• 文献检索
  • 文档翻译
  • 深度研究
  • 学术资讯
  • Suppr Zotero 插件Zotero 插件
  • 邀请有礼
  • 套餐&价格
  • 历史记录
应用&插件
Suppr Zotero 插件Zotero 插件浏览器插件Mac 客户端Windows 客户端微信小程序
定价
高级版会员购买积分包购买API积分包
服务
文献检索文档翻译深度研究API 文档MCP 服务
关于我们
关于 Suppr公司介绍联系我们用户协议隐私条款
关注我们

Suppr 超能文献

核心技术专利:CN118964589B侵权必究
粤ICP备2023148730 号-1Suppr @ 2026

文献检索

告别复杂PubMed语法,用中文像聊天一样搜索,搜遍4000万医学文献。AI智能推荐,让科研检索更轻松。

立即免费搜索

文件翻译

保留排版,准确专业,支持PDF/Word/PPT等文件格式,支持 12+语言互译。

免费翻译文档

深度研究

AI帮你快速写综述,25分钟生成高质量综述,智能提取关键信息,辅助科研写作。

立即免费体验

除幽门螺杆菌外的螺旋形细菌所致胃炎:临床、组织学及超微结构研究结果

Gastritis due to spiral shaped bacteria other than Helicobacter pylori: clinical, histological, and ultrastructural findings.

作者信息

Heilmann K L, Borchard F

机构信息

Institute of Pathology, Municipal Hospital, Landshut, West Germany.

出版信息

Gut. 1991 Feb;32(2):137-40. doi: 10.1136/gut.32.2.137.

DOI:10.1136/gut.32.2.137
PMID:1864530
原文链接:https://pmc.ncbi.nlm.nih.gov/articles/PMC1378794/
Abstract

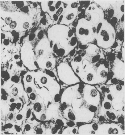
An intensive histological search for Helicobacter pylori in gastric biopsy specimens has led to the detection of other spiral shaped bacteria in the human gastric mucosa. The clinical and morphological findings of 39 cases (0.25% of all gastric biopsies performed in the observation period) are reported for 34 patients (87.2%) complaining of upper abdominal discomfort. Five patients (12.8%) had chronic gastritis and 34 (87.2%) chronic active gastritis. The organisms were seen by light microscopy deep in the gastric foveolae and intracellularly. The scanning and transmission electron microscopic findings show bacteria which invade and damage gastric mucosal cells. These organisms are similar to the spiral shaped bacteria found in the stomachs of cats and dogs and non-human primates. In eight patients organisms were not detected after four weeks of treatment with bismuth salts. The disappearance of the organisms coincided with resolution of the chronic active gastritis and the symptoms.

摘要

在胃活检标本中对幽门螺杆菌进行密集的组织学检查时,发现了人类胃黏膜中的其他螺旋形细菌。报告了34例(87.2%)主诉上腹部不适患者的临床和形态学结果(占观察期内所有胃活检的0.25%)。5例(12.8%)患有慢性胃炎,34例(87.2%)患有慢性活动性胃炎。这些微生物在胃小凹深部和细胞内通过光学显微镜可见。扫描和透射电子显微镜检查结果显示,这些细菌会侵入并损害胃黏膜细胞。这些微生物与在猫、狗和非人类灵长类动物胃中发现的螺旋形细菌相似。8例患者在使用铋盐治疗四周后未检测到微生物。微生物的消失与慢性活动性胃炎及症状的缓解同时出现。

https://cdn.ncbi.nlm.nih.gov/pmc/blobs/31b7/1378794/32cac77c18f6/gut00583-0022-a.jpg
https://cdn.ncbi.nlm.nih.gov/pmc/blobs/31b7/1378794/04ecbd973dc1/gut00583-0019-a.jpg
https://cdn.ncbi.nlm.nih.gov/pmc/blobs/31b7/1378794/ea6217f7ba3e/gut00583-0020-a.jpg
https://cdn.ncbi.nlm.nih.gov/pmc/blobs/31b7/1378794/6b12eae10a11/gut00583-0021-a.jpg
https://cdn.ncbi.nlm.nih.gov/pmc/blobs/31b7/1378794/641fd958f134/gut00583-0021-b.jpg
https://cdn.ncbi.nlm.nih.gov/pmc/blobs/31b7/1378794/7a5a8035c345/gut00583-0021-c.jpg
https://cdn.ncbi.nlm.nih.gov/pmc/blobs/31b7/1378794/32cac77c18f6/gut00583-0022-a.jpg
https://cdn.ncbi.nlm.nih.gov/pmc/blobs/31b7/1378794/04ecbd973dc1/gut00583-0019-a.jpg
https://cdn.ncbi.nlm.nih.gov/pmc/blobs/31b7/1378794/ea6217f7ba3e/gut00583-0020-a.jpg
https://cdn.ncbi.nlm.nih.gov/pmc/blobs/31b7/1378794/6b12eae10a11/gut00583-0021-a.jpg
https://cdn.ncbi.nlm.nih.gov/pmc/blobs/31b7/1378794/641fd958f134/gut00583-0021-b.jpg
https://cdn.ncbi.nlm.nih.gov/pmc/blobs/31b7/1378794/7a5a8035c345/gut00583-0021-c.jpg
https://cdn.ncbi.nlm.nih.gov/pmc/blobs/31b7/1378794/32cac77c18f6/gut00583-0022-a.jpg

