Suppr超能文献

水稻糖基水解酶家族1分析及Os4bglu12β-葡萄糖苷酶的表达

Analysis of rice glycosyl hydrolase family 1 and expression of Os4bglu12 beta-glucosidase.

作者信息

Opassiri Rodjana, Pomthong Busarakum, Onkoksoong Tassanee, Akiyama Takashi, Esen Asim, Ketudat Cairns James R

机构信息

Institute of Science, Suranaree University of Technology, Nakhon Ratchasima 30000, Thailand.

出版信息

BMC Plant Biol. 2006 Dec 29;6:33. doi: 10.1186/1471-2229-6-33.

Abstract

BACKGROUND

Glycosyl hydrolase family 1 (GH1) beta-glucosidases have been implicated in physiologically important processes in plants, such as response to biotic and abiotic stresses, defense against herbivores, activation of phytohormones, lignification, and cell wall remodeling. Plant GH1 beta-glucosidases are encoded by a multigene family, so we predicted the structures of the genes and the properties of their protein products, and characterized their phylogenetic relationship to other plant GH1 members, their expression and the activity of one of them, to begin to decipher their roles in rice.

RESULTS

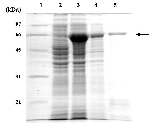
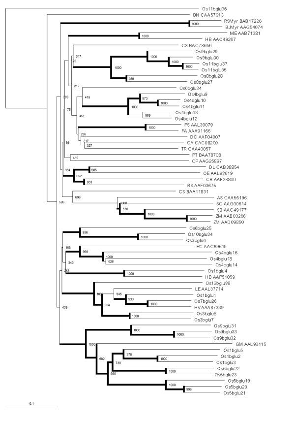
Forty GH1 genes could be identified in rice databases, including 2 possible endophyte genes, 2 likely pseudogenes, 2 gene fragments, and 34 apparently competent rice glycosidase genes. Phylogenetic analysis revealed that GH1 members with closely related sequences have similar gene structures and are often clustered together on the same chromosome. Most of the genes appear to have been derived from duplications that occurred after the divergence of rice and Arabidopsis thaliana lineages from their common ancestor, and the two plants share only 8 common gene lineages. At least 31 GH1 genes are expressed in a range of organs and stages of rice, based on the cDNA and EST sequences in public databases. The cDNA of the Os4bglu12 gene, which encodes a protein identical at 40 of 44 amino acid residues with the N-terminal sequence of a cell wall-bound enzyme previously purified from germinating rice, was isolated by RT-PCR from rice seedlings. A thioredoxin-Os4bglu12 fusion protein expressed in Escherichia coli efficiently hydrolyzed beta-(1,4)-linked oligosaccharides of 3-6 glucose residues and laminaribiose.

CONCLUSION

Careful analysis of the database sequences produced more reliable rice GH1 gene structure and protein product predictions. Since most of these genes diverged after the divergence of the ancestors of rice and Arabidopsis thaliana, only a few of their functions could be implied from those of GH1 enzymes from Arabidopsis and other dicots. This implies that analysis of GH1 enzymes in monocots is necessary to understand their function in the major grain crops. To begin this analysis, Os4bglu12 beta-glucosidase was characterized and found to have high exoglucanase activity, consistent with a role in cell wall metabolism.

摘要

背景

糖基水解酶家族1(GH1)β-葡萄糖苷酶参与植物的重要生理过程,如对生物和非生物胁迫的响应、抵御食草动物、植物激素的激活、木质化以及细胞壁重塑。植物GH1β-葡萄糖苷酶由一个多基因家族编码,因此我们预测了这些基因的结构及其蛋白质产物的特性,对它们与其他植物GH1成员的系统发育关系、表达情况以及其中一个成员的活性进行了表征,以初步解读它们在水稻中的作用。

结果

在水稻数据库中可鉴定出40个GH1基因,包括2个可能的内生菌基因、2个可能的假基因、2个基因片段以及34个明显有功能的水稻糖苷酶基因。系统发育分析表明,序列密切相关的GH1成员具有相似的基因结构,且常常聚集在同一条染色体上。大多数基因似乎源自水稻和拟南芥谱系从其共同祖先分化后发生的重复事件,这两种植物仅共享8个共同的基因谱系。根据公共数据库中的cDNA和EST序列,至少31个GH1基因在水稻的一系列器官和发育阶段表达。通过RT-PCR从水稻幼苗中分离出了Os4bglu12基因的cDNA,该基因编码的蛋白质在44个氨基酸残基中有40个与先前从发芽水稻中纯化的一种细胞壁结合酶的N端序列相同。在大肠杆菌中表达的硫氧还蛋白-Os4bglu12融合蛋白能够高效水解由3至6个葡萄糖残基组成的β-(1,4)-连接的寡糖以及层二糖。

结论

对数据库序列的仔细分析产生了更可靠的水稻GH1基因结构和蛋白质产物预测。由于这些基因中的大多数是在水稻和拟南芥的祖先分化后才出现分歧的,因此只能从拟南芥和其他双子叶植物的GH1酶的功能中推断出它们少数的功能。这意味着有必要对单子叶植物中的GH1酶进行分析,以了解它们在主要粮食作物中的功能。为开展此项分析,对Os4bglu12β-葡萄糖苷酶进行了表征,发现其具有高外切葡聚糖酶活性,这与其在细胞壁代谢中的作用相符。

https://cdn.ncbi.nlm.nih.gov/pmc/blobs/02d5/1781453/044303e87205/1471-2229-6-33-1.jpg

文献AI研究员

20分钟写一篇综述,助力文献阅读效率提升50倍。

立即体验

用中文搜PubMed

大模型驱动的PubMed中文搜索引擎

马上搜索

文档翻译

学术文献翻译模型,支持多种主流文档格式。

立即体验