• 文献检索
  • 文档翻译
  • 深度研究
  • 学术资讯
  • Suppr Zotero 插件Zotero 插件
  • 邀请有礼
  • 套餐&价格
  • 历史记录
应用&插件
Suppr Zotero 插件Zotero 插件浏览器插件Mac 客户端Windows 客户端微信小程序
定价
高级版会员购买积分包购买API积分包
服务
文献检索文档翻译深度研究API 文档MCP 服务
关于我们
关于 Suppr公司介绍联系我们用户协议隐私条款
关注我们

Suppr 超能文献

核心技术专利:CN118964589B侵权必究
粤ICP备2023148730 号-1Suppr @ 2026

文献检索

告别复杂PubMed语法,用中文像聊天一样搜索,搜遍4000万医学文献。AI智能推荐,让科研检索更轻松。

立即免费搜索

文件翻译

保留排版,准确专业,支持PDF/Word/PPT等文件格式,支持 12+语言互译。

免费翻译文档

深度研究

AI帮你快速写综述,25分钟生成高质量综述,智能提取关键信息,辅助科研写作。

立即免费体验

针对分枝杆菌65-kd热休克蛋白的抗体与佐剂性关节炎大鼠以及类风湿性关节炎和骨关节炎患者的滑膜组织发生反应。

Antibodies to the mycobacterial 65-kd heat-shock protein are reactive with synovial tissue of adjuvant arthritic rats and patients with rheumatoid arthritis and osteoarthritis.

作者信息

de Graeff-Meeder E R, Voorhorst M, van Eden W, Schuurman H J, Huber J, Barkley D, Maini R N, Kuis W, Rijkers G T, Zegers B J

机构信息

Department of Immunology, Wilhelmina Children's Hospital, Utrecht, The Netherlands.

出版信息

Am J Pathol. 1990 Nov;137(5):1013-7.

PMID:1700613
原文链接:https://pmc.ncbi.nlm.nih.gov/articles/PMC1877661/
Abstract

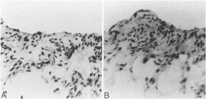
The expression of 65-kd mycobacterial heat-shock protein (HSP)-related antigens in synovial membrane from rats and humans with arthritis was studied using three monoclonal antibodies and one polyclonal antiserum directed to antigens of mycobacteria. The antibodies labeled synovial tissue sections from both adjuvant arthritis (AA) rats and from patients with either rheumatoid arthritis (RA) or osteoarthritis (OA); especially the synovial lining cells appeared to be positive. The cytoplasmic staining patterns in rats and humans were essentially the same and were not related to the extent of inflammation ie, the size of lymphoid infiltration. In control tissues no cytoplasmic staining was observed. The results suggest a role for a 65-kd HSP or a cross-reactive molecule in the immunopathologic process of arthritic disease.

摘要

使用三种针对分枝杆菌抗原的单克隆抗体和一种多克隆抗血清,研究了65-kd分枝杆菌热休克蛋白(HSP)相关抗原在患有关节炎的大鼠和人类滑膜中的表达。这些抗体标记了佐剂性关节炎(AA)大鼠以及类风湿性关节炎(RA)或骨关节炎(OA)患者的滑膜组织切片;尤其是滑膜衬里细胞似乎呈阳性。大鼠和人类的细胞质染色模式基本相同,且与炎症程度即淋巴浸润的大小无关。在对照组织中未观察到细胞质染色。结果表明65-kd HSP或一种交叉反应分子在关节炎疾病的免疫病理过程中起作用。