相似文献

1
Gastritis due to spiral shaped bacteria other than Helicobacter pylori: clinical, histological, and ultrastructural findings.除幽门螺杆菌外的螺旋形细菌所致胃炎:临床、组织学及超微结构研究结果
Gut. 1991 Feb;32(2):137-40. doi: 10.1136/gut.32.2.137.
2
Relation of Helicobacter pylori to the human gastric mucosa in chronic gastritis of the antrum.幽门螺杆菌与胃窦部慢性胃炎患者胃黏膜的关系。
Gut. 1990 Nov;31(11):1230-6. doi: 10.1136/gut.31.11.1230.
3
[Gastritis associated with Gastrospirillum hominis--a zoonosis?].[人胃螺杆菌相关性胃炎——一种人畜共患病?]
Schweiz Med Wochenschr. 1991 Feb 23;121(8):245-54.
4
A spiral microorganism in the stomach of pigs.猪胃中的一种螺旋形微生物。
Vet Microbiol. 1990 Aug;24(2):199-204. doi: 10.1016/0378-1135(90)90067-6.
5
[Human chronic gastritis associated with non-Helicobacter pylori spiral organisms (Gastrospirillum hominis). Four cases and review of the literature].
Gastroenterol Clin Biol. 1990;14(11):806-10.
6
Gastric injury and invasion of parietal cells by spiral bacteria in rhesus monkeys. Are gastritis and hyperchlorhydria infectious diseases?
Gastroenterology. 1991 Apr;100(4):884-91. doi: 10.1016/0016-5085(91)90260-r.
7
Gastritis associated with Gastrospirillum hominis in children. Comparison with Helicobacter pylori and review of the literature.儿童人胃螺杆菌相关性胃炎。与幽门螺杆菌的比较及文献综述。
Mod Pathol. 1993 Sep;6(5):513-5.
8
[Helicobacter heilmanni (Gastrospirillum hominis) as a new cause of gastritis--case report].[海氏螺杆菌(人胃螺杆菌)作为胃炎的新病因——病例报告]
Med Pregl. 1999 Jun-Aug;52(6-8):275-7.
9
Morphological study of the gastric antral mucosa colonized by campylobacter pylori.幽门弯曲菌定居的胃窦黏膜的形态学研究。
Ital J Gastroenterol. 1990 Feb;22(1):22-3.
10
Light microscopic and ultrastructural evidence of in vivo phagocytosis of Helicobacter pylori by neutrophils.中性粒细胞在体内对幽门螺杆菌进行吞噬作用的光镜和超微结构证据。
Ultrastruct Pathol. 2000 Sep-Oct;24(5):319-23. doi: 10.1080/019131200750035049.

引用本文的文献

1
Association of epithelial and subepithelial distribution detected by immunohistochemistry in gastric biopsies and clinical outcomes of patients receiving proton pump inhibitors.通过免疫组织化学检测胃活检中上皮和上皮下分布与接受质子泵抑制剂治疗患者临床结局的相关性。
Biomed Rep. 2025 May 29;23(2):127. doi: 10.3892/br.2025.2005. eCollection 2025 Aug.
2
Prospective Multicenter Surveillance of Non-H. pylori Helicobacter Infections during Medical Checkups, Japan.日本体检期间非幽门螺杆菌感染的前瞻性多中心监测
Emerg Infect Dis. 2025 Jun;31(6):1121-1130. doi: 10.3201/eid3106.241315.
3
Helicobacter heilmannii Infection With Concurrent Gastric Cancer: A Case Report.

