• 文献检索
  • 文档翻译
  • 深度研究
  • 学术资讯
  • Suppr Zotero 插件Zotero 插件
  • 邀请有礼
  • 套餐&价格
  • 历史记录
应用&插件
Suppr Zotero 插件Zotero 插件浏览器插件Mac 客户端Windows 客户端微信小程序
定价
高级版会员购买积分包购买API积分包
服务
文献检索文档翻译深度研究API 文档MCP 服务
关于我们
关于 Suppr公司介绍联系我们用户协议隐私条款
关注我们

Suppr 超能文献

核心技术专利:CN118964589B侵权必究
粤ICP备2023148730 号-1Suppr @ 2026

文献检索

告别复杂PubMed语法,用中文像聊天一样搜索,搜遍4000万医学文献。AI智能推荐,让科研检索更轻松。

立即免费搜索

文件翻译

保留排版,准确专业,支持PDF/Word/PPT等文件格式,支持 12+语言互译。

免费翻译文档

深度研究

AI帮你快速写综述,25分钟生成高质量综述,智能提取关键信息,辅助科研写作。

立即免费体验

中间型链球菌致感染性心内膜炎及脓肿:3例报告并文献复习

Streptococcus intermedius causing infective endocarditis and abscesses: a report of three cases and review of the literature.

作者信息

Tran MaryAnn P, Caldwell-McMillan Molly, Khalife Walid, Young Vincent B

机构信息

Department of Medicine, Infectious Diseases Division, Michigan State University, East Lansing, Michigan, USA.

出版信息

BMC Infect Dis. 2008 Nov 10;8:154. doi: 10.1186/1471-2334-8-154.

DOI:10.1186/1471-2334-8-154
PMID:18992173
原文链接:https://pmc.ncbi.nlm.nih.gov/articles/PMC2600825/
Abstract

BACKGROUND

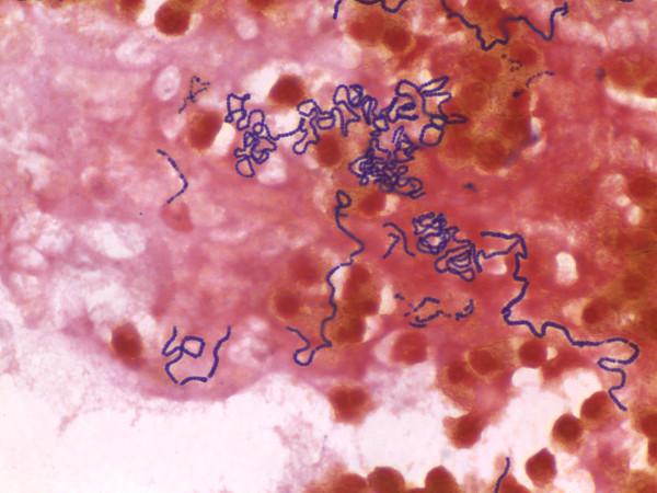
Streptococcus intermedius is a member of the Streptococcus anginosus group. Clinical disease with S. intermedius is characterized by abscess formation and rarely endocarditis. Identification of Streptococcus intermedius is difficult, leading to the development of molecular methods to more accurately identify and characterize this organism.

CASE PRESENTATION

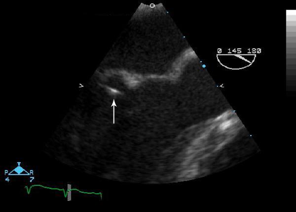
Over a period of 6 months we encountered three cases of invasive Streptococcus intermedius infection presenting as hepatic abscesses, brain abscess, and endocarditis. We confirmed our microbiologic diagnosis through 16S sequencing and found a common virulence gene in each case.

CONCLUSION

Our report illustrates three different clinical manifestations due to Streptococcus intermedius infection that can be encountered in healthy individuals in a community hospital setting. To our knowledge, this is the first case of Streptococcus intermedius endocarditis confirmed by 16S sequencing analysis. The use of molecular methods may allow a better understanding of the epidemiology and pathogenesis of this organism.

摘要

背景

中间型链球菌是咽峡炎链球菌群的成员。中间型链球菌引起的临床疾病以脓肿形成为特征,很少导致心内膜炎。中间型链球菌的鉴定较为困难,因此开发了分子方法以更准确地鉴定和表征这种微生物。

病例报告

在6个月的时间里,我们遇到了3例侵袭性中间型链球菌感染病例,分别表现为肝脓肿、脑脓肿和心内膜炎。我们通过16S测序证实了微生物学诊断,并在每个病例中发现了一个共同的毒力基因。

