Suppr超能文献

Detection of type A oncornavirus-like structures in chicken embryo cells after infection with Rous sarcoma virus.

作者信息

Maul G G, Lewandowski L J

出版信息

J Virol. 1975 Oct;16(4):1071-4. doi: 10.1128/JVI.16.4.1071-1074.1975.

Abstract

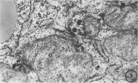
Electron microscopy examination of Rous sarcoma virus-transformed chicken embryo cells revealed membrane-free nucleoids resembling type A oncornavirus. These particles were not detected in noninfected cells, nor did they accumulate in excess under conditions of glucosamine block in virus-transformed cultures.

摘要
https://cdn.ncbi.nlm.nih.gov/pmc/blobs/55af/354768/1212f07487ec/jvirol00238-0324-a.jpg

文献检索

告别复杂PubMed语法,用中文像聊天一样搜索,搜遍4000万医学文献。AI智能推荐,让科研检索更轻松。

立即免费搜索

文件翻译

保留排版,准确专业,支持PDF/Word/PPT等文件格式,支持 12+语言互译。

免费翻译文档

深度研究

AI帮你快速写综述,25分钟生成高质量综述,智能提取关键信息,辅助科研写作。

立即免费体验