本文引用的文献

1
Some observations concerning the presence of spirilla in the fundic glands of dogs and cats.关于犬猫胃底腺中螺旋菌存在情况的一些观察
Am J Vet Res. 1958 Jul;19(72):677-80.
2
Campylobacter pyloridis and gastritis: association with intercellular spaces and adaptation to an environment of mucus as important factors in colonization of the gastric epithelium.幽门弯曲杆菌与胃炎:细胞间隙关联及对黏液环境的适应作为胃上皮定植的重要因素
J Infect Dis. 1986 Apr;153(4):658-63. doi: 10.1093/infdis/153.4.658.
3
[Histological demonstration of Campylobacter-like organisms in stomach biopsy].
海氏螺杆菌感染并发胃癌:一例报告
Cureus. 2025 Feb 26;17(2):e79729. doi: 10.7759/cureus.79729. eCollection 2025 Feb.
4
Endoscopic features with linked-color imaging of non- Helicobacter-associated gastritis: a case study.非幽门螺杆菌相关性胃炎的内镜下联动成像特征:一项病例研究
VideoGIE. 2023 Oct 21;9(3):123-127. doi: 10.1016/j.vgie.2023.10.009. eCollection 2024 Mar.
5
Development of serological assays to identify and . infections.用于识别和……感染的血清学检测方法的开发。 你提供的原文中“and.”部分似乎不完整,请检查一下以便我能更准确翻译。
iScience. 2023 Mar 29;26(4):106522. doi: 10.1016/j.isci.2023.106522. eCollection 2023 Apr 21.
6
Effect of Acid Suppressants on Non- Helicobacters Within Parietal Cells.抑酸剂对壁细胞内非幽门螺杆菌的影响。
Front Pharmacol. 2022 Jul 22;13:692437. doi: 10.3389/fphar.2022.692437. eCollection 2022.
7
Gastric Helicobacter species associated with dogs, cats and pigs: significance for public and animal health.与犬、猫和猪相关的胃幽门螺旋杆菌种属:对公共卫生和动物健康的意义。
Vet Res. 2022 Jun 13;53(1):42. doi: 10.1186/s13567-022-01059-4.
8
Non-Helicobacter pylori Helicobacter (NHPH) positive gastric cancer.非幽门螺杆菌阳性的胃癌。
Sci Rep. 2022 Mar 21;12(1):4811. doi: 10.1038/s41598-022-08962-y.
9
Current Status of the Spectrum and Therapeutics of -Negative Mucosa-Associated Lymphoid Tissue Lymphoma.阴性黏膜相关淋巴组织淋巴瘤的谱系与治疗现状
Cancers (Basel). 2022 Feb 16;14(4):1005. doi: 10.3390/cancers14041005.
10
Mucosa-Associated Lymphoid Tissue (MALT) Lymphoma in the Gastrointestinal Tract in the Modern Era.现代胃肠道黏膜相关淋巴组织(MALT)淋巴瘤
Cancers (Basel). 2022 Jan 17;14(2):446. doi: 10.3390/cancers14020446.
[胃活检中弯曲杆菌样微生物的组织学证明]
Dtsch Med Wochenschr. 1987 May 22;112(21):861-2.
4
[Spirochete-like bacteria in the human gastric mucosa].[人类胃黏膜中的螺旋体样细菌]
Dtsch Med Wochenschr. 1988 Aug 19;113(33):1298-9.
5
Isolation of a spiral-shaped bacterium from the cat stomach.从猫胃中分离出一种螺旋形细菌。
Infect Immun. 1988 Nov;56(11):2843-50. doi: 10.1128/iai.56.11.2843-2850.1988.
6
Tightly spiral shaped bacteria in gastric antrum: are they urease positive?胃窦部紧密螺旋状细菌:它们尿素酶呈阳性吗?
J Clin Pathol. 1989 Feb;42(2):216. doi: 10.1136/jcp.42.2.216-a.
7
Origin of spiral organisms in human gastric antrum.
Lancet. 1988 Feb 6;1(8580):300-1. doi: 10.1016/s0140-6736(88)90382-0.
8
Spiral organisms in the gastric antrum.
Lancet. 1987 Jul 11;2(8550):96. doi: 10.1016/s0140-6736(87)92754-1.
9
[Urine enzymes and low molecular weight proteins as indicators of diabetic nephropathy].[尿酶和低分子量蛋白质作为糖尿病肾病的指标]
Klin Wochenschr. 1989;67 Suppl 17:27-30.
10
New spiral bacterium in gastric mucosa.胃黏膜中的新型螺旋菌。
J Clin Pathol. 1989 Jun;42(6):585-91. doi: 10.1136/jcp.42.6.585.