Suppr超能文献

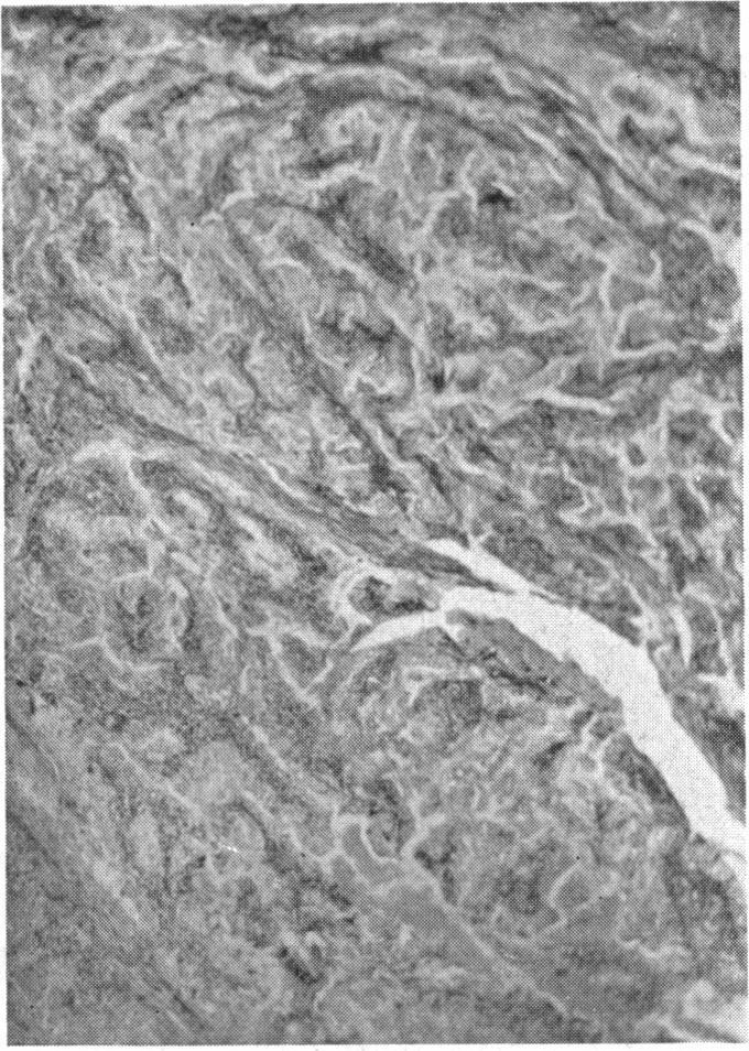
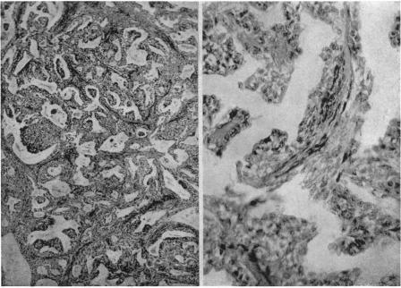
MALIGNANT TUMORS OF SYNOVIAL ORIGIN.

作者信息

Briggs C D

出版信息

Ann Surg. 1942 Mar;115(3):413-26. doi: 10.1097/00000658-194203000-00009.

Abstract
摘要
https://cdn.ncbi.nlm.nih.gov/pmc/blobs/1a49/1543944/dc81b43722c2/annsurg01343-0099-a.jpg

相似文献

1
MALIGNANT TUMORS OF SYNOVIAL ORIGIN.
Ann Surg. 1942 Mar;115(3):413-26. doi: 10.1097/00000658-194203000-00009.
3
Malignant peripheral nerve sheath tumors with t(X;18). A pathologic and molecular genetic study.
Mod Pathol. 2000 Dec;13(12):1336-46. doi: 10.1038/modpathol.3880247.
4
Malignant peripheral nerve sheath tumors with t(X;18). A pathologic and molecular genetic study.
Mod Pathol. 2000 Nov;13(11):1253-63. doi: 10.1038/modpathol.3880230.
5
[Oropharyngeal synovial sarcoma. Report of one case].
An Otorrinolaringol Ibero Am. 1998;25(4):353-9.
6
Absence of SYT-SSX fusion products in soft tissue tumors other than synovial sarcoma.
Am J Clin Pathol. 1999 Jul;112(1):43-9. doi: 10.1093/ajcp/112.1.43.
7
Immunohistochemical staining for TLE1 distinguishes synovial sarcoma from histologic mimics.
Am J Clin Pathol. 2011 Jun;135(6):839-44. doi: 10.1309/AJCP45SSNAOPXYXU.
8
The diagnostic utility of reduced immunohistochemical expression of SMARCB1 in synovial sarcomas: a validation study.
Hum Pathol. 2016 Jan;47(1):32-7. doi: 10.1016/j.humpath.2015.09.010. Epub 2015 Sep 25.
9
[Synovial sarcoma in child -- case report].
Acta Chir Orthop Traumatol Cech. 2006 Apr;73(2):104-7.
10
Sox10 and S100 in the diagnosis of soft-tissue neoplasms.
Appl Immunohistochem Mol Morphol. 2012 Oct;20(5):445-50. doi: 10.1097/PAI.0b013e318244ff4b.

引用本文的文献

1
Synovial Sarcoma.
Ann Surg. 1944 Dec;120(6):826-42. doi: 10.1097/00000658-194412000-00003.
2
Malignant giant-cell synovioma of phalanx.
J Clin Pathol. 1954 Aug;7(3):231-8. doi: 10.1136/jcp.7.3.231.
3
Synovial sarcoma of the abdominal wall. Light microscopic, histochemical and electron microscopic investigations.
Virchows Arch A Pathol Anat Histol. 1980;388(3):349-60. doi: 10.1007/BF00430864.

文献AI研究员

20分钟写一篇综述,助力文献阅读效率提升50倍。

立即体验

用中文搜PubMed

大模型驱动的PubMed中文搜索引擎

马上搜索

文档翻译

学术文献翻译模型,支持多种主流文档格式。

立即体验