Zeger D L, Hogarth P M, Sears D W
Department of Biological Sciences, University of California, Santa Barbara 93106.
Proc Natl Acad Sci U S A. 1990 May;87(9):3425-9. doi: 10.1073/pnas.87.9.3425.
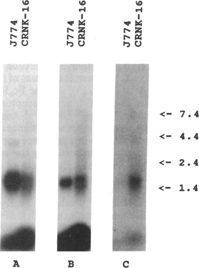
A cDNA clone for an IgG-binding Fc receptor, rtFc gamma R alpha, of the rat natural killer cell line CRNK-16 is characterized here. This clone encodes an Fc gamma receptor as shown by the ability of cDNA-transfected COS cells to rosette IgG-coated sheep erythrocytes. The rtFc gamma R alpha is exceptionally homologous to the mouse moFc gamma R alpha, with 77% protein sequence identity and 71% nucleic acid identity overall. The transmembrane region of the rtFc gamma R alpha contains the sequence Leu-Phe-Ala-Val-Asp-Thr-Gly-Leu, which is present in the membrane sequences of four other Fc receptors including mouse Fc gamma R alpha, human Fc gamma RIII-2, and the Fc epsilon R alpha subunits of the rat and human high-affinity IgE-binding receptors. Also, the rtFc gamma R alpha cytoplasmic domain exhibits specific homology to other receptors derived from natural killer cells, human Fc gamma RIII-2 and mouse Fc gamma R alpha. However, the rtFc gamma R alpha cDNA clone is complementary to at least two different-sized mRNAs expressed by CRNK-16 cells, contrasting the single Fc gamma R-related mRNA species expressed by human and mouse natural killer cells. These rat mRNAs are homologous to both the 5' and the 3' end of the cDNA clone, suggesting that they may be (i) splice variants of one transcript or (ii) products of different but highly related genes.
本文对大鼠自然杀伤细胞系CRNK - 16的一种IgG结合型Fc受体rtFcγRα的cDNA克隆进行了表征。如cDNA转染的COS细胞能够与IgG包被的绵羊红细胞形成花环所示,该克隆编码一种Fcγ受体。rtFcγRα与小鼠moFcγRα异常同源,总体蛋白质序列同一性为77%,核酸同一性为71%。rtFcγRα的跨膜区域包含序列Leu - Phe - Ala - Val - Asp - Thr - Gly - Leu,该序列存在于其他四种Fc受体的膜序列中,包括小鼠FcγRα、人FcγRIII - 2以及大鼠和人高亲和力IgE结合受体的FcεRα亚基。此外,rtFcγRα细胞质结构域与源自自然杀伤细胞的其他受体、人FcγRIII - 2和小鼠FcγRα表现出特定的同源性。然而,rtFcγRα cDNA克隆与CRNK - 16细胞表达的至少两种不同大小的mRNA互补,这与人和小鼠自然杀伤细胞表达的单一FcγR相关mRNA种类形成对比。这些大鼠mRNA与cDNA克隆的5'端和3'端均同源,表明它们可能是(i)一种转录本的剪接变体,或(ii)不同但高度相关基因的产物。