https://cdn.ncbi.nlm.nih.gov/pmc/blobs/a2a7/1877661/5b9dc701800f/amjpathol00107-0024-b.jpg
https://cdn.ncbi.nlm.nih.gov/pmc/blobs/a2a7/1877661/0ed2e5c2f0e7/amjpathol00107-0023-a.jpg
https://cdn.ncbi.nlm.nih.gov/pmc/blobs/a2a7/1877661/0ffa465086b0/amjpathol00107-0023-b.jpg
https://cdn.ncbi.nlm.nih.gov/pmc/blobs/a2a7/1877661/cd474c241dc0/amjpathol00107-0024-a.jpg
https://cdn.ncbi.nlm.nih.gov/pmc/blobs/a2a7/1877661/5b9dc701800f/amjpathol00107-0024-b.jpg
https://cdn.ncbi.nlm.nih.gov/pmc/blobs/a2a7/1877661/0ed2e5c2f0e7/amjpathol00107-0023-a.jpg
https://cdn.ncbi.nlm.nih.gov/pmc/blobs/a2a7/1877661/0ffa465086b0/amjpathol00107-0023-b.jpg
https://cdn.ncbi.nlm.nih.gov/pmc/blobs/a2a7/1877661/cd474c241dc0/amjpathol00107-0024-a.jpg
https://cdn.ncbi.nlm.nih.gov/pmc/blobs/a2a7/1877661/5b9dc701800f/amjpathol00107-0024-b.jpg

相似文献

1
Antibodies to the mycobacterial 65-kd heat-shock protein are reactive with synovial tissue of adjuvant arthritic rats and patients with rheumatoid arthritis and osteoarthritis.针对分枝杆菌65-kd热休克蛋白的抗体与佐剂性关节炎大鼠以及类风湿性关节炎和骨关节炎患者的滑膜组织发生反应。
Am J Pathol. 1990 Nov;137(5):1013-7.
2
High mobility group box chromosomal protein 1: a novel proinflammatory mediator in synovitis.高迁移率族蛋白盒1:滑膜炎中的一种新型促炎介质。
Arthritis Rheum. 2002 Oct;46(10):2598-603. doi: 10.1002/art.10540.
3
Antibody reactivity to mycobacterial 65 kDa heat shock protein: relevance to autoimmunity.抗分枝杆菌65 kDa热休克蛋白的抗体反应性:与自身免疫的相关性。
J Autoimmun. 1995 Apr;8(2):235-48. doi: 10.1006/jaut.1995.0018.
4
T cell reactivity to an epitope of the mycobacterial 65-kDa heat-shock protein (hsp 65) corresponds with arthritis susceptibility in rats and is regulated by hsp 65-specific cellular responses.T细胞对分枝杆菌65-kDa热休克蛋白(hsp 65)表位的反应性与大鼠关节炎易感性相关,并受hsp 65特异性细胞反应调控。
Eur J Immunol. 1991 May;21(5):1289-96. doi: 10.1002/eji.1830210529.
5
Antibody levels to mycobacteria in relation to HLA type: evidence for non-HLA-linked high levels of antibody to the 65 kD heat shock protein of M. bovis in rheumatoid arthritis.与HLA类型相关的抗分枝杆菌抗体水平:类风湿关节炎中存在与HLA无关的针对牛分枝杆菌65kD热休克蛋白的高水平抗体的证据。
Clin Exp Immunol. 1988 Nov;74(2):211-5.
6
Citrullination of synovial proteins in murine models of rheumatoid arthritis.类风湿性关节炎小鼠模型中滑膜蛋白的瓜氨酸化
Arthritis Rheum. 2003 Sep;48(9):2489-500. doi: 10.1002/art.11229.
7
Antigen-presenting cells containing bacterial peptidoglycan in synovial tissues of rheumatoid arthritis patients coexpress costimulatory molecules and cytokines.类风湿性关节炎患者滑膜组织中含有细菌肽聚糖的抗原呈递细胞共表达共刺激分子和细胞因子。
Arthritis Rheum. 2000 Oct;43(10):2160-8. doi: 10.1002/1529-0131(200010)43:10<2160::AID-ANR3>3.0.CO;2-T.
8
Immunohistochemical determination of complement activation in joint tissues of patients with rheumatoid arthritis and osteoarthritis using neoantigen-specific monoclonal antibodies.使用新抗原特异性单克隆抗体对类风湿性关节炎和骨关节炎患者关节组织中的补体激活进行免疫组织化学测定。
J Clin Lab Immunol. 1992;37(4):147-62.
9
Differential mycobacterial 65-kDa heat shock protein T cell epitope recognition after adjuvant arthritis-inducing or protective immunization protocols.佐剂性关节炎诱导或保护性免疫方案后分枝杆菌65 kDa热休克蛋白T细胞表位的差异性识别
J Immunol. 1994 Apr 1;152(7):3656-64.
10
Morphological and molecular pathology of the B cell response in synovitis of rheumatoid arthritis.类风湿性关节炎滑膜炎中B细胞反应的形态学与分子病理学
Virchows Arch. 2002 Nov;441(5):415-27. doi: 10.1007/s00428-002-0702-1. Epub 2002 Nov 5.

