• 文献检索
  • 文档翻译
  • 深度研究
  • 学术资讯
  • Suppr Zotero 插件Zotero 插件
  • 邀请有礼
  • 套餐&价格
  • 历史记录
应用&插件
Suppr Zotero 插件Zotero 插件浏览器插件Mac 客户端Windows 客户端微信小程序
定价
高级版会员购买积分包购买API积分包
服务
文献检索文档翻译深度研究API 文档MCP 服务
关于我们
关于 Suppr公司介绍联系我们用户协议隐私条款
关注我们

Suppr 超能文献

核心技术专利:CN118964589B侵权必究
粤ICP备2023148730 号-1Suppr @ 2026

文献检索

告别复杂PubMed语法,用中文像聊天一样搜索,搜遍4000万医学文献。AI智能推荐,让科研检索更轻松。

立即免费搜索

文件翻译

保留排版,准确专业,支持PDF/Word/PPT等文件格式,支持 12+语言互译。

免费翻译文档

深度研究

AI帮你快速写综述,25分钟生成高质量综述,智能提取关键信息,辅助科研写作。

立即免费体验

梅毒亚种雅司螺旋体(帕里阿曼菌株)感染的超微结构特征。

Ultrastructural aspects of infection with Treponema pallidum subspecies pertenue (Pariaman strain).

作者信息

Engelkens H J, Vuzevski V D, ten Kate F J, van der Heul P, van der Sluis J J, Stolz E

机构信息

Department of Dermatology and Venereology, University Hospital Rotterdam-Dijkzigt, The Netherlands.

出版信息

Genitourin Med. 1991 Oct;67(5):403-7. doi: 10.1136/sti.67.5.403.

DOI:10.1136/sti.67.5.403
PMID:1743714
原文链接:https://pmc.ncbi.nlm.nih.gov/articles/PMC1194741/
Abstract

OBJECTIVE

To study ultrastructural aspects of infection with Treponema pertenue (Pariaman strain), originating from West Sumatra, Indonesia.

MATERIALS AND METHODS

Biopsy material originating from skin lesions in ten young children suffering from early infectious yaws in Indonesia, and rabbit testicular tissue inoculated with T pertenue. Human skin as well as rabbit testicular tissue was examined by means of conventional electron microscopy.

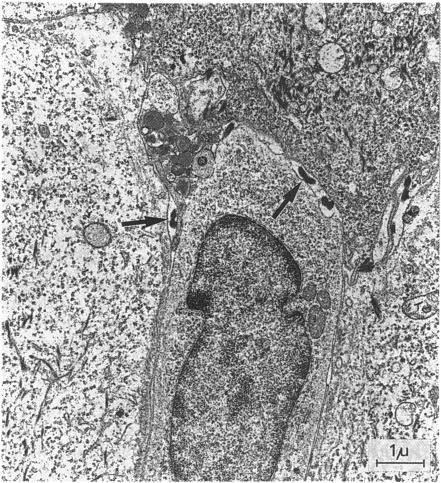
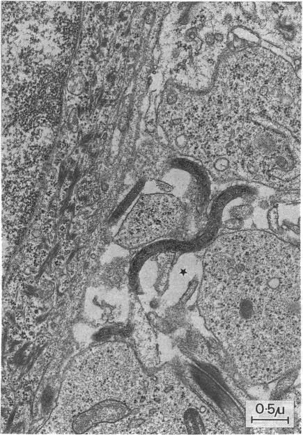
RESULTS

In human skin, treponemes were found in interepidermal spaces in 5 out of 10 specimens. In two of five positive specimens, treponemes were also seen in the dermis. In one out of five specimens from rabbit testicular tissue a profusion of treponemes was found lying in the interstitial myxomatous tissue. Microorganisms showed no adhesion to fibroblasts.

CONCLUSION

This ultrastructural study of T pertenue demonstrated the scarcity and focal distribution of treponemes in tissue and did not reveal any morphological differences from the Gauthier strain of T pertenue. No differences from the ultrastructure of T pallidum were observed either.

摘要

目的

研究源自印度尼西亚西苏门答腊的品他密螺旋体(帕里阿曼菌株)感染的超微结构特征。

材料与方法

取自印度尼西亚10名患有早期感染性雅司病的幼儿皮肤病变的活检材料,以及接种了品他密螺旋体的兔睾丸组织。采用传统电子显微镜检查人皮肤和兔睾丸组织。

结果

在人皮肤中,10个标本中有5个在表皮间隙发现了密螺旋体。在5个阳性标本中的2个中,真皮中也可见密螺旋体。在兔睾丸组织的5个标本中的1个中,在间质黏液瘤样组织中发现大量密螺旋体。微生物未显示与成纤维细胞的黏附。

