Kalamarides Michel, Stemmer-Rachamimov Anat O, Takahashi Masaya, Han Zhi-Yan, Chareyre Fabrice, Niwa-Kawakita Michiko, Black Peter M, Carroll Rona S, Giovannini Marco
Inserm U674, Paris, France.
Brain Pathol. 2008 Jan;18(1):62-70. doi: 10.1111/j.1750-3639.2007.00105.x. Epub 2007 Oct 9.
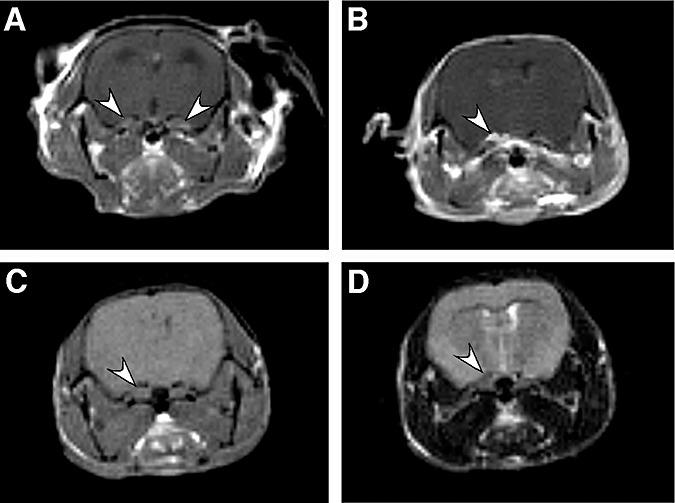
Meningiomas account for approximately 30% of all primary central nervous system tumors and are found in half of neurofibromatosis type 2 patients often causing significant morbidity. Although most meningiomas are benign, 10% are classified as atypical or anaplastic, displaying aggressive clinical behavior. Biallelic inactivation of the neurofibromatosis 2 (NF2) tumor suppressor is associated with meningioma formation in all NF2 patients and 60% of sporadic meningiomas. Deletion of the p16(INK4a)/p14(ARF) locus is found in both benign and malignant meningiomas, while mutation of the p53 tumor suppressor gene is uncommon. Previously, we inactivated Nf2 in homozygous conditional knockout mice by adenoviral Cre delivery and showed that Nf2 loss in arachnoid cells is rate-limiting for meningioma formation. Here, we report that additional nullizygosity for p16(Ink4a) increases the frequency of meningioma and meningothelial proliferation in these mice without modifying the tumor grade. In addition, by using magnetic resonance imaging (MRI) to screen a large cohort of mutant mice, we were able to detect meningothelial proliferation and meningioma development opening the way to future studies in which therapeutic interventions can be tested as preclinical assessment of their potential clinical application.
脑膜瘤约占所有原发性中枢神经系统肿瘤的30%,在2型神经纤维瘤病患者中半数可发现,常导致严重发病。虽然大多数脑膜瘤是良性的,但10%被归类为非典型或间变性,表现出侵袭性临床行为。神经纤维瘤病2(NF2)肿瘤抑制基因的双等位基因失活与所有NF2患者及60%的散发性脑膜瘤的形成有关。在良性和恶性脑膜瘤中均发现p16(INK4a)/p14(ARF)基因座缺失,而p53肿瘤抑制基因的突变并不常见。此前,我们通过腺病毒Cre传递在纯合条件性敲除小鼠中使Nf2失活,并表明蛛网膜细胞中Nf2的缺失是脑膜瘤形成的限速因素。在此,我们报告p16(Ink4a)额外的纯合缺失增加了这些小鼠脑膜瘤和脑膜内皮细胞增殖的频率,而不改变肿瘤分级。此外,通过使用磁共振成像(MRI)对大量突变小鼠进行筛查,我们能够检测到脑膜内皮细胞增殖和脑膜瘤的发生,为未来研究开辟了道路,在这些研究中可以测试治疗干预措施,作为其潜在临床应用的临床前评估。