Suppr超能文献

一名肾细胞癌患者的纤毛肝前肠囊肿

Ciliated hepatic foregut cyst in a patient with renal cell carcinoma.

作者信息

Straus Todd, Osipov Vladimir

机构信息

Department of Pathology, Medical College of Wisconsin, Milwaukee, WI53226, USA.

出版信息

BMC Cancer. 2006 Oct 10;6:244. doi: 10.1186/1471-2407-6-244.

Abstract

BACKGROUND

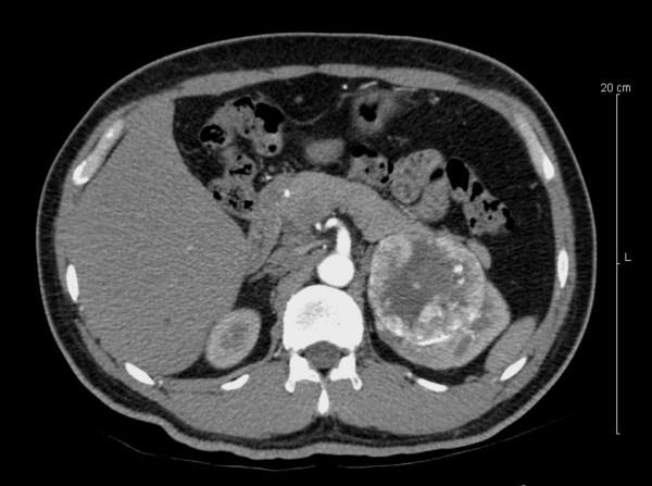
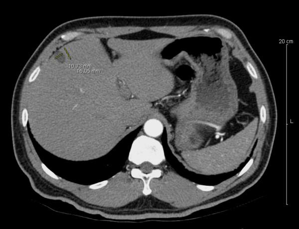
Ciliated hepatic foregut cyst is a rare condition almost always found incidentally on a computerized tomography scan or at autopsy. Rarely, portal vein compression can be a presenting finding. The cysts are usually unilocular and occur with greater frequency in males. There is a predilection for the left lobe. The cysts average 3 cm in size.

CASE PRESENTATION

We present in this case report a ciliated hepatic foregut cyst found incidentally in the setting of renal carcinoma. The patient was a man known to have a large renal mass, assumed to be cancer, and a liver mass suspicious for metastatic disease. This liver mass was cystic and upon further analysis showed ciliated epithelial lining. We describe the gross and histological appearance, as well as a brief discussion of ciliated hepatic foregut cysts.

CONCLUSION

We report the first case of a patient with coexisting renal cell carcinoma and a ciliated hepatic foregut cyst. While this may represent a coincidental finding, a possibility of a neoplastic or non-neoplastic disorder associated with ciliated hepatic foregut cysts can not be completely ruled out.

摘要

背景

纤毛肝前肠囊肿是一种罕见疾病,几乎总是在计算机断层扫描或尸检时偶然发现。门静脉受压很少作为首发表现。囊肿通常为单房性,男性中更常见。好发于左叶。囊肿平均大小为3厘米。

病例报告

我们在此病例报告中呈现一例在肾癌背景下偶然发现的纤毛肝前肠囊肿。患者为一名男性,已知有一个大的肾肿物,推测为癌症,还有一个肝脏肿物怀疑为转移性疾病。这个肝脏肿物为囊性,进一步分析显示有纤毛上皮内衬。我们描述了大体和组织学表现,并对纤毛肝前肠囊肿进行了简要讨论。

结论

我们报告了首例同时患有肾细胞癌和纤毛肝前肠囊肿的患者。虽然这可能是一个偶然发现,但与纤毛肝前肠囊肿相关的肿瘤性或非肿瘤性疾病的可能性不能完全排除。

https://cdn.ncbi.nlm.nih.gov/pmc/blobs/9aa1/1618844/c8133fcc0b1b/1471-2407-6-244-1.jpg

文献AI研究员

20分钟写一篇综述,助力文献阅读效率提升50倍。

立即体验

用中文搜PubMed

大模型驱动的PubMed中文搜索引擎

马上搜索

文档翻译

学术文献翻译模型,支持多种主流文档格式。

立即体验