结论

本品他密螺旋体的超微结构研究表明,密螺旋体在组织中的数量稀少且呈局灶性分布,与品他密螺旋体的高蒂埃菌株在形态上没有差异。也未观察到与梅毒螺旋体超微结构的差异。

https://cdn.ncbi.nlm.nih.gov/pmc/blobs/a951/1194741/ceded834cfa5/genitmed00041-0050-b.jpg
https://cdn.ncbi.nlm.nih.gov/pmc/blobs/a951/1194741/3727478999ac/genitmed00041-0048-a.jpg
https://cdn.ncbi.nlm.nih.gov/pmc/blobs/a951/1194741/5e5aaef4fb9c/genitmed00041-0048-b.jpg
https://cdn.ncbi.nlm.nih.gov/pmc/blobs/a951/1194741/eab4eae2e260/genitmed00041-0049-a.jpg
https://cdn.ncbi.nlm.nih.gov/pmc/blobs/a951/1194741/1a51ca6944b8/genitmed00041-0049-b.jpg
https://cdn.ncbi.nlm.nih.gov/pmc/blobs/a951/1194741/c617154c3181/genitmed00041-0050-a.jpg
https://cdn.ncbi.nlm.nih.gov/pmc/blobs/a951/1194741/ceded834cfa5/genitmed00041-0050-b.jpg
https://cdn.ncbi.nlm.nih.gov/pmc/blobs/a951/1194741/3727478999ac/genitmed00041-0048-a.jpg
https://cdn.ncbi.nlm.nih.gov/pmc/blobs/a951/1194741/5e5aaef4fb9c/genitmed00041-0048-b.jpg
https://cdn.ncbi.nlm.nih.gov/pmc/blobs/a951/1194741/eab4eae2e260/genitmed00041-0049-a.jpg
https://cdn.ncbi.nlm.nih.gov/pmc/blobs/a951/1194741/1a51ca6944b8/genitmed00041-0049-b.jpg
https://cdn.ncbi.nlm.nih.gov/pmc/blobs/a951/1194741/c617154c3181/genitmed00041-0050-a.jpg
https://cdn.ncbi.nlm.nih.gov/pmc/blobs/a951/1194741/ceded834cfa5/genitmed00041-0050-b.jpg

相似文献

1
Ultrastructural aspects of infection with Treponema pallidum subspecies pertenue (Pariaman strain).梅毒亚种雅司螺旋体(帕里阿曼菌株)感染的超微结构特征。
Genitourin Med. 1991 Oct;67(5):403-7. doi: 10.1136/sti.67.5.403.
2
The localisation of treponemes and characterisation of the inflammatory infiltrate in skin biopsies from patients with primary or secondary syphilis, or early infectious yaws.一期或二期梅毒患者或早期感染性雅司病患者皮肤活检中梅毒螺旋体的定位及炎性浸润的特征分析
Genitourin Med. 1993 Apr;69(2):102-7. doi: 10.1136/sti.69.2.102.
3
Genetic diversity in Treponema pallidum: implications for pathogenesis, evolution and molecular diagnostics of syphilis and yaws.梅毒螺旋体的遗传多样性:对梅毒和雅司病发病机制、进化和分子诊断的影响。
Infect Genet Evol. 2012 Mar;12(2):191-202. doi: 10.1016/j.meegid.2011.12.001. Epub 2011 Dec 15.
4
Yaws in West Sumatra, Indonesia: clinical manifestations, serological findings and characterisation of new Treponema isolates by DNA probes.印度尼西亚西苏门答腊的雅司病:临床表现、血清学检查结果以及通过DNA探针鉴定新型梅毒螺旋体分离株
Eur J Clin Microbiol Infect Dis. 1991 Jan;10(1):12-9. doi: 10.1007/BF01967091.
5
Whole genome sequence of the Treponema pallidum subsp. endemicum strain Bosnia A: the genome is related to yaws treponemes but contains few loci similar to syphilis treponemes.地方性梅毒亚种波黑A株梅毒螺旋体的全基因组序列:该基因组与雅司病螺旋体相关,但与梅毒螺旋体相似的基因座很少。
PLoS Negl Trop Dis. 2014 Nov 6;8(11):e3261. doi: 10.1371/journal.pntd.0003261. eCollection 2014.
6
Ultrastructure of cells of Treponema pertenue obtained from experimentally infected hamsters.从实验感染仓鼠中获得的 pertenue 密螺旋体细胞的超微结构。
Acta Pathol Microbiol Scand B. 1976 Apr;84(2):101-8. doi: 10.1111/j.1699-0463.1976.tb01909.x.
7
Treponema pallidum subsp. pertenue displays pathogenic properties different from those of T. pallidum subsp. pallidum.pertenue亚种梅毒螺旋体表现出与梅毒亚种梅毒螺旋体不同的致病特性。
Infect Immun. 2000 Jun;68(6):3219-25. doi: 10.1128/IAI.68.6.3219-3225.2000.
8
Topical treatment with gallium maltolate reduces Treponema pallidum subsp. pertenue burden in primary experimental lesions in a rabbit model of yaws.局部应用马尿酸镓治疗可降低雅司兔模型原发性实验性损害中苍白密螺旋体亚种的负荷。
PLoS Negl Trop Dis. 2019 Jan 2;13(1):e0007076. doi: 10.1371/journal.pntd.0007076. eCollection 2019 Jan.
9
A small yaws survey on the island of Sumatra, Indonesia.印度尼西亚苏门答腊岛的一次小型雅司病调查。
Acta Leiden. 1992;60(2):19-29.
10
A new attempt to distinguish serologically the subspecies of Treponema pallidum causing syphilis and yaws.血清学区分引起梅毒和雅司病的梅毒螺旋体亚种的新尝试。
J Clin Microbiol. 1990 Jul;28(7):1600-7. doi: 10.1128/jcm.28.7.1600-1607.1990.