引用本文的文献

1
Patterns of T and B cell responses to Mycobacterium tuberculosis membrane-associated antigens and their relationship with disease activity in rheumatoid arthritis patients with latent tuberculosis infection.类风湿关节炎潜伏结核感染患者对结核分枝杆菌膜相关抗原的 T 细胞和 B 细胞反应模式及其与疾病活动的关系。
PLoS One. 2021 Aug 2;16(8):e0255639. doi: 10.1371/journal.pone.0255639. eCollection 2021.
2
Stress proteins in the pathogenesis of spondyloarthritis.脊柱关节炎发病机制中的应激蛋白。
Rheumatol Int. 2019 Apr;39(4):595-604. doi: 10.1007/s00296-018-4070-9. Epub 2018 May 31.
3
Targeting of tolerogenic dendritic cells towards heat-shock proteins: a novel therapeutic strategy for autoimmune diseases?

本文引用的文献

1
Development of arthritis, periarthritis and periostitis in rats given adjuvants.给予佐剂的大鼠关节炎、关节周围炎和骨膜炎的发展。
Proc Soc Exp Biol Med. 1956 Jan;91(1):95-101. doi: 10.3181/00379727-91-22179.
2
Lines of T lymphocytes induce or vaccinate against autoimmune arthritis.T淋巴细胞系可诱导针对自身免疫性关节炎的免疫反应或进行疫苗接种。
Science. 1983 Jan 7;219(4580):56-8. doi: 10.1126/science.6336851.
3
Arthritis induced by a T-lymphocyte clone that responds to Mycobacterium tuberculosis and to cartilage proteoglycans.由对结核分枝杆菌和软骨蛋白聚糖有反应的T淋巴细胞克隆诱导的关节炎。
将耐受性树突状细胞靶向热休克蛋白:自身免疫性疾病的一种新型治疗策略?
Immunology. 2018 Jan;153(1):51-59. doi: 10.1111/imm.12811. Epub 2017 Sep 18.
4
Opposing roles for heat and heat shock proteins in macrophage functions during inflammation: a function of cell activation state?热和热休克蛋白在炎症期间巨噬细胞功能中的相反作用:细胞激活状态的功能?
Front Immunol. 2012 Jun 1;3:140. doi: 10.3389/fimmu.2012.00140. eCollection 2012.
5
Role of heat shock proteins in diseases and their therapeutic potential.热休克蛋白在疾病中的作用及其治疗潜力。
Indian J Microbiol. 2011 Jun;51(2):124-31. doi: 10.1007/s12088-011-0147-9. Epub 2011 Feb 9.
6
The involvement of heat-shock proteins in the pathogenesis of autoimmune arthritis: a critical appraisal.热休克蛋白在自身免疫性关节炎发病机制中的作用:批判性评价。
Semin Arthritis Rheum. 2010 Oct;40(2):164-75. doi: 10.1016/j.semarthrit.2009.10.002. Epub 2009 Dec 6.
7
Heat shock proteins in juvenile idiopathic arthritis: keys for understanding remitting arthritis and candidate antigens for immune therapy.青少年特发性关节炎中的热休克蛋白:理解缓解性关节炎的关键及免疫治疗的候选抗原
Curr Rheumatol Rep. 2002 Dec;4(6):466-73. doi: 10.1007/s11926-002-0052-7.
8
