Suppr超能文献

日本遗传性胎儿血红蛋白持续增多症(HPFH)中γ-珠蛋白基因远端CCAAT基序内的一种新型C-T转换:因子结合对胎儿珠蛋白表达升高的影响

A novel C-T transition within the distal CCAAT motif of the G gamma-globin gene in the Japanese HPFH: implication of factor binding in elevated fetal globin expression.

作者信息

Fucharoen S, Shimizu K, Fukumaki Y

机构信息

Research Laboratory for Genetic Information, Kyushu University, Fukuoka, Japan.

出版信息

Nucleic Acids Res. 1990 Sep 11;18(17):5245-53. doi: 10.1093/nar/18.17.5245.

Abstract

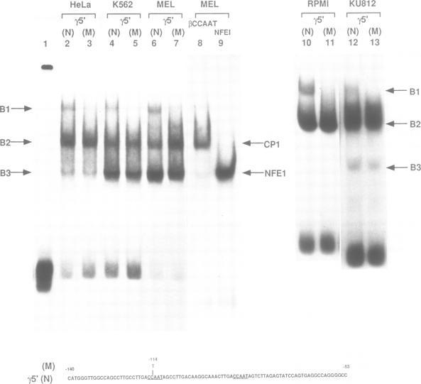
Hereditary persistence of fetal hemoglobin (HPFH) is a condition characterized by the continued expression of the fetal globin gene in adulthood. Both deletional and nondeletional forms have been described. We studied one Japanese family with two different nondeletional forms of HPFH. Analysis of polymorphic restriction sites in the beta-globin gene cluster suggested that one affecting both G gamma and A gamma globin expression in two members of the family could be associated with unknown conditions not linked to the beta-globin gene loci. Characterization by the polymerase chain reaction (PCR) of another form producing a G gamma-HPFH phenotype in two other members demonstrated a novel C-T transition at the nucleotide -114 within the distal CCAAT motif of the G gamma-globin gene. Using gel retardation assays on various nuclear extracts, we also demonstrated that this novel mutation abolishes the binding of the ubiquitous CCAAT binding factor, CP1 to the distal CCAAT motif of the gamma-globin gene but does not affect the binding of any erythroid specific factor, thereby suggesting a possible role for CP1 in the developmental regulation of fetal globin expression.

摘要

遗传性胎儿血红蛋白持续存在(HPFH)是一种成年期胎儿珠蛋白基因持续表达的病症。已描述了缺失型和非缺失型两种形式。我们研究了一个有两种不同非缺失型HPFH的日本家族。对β珠蛋白基因簇中多态性限制位点的分析表明,该家族两名成员中一种影响Gγ和Aγ珠蛋白表达的情况可能与未与β珠蛋白基因位点连锁的未知状况有关。对另外两名成员中产生Gγ-HPFH表型的另一种形式进行聚合酶链反应(PCR)鉴定,发现在Gγ珠蛋白基因远端CCAAT基序内的核苷酸-114处有一个新的C-T转换。通过对各种核提取物进行凝胶阻滞分析,我们还证明这种新突变消除了普遍存在的CCAAT结合因子CP1与γ珠蛋白基因远端CCAAT基序的结合,但不影响任何红系特异性因子的结合,从而提示CP1在胎儿珠蛋白表达的发育调控中可能起作用。

https://cdn.ncbi.nlm.nih.gov/pmc/blobs/2867/332148/448422a7dc31/nar00201-0252-a.jpg

文献检索

告别复杂PubMed语法,用中文像聊天一样搜索,搜遍4000万医学文献。AI智能推荐,让科研检索更轻松。

立即免费搜索

文件翻译

保留排版,准确专业,支持PDF/Word/PPT等文件格式,支持 12+语言互译。

免费翻译文档

深度研究

AI帮你快速写综述,25分钟生成高质量综述,智能提取关键信息,辅助科研写作。

立即免费体验