引用本文的文献

1
A Single Dose Oral Azithromycin versus Intramuscular Benzathine Penicillin for the Treatment of Yaws-A Randomized Non Inferiority Trial in Ghana.单剂量口服阿奇霉素与肌内注射苄星青霉素治疗雅司病——加纳的一项随机非劣效性试验
PLoS Negl Trop Dis. 2017 Jan 10;11(1):e0005154. doi: 10.1371/journal.pntd.0005154. eCollection 2017 Jan.
2
Advances in the diagnosis of endemic treponematoses: yaws, bejel, and pinta.地方性梅毒螺旋体病的诊断进展:雅司病、黏膜斑和品他病。
PLoS Negl Trop Dis. 2013 Oct 24;7(10):e2283. doi: 10.1371/journal.pntd.0002283. eCollection 2013.
3
Molecular differentiation of Treponema pallidum subspecies.

本文引用的文献

1
Electronmicrography of treponemas from cases of yaws, pinta, and the so-called Cuban form of pinta.
Am J Trop Med Hyg. 1951 Jul;31(4):458-78. doi: 10.4269/ajtmh.1951.s1-31.458.
2
Intracellular location of Treponema pallidum (Nichols strain) in the rabbit testis.梅毒螺旋体(Nichols株)在兔睾丸中的细胞内定位。
Infect Immun. 1971 Sep;4(3):307-14. doi: 10.1128/iai.4.3.307-314.1971.
3
Treponema pertenue under the electron microscope.在电子显微镜下的 pertenue 密螺旋体。 (注:“pertenue”可能是特定的密螺旋体种类名称,具体含义需结合更多专业背景知识确定)
梅毒螺旋体亚种的分子分化
J Clin Microbiol. 2006 Sep;44(9):3377-80. doi: 10.1128/JCM.00784-06.
Br J Vener Dis. 1970 Oct;46(5):349-79. doi: 10.1136/sti.46.5.349.
4
An electron microscopic study of a syphilitic chancre. Engulfment of Treponema pallidum by plasma cells.梅毒初疮的电子显微镜研究。浆细胞对梅毒螺旋体的吞噬作用。
Arch Pathol. 1970 Aug;90(2):143-50.
5
Serial ultrathin sectioning demonstrating the intracellularity of T. Pallidum. An electron microscopic study.连续超薄切片显示梅毒螺旋体的细胞内存在情况。一项电子显微镜研究。
Br J Vener Dis. 1972 Apr;48(2):87-96. doi: 10.1136/sti.48.2.87.
6
Light and electron microscopy of rabbit testes infected with Treponema pallidum (Nichols strain): nature of deposited mucopolysaccharides and localisation of treponemes.感染梅毒螺旋体(Nichols株)的兔睾丸的光镜和电镜观察:沉积的粘多糖的性质及梅毒螺旋体的定位
Genitourin Med. 1987 Oct;63(5):297-304. doi: 10.1136/sti.63.5.297.
7
Yaws in West Sumatra, Indonesia: clinical manifestations, serological findings and characterisation of new Treponema isolates by DNA probes.印度尼西亚西苏门答腊的雅司病:临床表现、血清学检查结果以及通过DNA探针鉴定新型梅毒螺旋体分离株
Eur J Clin Microbiol Infect Dis. 1991 Jan;10(1):12-9. doi: 10.1007/BF01967091.
8
The resurgence of yaws. World-wide consequences.雅司病的死灰复燃。全球影响。
Int J Dermatol. 1991 Feb;30(2):99-101. doi: 10.1111/j.1365-4362.1991.tb04218.x.
9
Endemic treponematoses. Part I. Yaws.地方性密螺旋体病。第一部分。雅司病。
Int J Dermatol. 1991 Feb;30(2):77-83. doi: 10.1111/j.1365-4362.1991.tb04215.x.
10
Treponema pallidum in early syphilitic lesions in humans during high-dosage penicillin therapy. An electron microscopical study.大剂量青霉素治疗期间人类早期梅毒病变中的梅毒螺旋体。一项电子显微镜研究。
Arch Dermatol Res (1975). 1976 Nov 26;257(1):1-15. doi: 10.1007/BF00569109.