Detection of Mycobacterium tuberculosis group organisms in human and mouse joint tissue by reverse transcriptase PCR: prevalence in diseased synovial tissue suggests lack of specific association with rheumatoid arthritis.通过逆转录聚合酶链反应检测人和小鼠关节组织中的结核分枝杆菌群微生物:患病滑膜组织中的患病率表明与类风湿性关节炎缺乏特异性关联。
Infect Immun. 2001 Mar;69(3):1821-31. doi: 10.1128/IAI.69.3.1821-1831.2001.
9
Enhanced intestinal expression of heat shock protein 70 in patients with inflammatory bowel diseases.炎症性肠病患者肠道中热休克蛋白70表达增强。
Dig Dis Sci. 1999 Jul;44(7):1440-7. doi: 10.1023/a:1026616221950.
10
Role of heat shock proteins in protection from and pathogenesis of infectious diseases.热休克蛋白在传染病防御及发病机制中的作用。
Clin Microbiol Rev. 1999 Jan;12(1):19-39. doi: 10.1128/CMR.12.1.19.
Proc Natl Acad Sci U S A. 1985 Aug;82(15):5117-20. doi: 10.1073/pnas.82.15.5117.
4
A role for heat shock proteins in inflammation?热休克蛋白在炎症中起作用?
Immunol Today. 1988 May;9(5):134-7. doi: 10.1016/0167-5699(88)91199-1.
5
Antibody levels to mycobacteria in relation to HLA type: evidence for non-HLA-linked high levels of antibody to the 65 kD heat shock protein of M. bovis in rheumatoid arthritis.与HLA类型相关的抗分枝杆菌抗体水平:类风湿关节炎中存在与HLA无关的针对牛分枝杆菌65kD热休克蛋白的高水平抗体的证据。
Clin Exp Immunol. 1988 Nov;74(2):211-5.
6
T lymphocytes of rheumatoid arthritis patients show augmented reactivity to a fraction of mycobacteria cross-reactive with cartilage.类风湿性关节炎患者的T淋巴细胞对与软骨发生交叉反应的部分分枝杆菌表现出增强的反应性。
Lancet. 1986 Aug 9;2(8502):305-9. doi: 10.1016/s0140-6736(86)90003-6.
7
Primary structure of a human mitochondrial protein homologous to the bacterial and plant chaperonins and to the 65-kilodalton mycobacterial antigen.一种与细菌和植物伴侣蛋白以及65千道尔顿分枝杆菌抗原同源的人类线粒体蛋白的一级结构。
Mol Cell Biol. 1989 May;9(5):2279-83. doi: 10.1128/mcb.9.5.2279-2283.1989.
8
Isolation of CD4- CD8- mycobacteria-reactive T lymphocyte clones from rheumatoid arthritis synovial fluid.从类风湿性关节炎滑液中分离CD4-CD8-分枝杆菌反应性T淋巴细胞克隆。
Nature. 1989 May 18;339(6221):226-9. doi: 10.1038/339226a0.
9
Stress proteins may provide a link between the immune response to infection and autoimmunity.应激蛋白可能在对感染的免疫反应和自身免疫之间提供一种联系。
Int Immunol. 1989;1(2):191-6. doi: 10.1093/intimm/1.2.191.
10
Synovial fluid T cell reactivity against 65 kD heat shock protein of mycobacteria in early chronic arthritis.早期慢性关节炎中滑液T细胞对分枝杆菌65kD热休克蛋白的反应性
Lancet. 1988 Aug 27;2(8609):478-80. doi: 10.1016/s0140-6736(88)90123-7.