Suppr超能文献

一种影响跨膜包膜糖蛋白的突变对1型人类免疫缺陷病毒细胞病变效应的减弱作用。

Attenuation of human immunodeficiency virus type 1 cytopathic effect by a mutation affecting the transmembrane envelope glycoprotein.

作者信息

Kowalski M, Bergeron L, Dorfman T, Haseltine W, Sodroski J

机构信息

Division of Human Retrovirology, Dana-Farber Cancer Institute, Boston, Massachusetts.

出版信息

J Virol. 1991 Jan;65(1):281-91. doi: 10.1128/JVI.65.1.281-291.1991.

Abstract

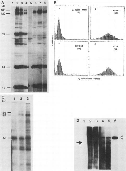
The cytopathic effects of human immunodeficiency virus type 1 (HIV-1) infection are specific for cells that express the CD4 viral receptor and consist of syncytium formation and single-cell lysis. Here we report that a mutation (517A) affecting the amino terminus of the HIV-1 gp41 transmembrane envelope glycoprotein resulted in a virus that was markedly less cytopathic than was wild-type HIV-1. In systems in which cell-to-cell transmission of HIV-1 occurred, the replication ability of the 517A virus was comparable with that of the wild-type virus. Even though the levels of viral protein expression, virion production, and interaction of the envelope glycoproteins with CD4 were similar for the 517A and wild-type viruses, both syncytium formation and single-cell lysis were attenuated for the 517A mutant virus. These results demonstrate that an envelope glycoprotein region important for mediating post-receptor binding events in cell membrane fusion is important for the induction of cytopathic effects by HIV-1. These results also indicate that levels of HIV-1 viral proteins or viral particles produced in infected cells are in themselves not sufficient to induce cytopathic effects.

摘要

1型人类免疫缺陷病毒(HIV-1)感染的细胞病变效应对于表达CD4病毒受体的细胞具有特异性,包括多核巨细胞形成和单细胞裂解。在此我们报告,一个影响HIV-1 gp41跨膜包膜糖蛋白氨基末端的突变(517A)导致一种病毒,其细胞病变效应明显低于野生型HIV-1。在HIV-1发生细胞间传播的系统中,517A病毒的复制能力与野生型病毒相当。尽管517A病毒和野生型病毒的病毒蛋白表达水平、病毒粒子产生以及包膜糖蛋白与CD4的相互作用相似,但517A突变病毒的多核巨细胞形成和单细胞裂解均减弱。这些结果表明,包膜糖蛋白中一个对介导细胞膜融合中受体后结合事件很重要的区域对于HIV-1诱导细胞病变效应很重要。这些结果还表明,感染细胞中产生的HIV-1病毒蛋白或病毒颗粒水平本身不足以诱导细胞病变效应。

https://cdn.ncbi.nlm.nih.gov/pmc/blobs/906a/240515/54a3e6c52fd9/jvirol00044-0306-a.jpg

文献检索

告别复杂PubMed语法,用中文像聊天一样搜索,搜遍4000万医学文献。AI智能推荐,让科研检索更轻松。

立即免费搜索

文件翻译

保留排版,准确专业,支持PDF/Word/PPT等文件格式,支持 12+语言互译。

免费翻译文档

深度研究

AI帮你快速写综述,25分钟生成高质量综述,智能提取关键信息,辅助科研写作。

立即免费体验