncbi.nlm.nih.gov/pmc/blobs/5a1a/502333/86a7251696b7/jclinpath00393-0039-a.jpg
https://cdn.ncbi.nlm.nih.gov/pmc/blobs/5a1a/502333/683f2f30936c/jclinpath00393-0040-a.jpg
https://cdn.ncbi.nlm.nih.gov/pmc/blobs/5a1a/502333/95da223416d7/jclinpath00393-0040-b.jpg
https://cdn.ncbi.nlm.nih.gov/pmc/blobs/5a1a/502333/dace1fbd0805/jclinpath00393-0038-a.jpg
https://cdn.ncbi.nlm.nih.gov/pmc/blobs/5a1a/502333/928b89935473/jclinpath00393-0038-b.jpg
https://cdn.ncbi.nlm.nih.gov/pmc/blobs/5a1a/502333/86a7251696b7/jclinpath00393-0039-a.jpg
https://cdn.ncbi.nlm.nih.gov/pmc/blobs/5a1a/502333/683f2f30936c/jclinpath00393-0040-a.jpg
https://cdn.ncbi.nlm.nih.gov/pmc/blobs/5a1a/502333/95da223416d7/jclinpath00393-0040-b.jpg

相似文献

1
Ber-EP4: new monoclonal antibody which distinguishes epithelia from mesothelial.Ber-EP4:一种区分上皮细胞和间皮细胞的新型单克隆抗体。
J Clin Pathol. 1990 Mar;43(3):213-9. doi: 10.1136/jcp.43.3.213.
2
Ber-EP4 and anti-calretinin antibodies: a useful combination for differential diagnosis of various histological types of ovarian cancer cells and mesothelial cells.Ber-EP4和抗钙视网膜蛋白抗体:用于鉴别诊断各种组织学类型卵巢癌细胞和间皮细胞的有用组合。
Tohoku J Exp Med. 2005 May;206(1):31-40. doi: 10.1620/tjem.206.31.
3
Ber-EP4 for differentiating adenocarcinoma from reactive and neoplastic mesothelial cells in serous effusions. Comparison with carcinoembryonic antigen, B72.3 and Leu-M1.Ber-EP4用于鉴别浆液性积液中的腺癌与反应性和肿瘤性间皮细胞。与癌胚抗原、B72.3和Leu-M1的比较。
Acta Cytol. 1996 Nov-Dec;40(6):1212-6. doi: 10.1159/000333982.
4
Selective immunolabeling of early gestational cytotrophoblast and its neoplastic counterpart by the monoclonal antibody Ber-EP4.
Histol Histopathol. 1993 Apr;8(2):323-8.
5
A novel monoclonal antibody-defined antigen which distinguishes human non-small cell from small cell lung carcinomas.一种可区分人非小细胞肺癌与小细胞肺癌的新型单克隆抗体界定抗原。
Cancer Res. 1986 Sep;46(9):4746-50.
6
Monoclonal antibody Ber-EP4 reliably discriminates between microcystic adnexal carcinoma and basal cell carcinoma.单克隆抗体Ber-EP4能够可靠地区分微囊性附属器癌和基底细胞癌。
J Cutan Pathol. 2007 Oct;34(10):782-7. doi: 10.1111/j.1600-0560.2006.00710.x.
7
Uterine adenomatoid tumors: immunohistochemical characteristics with emphasis on Ber-EP4 immunoreactivity and distinction from adenocarcinoma.
Int J Gynecol Pathol. 1996 Apr;15(2):146-51.
8
Ber-EP4 is a useful marker for follicular germinative cell differentiation of cutaneous epithelial neoplasms.Ber-EP4 是皮肤上皮性肿瘤滤泡细胞分化的有用标志物。
J Dermatol. 2012 Aug;39(8):688-92. doi: 10.1111/j.1346-8138.2011.01494.x. Epub 2012 Feb 2.
9
Mouse monoclonal antibodies to human epithelial differentiation antigens expressed on the surface of ovarian carcinoma ascites cells.针对卵巢癌腹水细胞表面表达的人上皮分化抗原的小鼠单克隆抗体。
Cancer Res. 1987 Dec 15;47(24 Pt 1):6741-50.
10
Anti-human epithelial antigen (Ber-EP4) helps define basal cell carcinoma masked by inflammation.抗人上皮抗原(Ber-EP4)有助于识别被炎症掩盖的基底细胞癌。
Dermatol Surg. 1997 Nov;23(11):1067-70. doi: 10.1111/j.1524-4725.1997.tb00449.x.

引用本文的文献

1
Epithelial Cell Adhesion Molecule (EpCAM) Expression in Human Tumors: A Comparison with Pan-Cytokeratin and TROP2 in 14,832 Tumors.上皮细胞粘附分子(EpCAM)在人类肿瘤中的表达:与14832例肿瘤中的全细胞角蛋白和TROP2的比较
Diagnostics (Basel). 2024 May 17;14(10):1044. doi: 10.3390/diagnostics14101044.
2
Intraoral Basal Cell Carcinoma of Soft Palate: A Diagnostic Dilemma and Review of Literature.软腭口腔内基底细胞癌:诊断难题与文献综述
Indian J Otolaryngol Head Neck Surg. 2024 Apr;76(2):2205-2211. doi: 10.1007/s12070-023-04452-3. Epub 2023 Dec 26.
3
Metastatic papillary thyroid carcinoma in pleural effusion: a case report and review of the literature.

