• 文献检索
  • 文档翻译
  • 深度研究
  • 学术资讯
  • Suppr Zotero 插件Zotero 插件
  • 邀请有礼
  • 套餐&价格
  • 历史记录
应用&插件
Suppr Zotero 插件Zotero 插件浏览器插件Mac 客户端Windows 客户端微信小程序
定价
高级版会员购买积分包购买API积分包
服务
文献检索文档翻译深度研究API 文档MCP 服务
关于我们
关于 Suppr公司介绍联系我们用户协议隐私条款
关注我们

Suppr 超能文献

核心技术专利:CN118964589B侵权必究
粤ICP备2023148730 号-1Suppr @ 2026

文献检索

告别复杂PubMed语法,用中文像聊天一样搜索,搜遍4000万医学文献。AI智能推荐,让科研检索更轻松。

立即免费搜索

文件翻译

保留排版,准确专业,支持PDF/Word/PPT等文件格式,支持 12+语言互译。

免费翻译文档

深度研究

AI帮你快速写综述,25分钟生成高质量综述,智能提取关键信息,辅助科研写作。

立即免费体验

爱泼斯坦-巴尔病毒基因组在致命性移植后淋巴组织增生性疾病中的全身分布。一项原位杂交研究。

The systemic distribution of Epstein-Barr virus genomes in fatal post-transplantation lymphoproliferative disorders. An in situ hybridization study.

作者信息

Randhawa P S, Jaffe R, Demetris A J, Nalesnik M, Starzl T E, Chen Y Y, Weiss L M

机构信息

Department of Pathology, Presbyterian University Hospital, Pittsburgh, Pennsylvania 15213.

出版信息

Am J Pathol. 1991 Apr;138(4):1027-33.

PMID:1849356
原文链接:https://pmc.ncbi.nlm.nih.gov/articles/PMC1886109/
Abstract

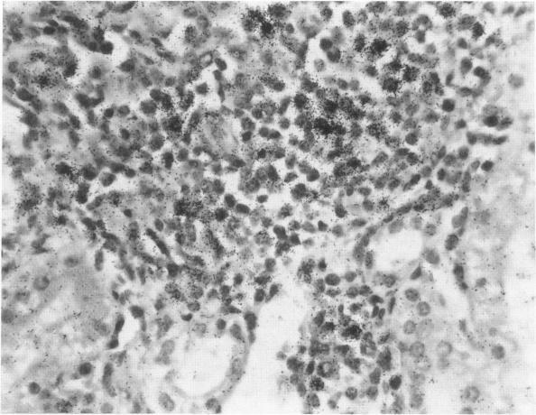
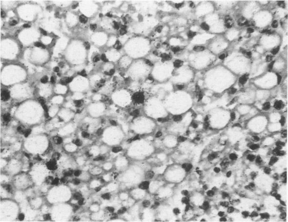
The systemic distribution of Epstein-Barr virus (EBV) genomes was studied in paraffin-embedded tissues from 12 fatal cases of Post-transplantation lymphoproliferative disease (PTLD), using an in situ hybridization technique employing an alpha-35S-dCTP-radiolabeled BamHI-W fragment of EBV DNA. The presence of EBV was documented in various PTLD-involved organs. The hybridization signal for the virus localized predominantly in the abnormal lymphoid cells, but signals also were detected in hepatocytes and/or adrenal cortical cells in five cases. The distribution of autoradiographic label within the lymphoid cells was focal and its intensity varied from field to field suggesting a nonuniformity of the viral genomic load in the infected tissues. Recruitment of EBV genome-bearing cells was not observed into inflammatory mononuclear infiltrates found in organs without histopathologic evidence of PTLD.

