Suppr超能文献

检测 Epstein Barr 病毒通过显色原位杂交在肝外胆道闭锁病例中。

Detection of Epstein Barr virus by chromogenic in situ hybridization in cases of extra-hepatic biliary atresia.

机构信息

Pathology Department, Markaze Tebbi Koodakan (Children Hospital related to Tehran University of Medical Sciences), End of Keshavarz Boulevard, Tehran, Iran.

出版信息

Diagn Pathol. 2008 Apr 28;3:19. doi: 10.1186/1746-1596-3-19.

Abstract

INTRODUCTION

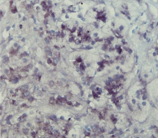
Extra-hepatic biliary atresia (EHBA) is an important cause of neonatal cholestasis. Several infectious agents have been proposed as etiologic factors such as Rotavirus and Reovirus. There is limited data on the role of Epstein Barr virus (EBV) infection in EHBA, so we decided to study the presence of EBV virus in a series of 16 proven EHBA cases by chromogenic in situ hybridization (CISH) technique.

METHODS

In the current study a total of 16 liver wedge biopsies of proven cases of EHBA were selected in a period of 4 years. CISH staining for EBV-encoded RNA (EBER) transcript was performed.

RESULTS

The review of H&E-stained slides of liver biopsies revealed fibrosis and marked ductular proliferation. In CISH-stained slides, EBV trace was observed in hepatocytes in two cases and in biliary epithelium in one case of EHBA.

DISCUSSION

Considering the association of hepatitis with the Epstein-Barr virus in later life, it is likely that EBV hepatitis and its complications occur in the neonatal/perinatal period. Since EHBA is a relatively rare disease, a similar study on wedge biopsies of this number of proven cases of EHBA has not been performed to date. Current observation proposes the need for a study of larger series and employing other methods for confirming the etiologic role of EBV in EHBA cases.

摘要

介绍

肝外胆道闭锁(EHBA)是新生儿胆汁淤积的一个重要原因。有几种感染因子被认为是病因,如轮状病毒和呼肠孤病毒。关于 Epstein Barr 病毒(EBV)感染在 EHBA 中的作用的数据有限,因此我们决定通过显色原位杂交(CISH)技术研究一系列 16 例已证实的 EHBA 病例中 EBV 感染的存在。

方法

在目前的研究中,选择了 4 年内 16 例经证实的 EHBA 肝楔形活检。进行 EBV 编码 RNA(EBER)转录物的 CISH 染色。

结果

对肝活检的 H&E 染色幻灯片进行回顾,显示纤维化和明显的胆管增生。在 CISH 染色的幻灯片中,在 2 例 EHBA 中观察到 EBV 痕迹在肝细胞中,在 1 例中在胆管上皮细胞中。

讨论

考虑到乙型肝炎与 Epstein-Barr 病毒在生命后期的关联,新生儿/围生期可能发生 EBV 肝炎及其并发症。由于 EHBA 是一种相对罕见的疾病,迄今为止尚未对这种数量的已证实 EHBA 病例的楔形活检进行类似的研究。目前的观察结果表明,需要进行更大系列的研究,并采用其他方法来证实 EBV 在 EHBA 病例中的病因作用。

https://cdn.ncbi.nlm.nih.gov/pmc/blobs/5976/2424033/b44daa760eb8/1746-1596-3-19-1.jpg

文献AI研究员

20分钟写一篇综述,助力文献阅读效率提升50倍。

立即体验

用中文搜PubMed

大模型驱动的PubMed中文搜索引擎

马上搜索

文档翻译

学术文献翻译模型,支持多种主流文档格式。

立即体验