Boldy D A, Ayres J G, Crocker J, Waterhouse J A, Gilthorpe M
Department of Respiratory Medicine, East Birmingham Hospital.
Thorax. 1991 Dec;46(12):871-7. doi: 10.1136/thx.46.12.871.
Good prognostic indicators for patients with squamous cell carcinoma of the lung would help to determine the most appropriate treatment for individual patients.
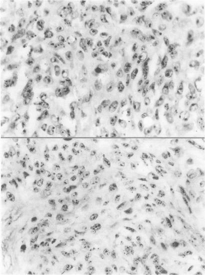
A silver colloid technique that shows interphase nucleolar organiser regions (AgNORs) has been applied to representative paraffin sections from 138 cases of squamous cell carcinoma of the bronchus treated by surgical resection of the primary tumour at East Birmingham Hospital in 1977. Of the 138 patients, 23 (17%) were alive 10 years after their operation.
The mean (SD) AgNOR count per cell was significantly higher for all grades of malignancy (well differentiated 10.5 (2.6), moderately differentiated 10.7 (3.2), and poorly differentiated 12.7 (4.5)) than for normal pseudostratified columnar epithelium from non-affected areas (2.3 (0.78)). There was a trend for AgNOR counts to be higher in poorly differentiated tumours, but a wide range of AgNOR counts was observed in all histological grades. AgNOR counts did not predict clinical outcome, irrespective of the stage of the disease, and did not relate to DNA ploidy or the percentage of cells in the proliferation phase of the cell cycle. Nine of 47 patients (19%) with tumours classified as DNA diploid and eight of 63 patients (13%) with DNA aneuploid tumours were alive 10 years after operation. Principal component analysis identified the clinicopathological stage of disease as the variable best related to survival. The percentage of patients surviving 10 years was 30% for stage I, 20% for stage II, 10% for stage IIIa, 9% for stage IIIb, and none for stage IV.
The AgNOR technique is not of prognostic value in postoperative patients with squamous cell carcinoma of the bronchus.
肺癌鳞状细胞癌患者的良好预后指标有助于为个体患者确定最合适的治疗方案。
一种显示间期核仁组织区(AgNORs)的银胶体技术已应用于1977年在东伯明翰医院接受原发性肿瘤手术切除的138例支气管鳞状细胞癌的代表性石蜡切片。138例患者中,23例(17%)术后10年仍存活。
所有恶性程度分级(高分化10.5(2.6)、中分化10.7(3.2)、低分化12.7(4.5))的细胞平均(标准差)AgNOR计数均显著高于未受影响区域的正常假复层柱状上皮(2.3(0.78))。低分化肿瘤的AgNOR计数有升高趋势,但在所有组织学分级中均观察到AgNOR计数范围广泛。无论疾病分期如何,AgNOR计数均不能预测临床结局,且与DNA倍体或细胞周期增殖期细胞百分比无关。47例DNA二倍体肿瘤患者中有9例(19%)、63例DNA非整倍体肿瘤患者中有8例(13%)术后10年仍存活。主成分分析确定疾病的临床病理分期是与生存最相关的变量。I期患者10年生存率为30%,II期为20%,IIIa期为10%,IIIb期为9%,IV期无存活患者。
AgNOR技术对支气管鳞状细胞癌术后患者无预后价值。