摘要

利用原位杂交技术,采用EBV DNA的α-35S-dCTP放射性标记的BamHI-W片段,对12例移植后淋巴细胞增生性疾病(PTLD)死亡病例的石蜡包埋组织中EBV基因组的全身分布进行了研究。在各种PTLD累及的器官中均证实了EBV的存在。病毒的杂交信号主要定位于异常淋巴细胞,但在5例患者的肝细胞和/或肾上腺皮质细胞中也检测到了信号。放射自显影标记在淋巴细胞内的分布是局灶性的,其强度因视野而异,提示受感染组织中病毒基因组负荷不均匀。在没有PTLD组织病理学证据的器官中发现的炎性单核细胞浸润中,未观察到携带EBV基因组的细胞的募集。

https://cdn.ncbi.nlm.nih.gov/pmc/blobs/b876/1886109/42c8489999d2/amjpathol00100-0244-b.jpg
https://cdn.ncbi.nlm.nih.gov/pmc/blobs/b876/1886109/c7ff6c7ef383/amjpathol00100-0243-a.jpg
https://cdn.ncbi.nlm.nih.gov/pmc/blobs/b876/1886109/8b4f33a7bb93/amjpathol00100-0243-b.jpg
https://cdn.ncbi.nlm.nih.gov/pmc/blobs/b876/1886109/727c841b3eec/amjpathol00100-0244-a.jpg
https://cdn.ncbi.nlm.nih.gov/pmc/blobs/b876/1886109/42c8489999d2/amjpathol00100-0244-b.jpg
https://cdn.ncbi.nlm.nih.gov/pmc/blobs/b876/1886109/c7ff6c7ef383/amjpathol00100-0243-a.jpg
https://cdn.ncbi.nlm.nih.gov/pmc/blobs/b876/1886109/8b4f33a7bb93/amjpathol00100-0243-b.jpg
https://cdn.ncbi.nlm.nih.gov/pmc/blobs/b876/1886109/727c841b3eec/amjpathol00100-0244-a.jpg
https://cdn.ncbi.nlm.nih.gov/pmc/blobs/b876/1886109/42c8489999d2/amjpathol00100-0244-b.jpg

相似文献

1
The systemic distribution of Epstein-Barr virus genomes in fatal post-transplantation lymphoproliferative disorders. An in situ hybridization study.爱泼斯坦-巴尔病毒基因组在致命性移植后淋巴组织增生性疾病中的全身分布。一项原位杂交研究。
Am J Pathol. 1991 Apr;138(4):1027-33.
2
In situ hybridization for Epstein-Barr virus NotI repeats in posttransplant lymphoproliferative disorder.移植后淋巴细胞增生性疾病中爱泼斯坦-巴尔病毒NotI重复序列的原位杂交
Mod Pathol. 1992 May;5(3):292-302.
3
In situ demonstration of Epstein-Barr viral genomes in viral-associated B cell lymphoproliferations.病毒相关B细胞淋巴增殖性疾病中Epstein-Barr病毒基因组的原位显示
Am J Pathol. 1989 Mar;134(3):651-9.
4
Acute cellular rejection and Epstein-Barr virus-related post-transplant lymphoproliferative disorder in a pediatric lung transplant with low viral load.低病毒载量的小儿肺移植中的急性细胞排斥反应和爱泼斯坦-巴尔病毒相关的移植后淋巴组织增生性疾病
Transpl Infect Dis. 2010 Aug 1;12(4):342-6. doi: 10.1111/j.1399-3062.2009.00487.x. Epub 2009 Dec 20.
5
Patterns of Epstein-Barr virus latent and replicative gene expression in Epstein-Barr virus B cell lymphoproliferative disorders after organ transplantation.器官移植后爱泼斯坦-巴尔病毒B细胞淋巴增殖性疾病中爱泼斯坦-巴尔病毒潜伏和复制基因表达模式
Transplantation. 1994 Aug 15;58(3):317-24.
6
Clinical spectrum of lymphoproliferative disorders in renal transplant recipients and evidence for the role of Epstein-Barr virus.肾移植受者淋巴增生性疾病的临床谱及爱泼斯坦-巴尔病毒作用的证据
Cancer Res. 1981 Nov;41(11 Pt 1):4253-61.
7
Heart allograft involvement with Epstein-Barr virus-associated posttransplant lymphoproliferative disorder.心脏同种异体移植受爱泼斯坦-巴尔病毒相关的移植后淋巴细胞增生性疾病累及。
Arch Pathol Lab Med. 1992 Jan;116(1):93-5.
8
Posttransplant lymphoproliferative disorder in pediatric bone marrow transplant recipients: disseminated disease of donor origin demonstrated by fluorescence in situ hybridization.小儿骨髓移植受者的移植后淋巴细胞增殖性疾病:荧光原位杂交显示供体来源的播散性疾病
Arch Pathol Lab Med. 1998 Aug;122(8):708-14.
9
Epstein-Barr virus-associated pneumonia in patients with post-transplant lymphoproliferative disease after hematopoietic stem cell transplantation.造血干细胞移植后移植后淋巴组织增生性疾病患者的爱泼斯坦-巴尔病毒相关肺炎
Transpl Infect Dis. 2010 Aug 1;12(4):284-91. doi: 10.1111/j.1399-3062.2010.00502.x. Epub 2010 Mar 23.
10
Documentation of Epstein-Barr virus infection in immunodeficient patients with life-threatening lymphoproliferative diseases by Epstein-Barr virus complementary RNA/DNA and viral DNA/DNA hybridization.通过爱泼斯坦-巴尔病毒互补RNA/DNA和病毒DNA/DNA杂交技术记录免疫缺陷且患有危及生命的淋巴增殖性疾病患者的爱泼斯坦-巴尔病毒感染情况。
Cancer Res. 1981 Nov;41(11 Pt 1):4237-42.

