Suppr超能文献

腹腔镜下切除纤毛前肠肝囊肿。

Laparoscopic excision of a ciliated hepatic foregut cyst.

作者信息

Goodman Michael D, Mak Grace Z, Reynolds Jordan P, Tevar Amit D, Pritts Timothy A

机构信息

Department of Surgery, University of Cincinnati, Cincinnati, Ohio, USA.

出版信息

JSLS. 2009 Jan-Mar;13(1):96-100.

Abstract

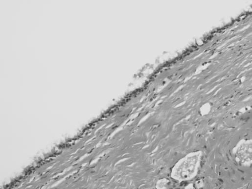
Ciliated hepatic foregut cysts are uncommon solitary cysts of the liver that originate from the embryologic foregut. Clinically and radiographically, these lesions can be difficult to distinguish from neoplasms. Recent reports have demonstrated that ciliated hepatic foregut cysts may undergo dysplastic progression, supporting the argument to excise these cysts when discovered. Fewer than 100 cases have been described in the literature since the first description of a ciliated hepatic foregut cyst in 1857. We present a patient who recently underwent laparoscopic excision of a ciliated hepatic foregut cyst, review the literature, and propose the rationale for attempting removal of these cysts via a laparoscopic approach.

摘要

纤毛前肠肝囊肿是一种罕见的肝脏孤立性囊肿,起源于胚胎前肠。在临床和影像学上,这些病变可能难以与肿瘤区分开来。最近的报告表明,纤毛前肠肝囊肿可能会发生发育异常进展,支持发现这些囊肿时进行切除的观点。自1857年首次描述纤毛前肠肝囊肿以来,文献中描述的病例不到100例。我们报告了一名最近接受腹腔镜切除纤毛前肠肝囊肿的患者,回顾了相关文献,并提出了通过腹腔镜方法尝试切除这些囊肿的理论依据。

https://cdn.ncbi.nlm.nih.gov/pmc/blobs/63cb/3015889/7a9c35634248/jsls-13-1-96-g01.jpg

文献检索

告别复杂PubMed语法,用中文像聊天一样搜索,搜遍4000万医学文献。AI智能推荐,让科研检索更轻松。

立即免费搜索

文件翻译

保留排版,准确专业,支持PDF/Word/PPT等文件格式,支持 12+语言互译。

免费翻译文档

深度研究

AI帮你快速写综述,25分钟生成高质量综述,智能提取关键信息,辅助科研写作。

立即免费体验