本文引用的文献

1
Enzymatic iodination of polypeptides with 125I to high specific activity.用¹²⁵I对多肽进行酶促碘化以获得高比活度。
Biochim Biophys Acta. 1971 Dec 28;251(3):363-9. doi: 10.1016/0005-2795(71)90123-1.
2
Hodgkin's disease: establishment and characterization of four in vitro cell lies.霍奇金病:四种体外细胞系的建立与鉴定
J Cancer Res Clin Oncol. 1981;101(1):111-24. doi: 10.1007/BF00405072.
3
Biochemical and immunochemical aspects of carcinoembryonic antigen (CEA) and CEA related antigens: current status and future perspectives.
胸腔积液中转移性甲状腺乳头状癌:病例报告及文献复习。
J Med Case Rep. 2023 Dec 20;17(1):521. doi: 10.1186/s13256-023-04265-6.
4
Ber-EP4 staining patterns on basal cell carcinomas.基底细胞癌上的Ber-EP4染色模式。
North Clin Istanb. 2023 Aug 27;10(5):666-674. doi: 10.14744/nci.2022.25675. eCollection 2023.
5
Possible Ovarian and Peritoneal Carcinoma Presenting in a Mediastinal Lymph Node and Pleural Effusion: A Case Report and Review of the Literature.表现为纵隔淋巴结和胸腔积液的潜在卵巢及腹膜癌:一例病例报告及文献综述
Cureus. 2023 Sep 2;15(9):e44564. doi: 10.7759/cureus.44564. eCollection 2023 Sep.
6
Applications of SNAP-tag technology in skin cancer therapy.SNAP标签技术在皮肤癌治疗中的应用。
Health Sci Rep. 2019 Jan 8;2(2):e103. doi: 10.1002/hsr2.103. eCollection 2019 Feb.
7
Role of p16 deletion and BAP1 loss in the diagnosis of malignant mesothelioma.p16缺失和BAP1缺失在恶性间皮瘤诊断中的作用。
J Thorac Dis. 2018 Sep;10(9):5522-5530. doi: 10.21037/jtd.2018.08.59.
8
EpCAM Expression in Lymph Node Metastases of Urothelial Cell Carcinoma of the Bladder: A Pilot Study.EpCAM 在膀胱尿路上皮癌淋巴结转移中的表达:一项初步研究。
Int J Mol Sci. 2017 Aug 18;18(8):1802. doi: 10.3390/ijms18081802.
9
New evidence guiding extent of lymphadenectomy for esophagogastric junction tumor: Application of Ber-Ep4 Joint with CD44v6 staining on the detection of lower mediastinal lymph node micrometastasis and survival analysis.指导食管胃交界部肿瘤淋巴结清扫范围的新证据:Ber-Ep4联合CD44v6染色在检测下纵隔淋巴结微转移中的应用及生存分析
Medicine (Baltimore). 2017 Apr;96(14):e6533. doi: 10.1097/MD.0000000000006533.
10
Breast carcinoma masquerading as basal cell carcinoma of the nipple.伪装成乳头基底细胞癌的乳腺癌
JAAD Case Rep. 2015 Oct 2;1(6):361-3. doi: 10.1016/j.jdcr.2015.08.008. eCollection 2015 Nov.
J Clin Chem Clin Biochem. 1982 Oct;20(10):705-12. doi: 10.1515/cclm.1982.20.10.705.
4
Identification of Hodgkin and Sternberg-reed cells as a unique cell type derived from a newly-detected small-cell population.将霍奇金细胞和施特恩伯格-里德细胞鉴定为源自新检测到的小细胞群体的独特细胞类型。
Int J Cancer. 1982 Oct 15;30(4):445-59. doi: 10.1002/ijc.2910300411.
5
Biology of disease. Monoclonal antibodies and tumor-associated antigens.疾病生物学。单克隆抗体与肿瘤相关抗原。
Lab Invest. 1983 May;48(5):510-25.
6
Characterization of human interleukin 2 receptor (Tac antigen) in normal and leukemic T cells: co-expression of normal and aberrant receptors on Hut-102 cells.正常和白血病T细胞中人白细胞介素2受体(Tac抗原)的特性:Hut-102细胞上正常受体与异常受体的共表达
J Immunol. 1984 Jun;132(6):3005-10.
7
Identification of large cell undifferentiated tumours in lymph nodes using leucocyte common and keratin antibodies.利用白细胞共同抗原和角蛋白抗体鉴定淋巴结中的大细胞未分化肿瘤。
Histopathology. 1984 Mar;8(2):259-72. doi: 10.1111/j.1365-2559.1984.tb02340.x.
8
Immunoenzymatic labeling of monoclonal antibodies using immune complexes of alkaline phosphatase and monoclonal anti-alkaline phosphatase (APAAP complexes).使用碱性磷酸酶与单克隆抗碱性磷酸酶的免疫复合物(碱性磷酸酶抗碱性磷酸酶复合物,APAAP复合物)对单克隆抗体进行免疫酶标记。
J Histochem Cytochem. 1984 Feb;32(2):219-29. doi: 10.1177/32.2.6198355.
9
Tumor diagnosis by intermediate filament typing: a novel tool for surgical pathology.通过中间丝分型进行肿瘤诊断:外科病理学的一种新工具。
Lab Invest. 1983 Apr;48(4):372-94.
10
Use of monoclonal antibodies for the histopathological diagnosis of human malignancy.单克隆抗体在人类恶性肿瘤组织病理学诊断中的应用。
J Clin Pathol. 1982 Nov;35(11):1253-67. doi: 10.1136/jcp.35.11.1253.