引用本文的文献

1
Post-transplant lymphoproliferative disorders.移植后淋巴组织增生性疾病。
Pathol Oncol Res. 1997 Sep;3(3):177-82. doi: 10.1007/BF02899918.
2
Two cases of post transplant lymphoproliferative disorder in lung transplant recipients.两例肺移植受者发生移植后淋巴细胞增生性疾病。
Korean J Intern Med. 2004 Dec;19(4):276-81. doi: 10.3904/kjim.2004.19.4.276.
3
Detection of Epstein-Barr virus DNA in sera from transplant recipients with lymphoproliferative disorders.对患有淋巴增生性疾病的移植受者血清中爱泼斯坦-巴尔病毒DNA的检测。

本文引用的文献

1
Monoclonality of lymphoproliferative lesions in cardiac-transplant recipients. Clonal analysis based on immunoglobulin-gene rearrangements.心脏移植受者淋巴增生性病变的单克隆性。基于免疫球蛋白基因重排的克隆分析。
N Engl J Med. 1984 Feb 23;310(8):477-82. doi: 10.1056/NEJM198402233100801.
2
Epstein-Barr virus replication in oropharyngeal epithelial cells.爱泼斯坦-巴尔病毒在口咽上皮细胞中的复制。
N Engl J Med. 1984 May 10;310(19):1225-30. doi: 10.1056/NEJM198405103101905.
3
The Epstein-Barr virus receptor is distinct from the C3 receptor.
J Clin Microbiol. 1999 Apr;37(4):1113-6. doi: 10.1128/JCM.37.4.1113-1116.1999.
4
Use of quantitative competitive PCR to measure Epstein-Barr virus genome load in the peripheral blood of pediatric transplant patients with lymphoproliferative disorders.使用定量竞争性聚合酶链反应测量患有淋巴增生性疾病的儿科移植患者外周血中爱泼斯坦-巴尔病毒基因组载量。
J Clin Microbiol. 1997 Jun;35(6):1612-5. doi: 10.1128/jcm.35.6.1612-1615.1997.
5
Lymphoproliferative disease in organ transplant recipients.器官移植受者的淋巴增殖性疾病
Springer Semin Immunopathol. 1991;13(2):199-216. doi: 10.1007/BF00201469.
6
Epstein-Barr viral genome in lymph nodes from patients with Hodgkin's disease may not be specific to Reed-Sternberg cells.霍奇金病患者淋巴结中的爱泼斯坦-巴尔病毒基因组可能并非里德-施特恩伯格细胞所特有。
Am J Pathol. 1991 Jul;139(1):37-43.
7
The influence of long-term morbidity on health status and rehabilitation following paediatric organ transplantation.长期发病情况对小儿器官移植后健康状况及康复的影响。
Eur J Pediatr. 1992;151 Suppl 1:S70-5. doi: 10.1007/BF02125807.
8
