Suppr超能文献

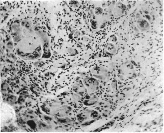
BENIGN XANTHIC EXTRAPERIOSTEAL TUMOR OF THE EXTREMITIES CONTAINING FOREIGN BODY GIANT CELLS.

作者信息

Broders A C

出版信息

Ann Surg. 1919 Nov;70(5):574-81. doi: 10.1097/00000658-191911000-00011.

Abstract
摘要
https://cdn.ncbi.nlm.nih.gov/pmc/blobs/d93c/1410443/748e35e8a2e1/annsurg00742-0087-a.jpg

文献AI研究员

20分钟写一篇综述,助力文献阅读效率提升50倍。

立即体验

用中文搜PubMed

大模型驱动的PubMed中文搜索引擎

马上搜索

文档翻译

学术文献翻译模型,支持多种主流文档格式。

立即体验