• 文献检索
  • 文档翻译
  • 深度研究
  • 学术资讯
  • Suppr Zotero 插件Zotero 插件
  • 邀请有礼
  • 套餐&价格
  • 历史记录
应用&插件
Suppr Zotero 插件Zotero 插件浏览器插件Mac 客户端Windows 客户端微信小程序
定价
高级版会员购买积分包购买API积分包
服务
文献检索文档翻译深度研究API 文档MCP 服务
关于我们
关于 Suppr公司介绍联系我们用户协议隐私条款
关注我们

Suppr 超能文献

核心技术专利:CN118964589B侵权必究
粤ICP备2023148730 号-1Suppr @ 2026

文献检索

告别复杂PubMed语法,用中文像聊天一样搜索,搜遍4000万医学文献。AI智能推荐,让科研检索更轻松。

立即免费搜索

文件翻译

保留排版,准确专业,支持PDF/Word/PPT等文件格式,支持 12+语言互译。

免费翻译文档

深度研究

AI帮你快速写综述,25分钟生成高质量综述,智能提取关键信息,辅助科研写作。

立即免费体验

纵隔囊状水瘤产前及产后诊断中的挑战:一例报告

Challenges in the prenatal and post-natal diagnosis of mediastinal cystic hygroma: a case report.

作者信息

Nazir Sarfraz Ahmed, Raza Syed Arsalan, Nazir Sheraz, Sherwood William, Bowker Colene, Lakhoo Kokila

机构信息

Department of Radiology, John Radcliffe Hospital, Oxford, UK.

出版信息

J Med Case Rep. 2008 Aug 1;2:256. doi: 10.1186/1752-1947-2-256.

DOI:10.1186/1752-1947-2-256
PMID:18673546
原文链接:https://pmc.ncbi.nlm.nih.gov/articles/PMC2518156/
Abstract

INTRODUCTION

Cystic hygroma is a benign congenital neoplasm that mostly presents as a soft-tissue mass in the posterior triangle of the neck. Pure mediastinal lesions are uncommon; the vast majority are asymptomatic and are an incidental finding in adulthood. The diagnosis is often made intra- or postoperatively. Prenatal identification is exceptional and post-natal diagnosis also proves challenging.

CASE PRESENTATION

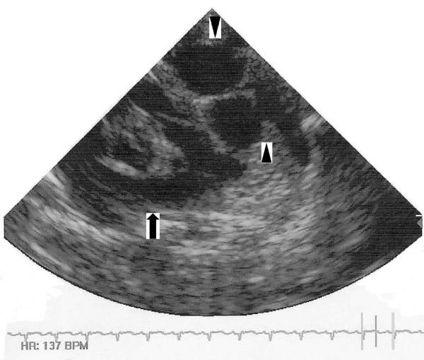
We report one such case that was mistaken for other entities in both the prenatal and immediate post-natal period. Initial and follow-up antenatal ultrasound scans demonstrated a multicystic lesion in the left chest, and the mother was counselled about the possibility of her baby having a congenital diaphragmatic hernia. Initial post-natal chest radiographs were reported as normal. An echocardiogram and thoracic computed tomography scan confirmed a complex multiloculated cystic mediastinal mass. The working diagnoses were of a mediastinal teratoma or congenital cystic adenomatous malformation. At operation, the lesion was compressed by the left lung and was found to be close to the left phrenic nerve, which was carefully identified and preserved. After excision, histopathological examination of the mass confirmed the diagnosis of cystic hygroma. Postoperative dyspnoea was observed secondary to paradoxical movement of the left hemidiaphragm and probable left phrenic neuropraxia. This settled conservatively with excellent recovery.

CONCLUSION

Despite the fact that isolated intrathoracic cystic hygroma is a rare entity, it needs to be considered in the differential diagnosis of foetal and neonatal mediastinal masses, particularly for juxtadiaphragmatic lesions. The phrenic nerve is not identifiable on prenatal ultrasound imaging, and it is therefore understandable that a mass close to the diaphragm may be mistaken for a congenital diaphragmatic hernia because of the location, morphology and potential phrenic nerve compression. Post-natal diagnosis may also be misleading as many mediastinal cystic masses have similar appearances on imaging. Therefore, as well as cystic architecture, special consideration needs to be given to the anatomical location and effect on local structures.