Expression of Epstein-Barr virus-encoded small RNA (by the EBER-1 gene) in liver specimens from transplant recipients with post-transplantation lymphoproliferative disease.移植后淋巴增殖性疾病移植受者肝脏标本中爱泼斯坦-巴尔病毒编码的小RNA(由EBER-1基因编码)的表达
N Engl J Med. 1992 Dec 10;327(24):1710-4. doi: 10.1056/NEJM199212103272403.
爱泼斯坦-巴尔病毒受体与C3受体不同。
J Gen Virol. 1983 Feb;64 (Pt 2):449-53. doi: 10.1099/0022-1317-64-2-449.
4
Epstein-Barr virus in a malignant lymphoproliferative disorder of B-cells occurring after thymic epithelial transplantation for combined immunodeficiency.在因联合免疫缺陷进行胸腺上皮移植后发生的B细胞恶性淋巴增殖性疾病中的爱泼斯坦-巴尔病毒
Cancer Res. 1981 Nov;41(11 Pt 1):4243-7.
5
Epstein-Barr virus (EBV)-lymphoid cell interactions. I. Quantification of EBV particles required for the membrane immunofluorescence assay and the comparative expression of EBV receptors on different human B, T and null cell lines.爱泼斯坦-巴尔病毒(EBV)与淋巴细胞的相互作用。I. 膜免疫荧光测定所需的EBV颗粒定量以及不同人B细胞、T细胞和裸细胞系上EBV受体的比较表达。
J Gen Virol. 1981 Mar;53(Pt 1):1-11. doi: 10.1099/0022-1317-53-1-1.
6
Epstein-Barr virus co-reconstituted with Sendai virus envelopes infects Epstein-Barr virus-receptor negative cells.与仙台病毒包膜共同重构的爱泼斯坦-巴尔病毒可感染爱泼斯坦-巴尔病毒受体阴性细胞。
Biochim Biophys Acta. 1981 Aug 5;676(1):19-24. doi: 10.1016/0304-4165(81)90004-0.
7
The Epstein-Barr virus in the pathogenesis of posttransplant lymphoproliferative disorders. Clinical, pathologic, and virologic correlation.爱泼斯坦-巴尔病毒在移植后淋巴增殖性疾病发病机制中的作用。临床、病理及病毒学相关性
Surgery. 1981 Aug;90(2):204-13.
8
Relative lack of Epstein Barr virus (EBV) receptors on B cells from persistently EBV seronegative adults.持续性EB病毒血清阴性成年人B细胞上EB病毒(EBV)受体相对缺乏。
J Immunol. 1981 Mar;126(3):897-900.
9
Epstein-Barr-virus-induced oncogenesis in immune-deficient individuals.爱泼斯坦-巴尔病毒在免疫缺陷个体中诱导的肿瘤发生。
Lancet. 1980 Feb 9;1(8163):300-3. doi: 10.1016/s0140-6736(80)90792-8.
10
Persistence of Epstein-Barr virus in the parotid gland.爱泼斯坦-巴尔病毒在腮腺中的持续存在。
J Virol. 1984 Sep;51(3):795-8. doi: 10.1128/JVI.51.3.795-798.1984.