摘要

引言

囊状水瘤是一种良性先天性肿瘤,多表现为颈部后三角区的软组织肿块。单纯纵隔病变并不常见;绝大多数无症状,在成年期偶然发现。诊断通常在术中或术后做出。产前识别极为罕见,产后诊断也颇具挑战性。

病例报告

我们报告了这样一例在产前及产后即刻均被误诊为其他疾病的病例。初次及后续产前超声检查显示左胸有一多房性病变,医生告知母亲其婴儿可能患有先天性膈疝。产后初次胸部X线片报告正常。超声心动图和胸部计算机断层扫描证实为复杂的多房性纵隔囊性肿块。初步诊断为纵隔畸胎瘤或先天性囊性腺瘤样畸形。手术中,病变被左肺压迫,发现其靠近左膈神经,遂小心识别并予以保留。切除后,肿块的组织病理学检查确诊为囊状水瘤。术后观察到因左半膈矛盾运动及可能的左膈神经失用导致呼吸困难。经保守治疗后症状缓解,恢复良好。

结论

尽管孤立性胸腔内囊状水瘤是一种罕见疾病,但在胎儿及新生儿纵隔肿块的鉴别诊断中仍需考虑,尤其是对于膈旁病变。产前超声成像无法识别膈神经,因此,由于位置、形态及可能的膈神经受压,靠近膈肌的肿块可能被误诊为先天性膈疝也就不难理解了。产后诊断也可能产生误导,因为许多纵隔囊性肿块在影像学上有相似表现。因此,除了囊性结构外,还需特别考虑解剖位置及对局部结构的影响。

https://cdn.ncbi.nlm.nih.gov/pmc/blobs/ea36/2518156/24d935dbc295/1752-1947-2-256-3.jpg
https://cdn.ncbi.nlm.nih.gov/pmc/blobs/ea36/2518156/4e7360866066/1752-1947-2-256-1.jpg
https://cdn.ncbi.nlm.nih.gov/pmc/blobs/ea36/2518156/c1a5d3a32d5a/1752-1947-2-256-2.jpg
https://cdn.ncbi.nlm.nih.gov/pmc/blobs/ea36/2518156/24d935dbc295/1752-1947-2-256-3.jpg
https://cdn.ncbi.nlm.nih.gov/pmc/blobs/ea36/2518156/4e7360866066/1752-1947-2-256-1.jpg
https://cdn.ncbi.nlm.nih.gov/pmc/blobs/ea36/2518156/c1a5d3a32d5a/1752-1947-2-256-2.jpg
https://cdn.ncbi.nlm.nih.gov/pmc/blobs/ea36/2518156/24d935dbc295/1752-1947-2-256-3.jpg

相似文献

1
Challenges in the prenatal and post-natal diagnosis of mediastinal cystic hygroma: a case report.纵隔囊状水瘤产前及产后诊断中的挑战:一例报告
J Med Case Rep. 2008 Aug 1;2:256. doi: 10.1186/1752-1947-2-256.
2
Intrathoracic extra-mediastinal cystic hygroma in infancy.婴儿期胸内纵隔外囊状水瘤
Acta Paediatr. 1994 Oct;83(10):1111-2. doi: 10.1111/j.1651-2227.1994.tb12999.x.
3
Adult-onset cystic hygroma: A case report of rare entity.成人期囊状水瘤:罕见病例报告
Indian J Dent. 2016 Jan-Mar;7(1):51-4. doi: 10.4103/0975-962X.179374.
4
Cystic hygroma and potential airway obstruction in a newborn: a case report and review of the literature.新生儿颈部水囊瘤与潜在气道梗阻:一例病例报告及文献复习
Cases J. 2009 Jan 13;2(1):48. doi: 10.1186/1757-1626-2-48.
5
Prenatal diagnosis of Wolf-Hirschhorn syndrome (4p-) in association with congenital diaphragmatic hernia, cystic hygroma and IUGR.与先天性膈疝、囊状水瘤和胎儿宫内生长受限相关的Wolf-Hirschhorn综合征(4p-)的产前诊断。
Clin Exp Obstet Gynecol. 2006;33(2):105-6.
6
Congenital cystic adenomatoid malformation in the newborn: two case studies and review of the literature.新生儿先天性囊性腺瘤样畸形:两例病例研究及文献综述
Respir Care. 2000 Oct;45(10):1188-95.
7
Adult-onset giant cervical cystic hygroma with pressure manifestations on aerodigestive tract, managed surgically: reporting of a rare case.成人期巨大颈部囊状水瘤伴气道消化道受压表现,手术治疗:1例罕见病例报告
Ann R Coll Surg Engl. 2019 Mar;101(3):e84-e87. doi: 10.1308/rcsann.2018.0214. Epub 2019 Jan 3.
8
Intrathoracic cystic hygroma: a report of three cases.胸腔内囊状水瘤:三例报告
J Pediatr Surg. 1996 Oct;31(10):1430-2. doi: 10.1016/s0022-3468(96)90847-7.
9
Respiratory difficulty caused by an ectopic brain tissue mass in the neck of a two-month-old baby: a case report.两个月大婴儿颈部异位脑组织肿块导致的呼吸困难:一例报告
J Med Case Rep. 2011 Jun 8;5:220. doi: 10.1186/1752-1947-5-220.
10
A case of mediastinal cystic hygroma whose only symptom was hoarseness.一例仅以声音嘶哑为唯一症状的纵隔囊状水瘤。
J Pediatr Surg. 1998 Apr;33(4):642-3. doi: 10.1016/s0022-3468(98)90334-7.

引用本文的文献

1
Atypical mediastinal mass in the fetus: a review of the literature.胎儿非典型纵隔肿块:文献综述
Arch Gynecol Obstet. 2025 Feb;311(2):203-212. doi: 10.1007/s00404-024-07921-4. Epub 2025 Jan 15.
2
Intrathoracic cystic hygroma with sudden respiratory distress mimicking pneumonia.伴有酷似肺炎的突发呼吸窘迫的胸腔内囊状水瘤
Indian J Crit Care Med. 2012 Jul;16(3):154-6. doi: 10.4103/0972-5229.102088.

本文引用的文献

1
MRI of fetal genitourinary anomalies.胎儿泌尿生殖系统异常的磁共振成像
AJR Am J Roentgenol. 2003 Nov;181(5):1381-5. doi: 10.2214/ajr.181.5.1811381.
2
Giant cystic lymphangioma of the mediastinum.纵隔巨大囊性淋巴管瘤
Eur J Cardiothorac Surg. 2002 Feb;21(2):340. doi: 10.1016/s1010-7940(01)01096-x.
3
Thoracic lymphangioma in adults: CT and MR imaging features.成人胸段淋巴管瘤:CT与MR成像特征
AJR Am J Roentgenol. 1994 Feb;162(2):283-9. doi: 10.2214/ajr.162.2.8310910.
4
Cystic lymphangioma of the mediastinum.纵隔囊性淋巴管瘤
Am Heart J. 1995 Feb;129(2):406-9. doi: 10.1016/0002-8703(95)90027-6.
5
CT evaluation of cystic lymphangiomas of the mediastinum.纵隔囊性淋巴管瘤的CT评估
Radiology. 1982 Sep;144(4):841-2. doi: 10.1148/radiology.144.4.7111735.
6
Intrathoracic extramediastinal cystic hygroma.胸内纵隔外囊状水瘤
Arch Dis Child. 1984 Jan;59(1):75-7. doi: 10.1136/adc.59.1.75.
7
Chest wall tumors.
Radiol Clin North Am. 1973 Apr;11(1):197-214.
8
Mediastinal cystic hygromas: CT characteristics and pathogenetic consideration.纵隔囊性淋巴管瘤:CT特征及发病机制探讨
J Comput Assist Tomogr. 1985 Mar-Apr;9(2):297-301.
9
Lymphangiomas in children: MR imaging.儿童淋巴管瘤:磁共振成像
Radiology. 1989 Feb;170(2):467-70. doi: 10.1148/radiology.170.2.2911671.
10
Cervical, cervicomediastinal and intrathoracic lymphangioma.颈部、颈纵隔及胸内淋巴管瘤。
Prog Pediatr Surg. 1991;27:62-83. doi: 10.1007/978-3-642-87767-4_5.