结论

我们的报告阐述了社区医院环境中健康个体可能遇到的由中间型链球菌感染引起的三种不同临床表现。据我们所知,这是首例通过16S测序分析确诊的中间型链球菌心内膜炎病例。分子方法的应用可能有助于更好地了解这种微生物的流行病学和发病机制。

https://cdn.ncbi.nlm.nih.gov/pmc/blobs/13a9/2600825/7ae30f4ecc74/1471-2334-8-154-3.jpg
https://cdn.ncbi.nlm.nih.gov/pmc/blobs/13a9/2600825/7e13639e845e/1471-2334-8-154-1.jpg
https://cdn.ncbi.nlm.nih.gov/pmc/blobs/13a9/2600825/a3c91c63156d/1471-2334-8-154-2.jpg
https://cdn.ncbi.nlm.nih.gov/pmc/blobs/13a9/2600825/7ae30f4ecc74/1471-2334-8-154-3.jpg
https://cdn.ncbi.nlm.nih.gov/pmc/blobs/13a9/2600825/7e13639e845e/1471-2334-8-154-1.jpg
https://cdn.ncbi.nlm.nih.gov/pmc/blobs/13a9/2600825/a3c91c63156d/1471-2334-8-154-2.jpg
https://cdn.ncbi.nlm.nih.gov/pmc/blobs/13a9/2600825/7ae30f4ecc74/1471-2334-8-154-3.jpg

相似文献

1
Streptococcus intermedius causing infective endocarditis and abscesses: a report of three cases and review of the literature.中间型链球菌致感染性心内膜炎及脓肿:3例报告并文献复习
BMC Infect Dis. 2008 Nov 10;8:154. doi: 10.1186/1471-2334-8-154.
2
"Streptococcus milleri" endocarditis caused by Streptococcus anginosus.由咽峡炎链球菌引起的米勒链球菌心内膜炎。
Diagn Microbiol Infect Dis. 2004 Feb;48(2):81-8. doi: 10.1016/j.diagmicrobio.2003.09.011.
3
Streptococcus intermedius, Streptococcus constellatus, and Streptococcus anginosus ("Streptococcus milleri group") are of different clinical importance and are not equally associated with abscess.中间型链球菌、星座链球菌和咽峡炎链球菌(“米勒链球菌组”)具有不同的临床重要性,且与脓肿的关联程度并不相同。
Clin Infect Dis. 2001 May 15;32(10):1511-5. doi: 10.1086/320163. Epub 2001 Apr 20.
4
[Streptococcus intermedius: a rare cause of brain abscess in children].[中间型链球菌:儿童脑脓肿的罕见病因]
Arch Pediatr. 2013 Mar;20(3):282-5. doi: 10.1016/j.arcped.2013.01.002. Epub 2013 Jan 30.
5
Identification of the anginosus group within the genus Streptococcus using polymerase chain reaction.利用聚合酶链反应鉴定链球菌属内的咽峡炎菌群
FEMS Microbiol Lett. 2004 Apr 1;233(1):83-9. doi: 10.1016/j.femsle.2004.01.042.
6
[A case of culture-negative brain abscess caused by Streptococcus intermedius infection diagnosed by broad-range PCR of 16S ribosomal RNA].[16S核糖体RNA广谱聚合酶链反应诊断中间型链球菌感染所致培养阴性脑脓肿1例]
Brain Nerve. 2013 Oct;65(10):1199-203.
7
Case report: brain and liver abscesses caused by oral infection with Streptococcus intermedius.病例报告:口腔感染中间型链球菌导致脑和肝脓肿
Oral Surg Oral Med Oral Pathol Oral Radiol Endod. 2006 Oct;102(4):e21-3. doi: 10.1016/j.tripleo.2006.02.010. Epub 2006 Aug 10.
8
endocarditis and multiple liver abscesses in a splenectomised patient.一名脾切除患者发生心内膜炎和多发性肝脓肿。
BMJ Case Rep. 2018 Apr 27;2018:bcr-2018-224266. doi: 10.1136/bcr-2018-224266.
9
A novel Streptococcus organism identified in a case of fulminant endocarditis using 16S rDNA sequencing.在一例暴发性心内膜炎病例中,通过16S rDNA测序鉴定出一种新型链球菌。
J Mol Diagn. 2004 May;6(2):145-8. doi: 10.1016/S1525-1578(10)60503-X.
10
Culture-negative brain abscess with Streptococcus intermedius infection with diagnosis established by direct nucleotide sequence analysis of the 16s ribosomal RNA gene.通过对16S核糖体RNA基因进行直接核苷酸序列分析确诊的中间型链球菌感染所致培养阴性脑脓肿
Intern Med. 2012;51(2):211-6. doi: 10.2169/internalmedicine.51.6419. Epub 2012 Jan 15.

引用本文的文献

1
Use of Cell-Free DNA Testing to Diagnose Infective Endocarditis in a Patient With Negative Blood Cultures.使用游离DNA检测诊断血培养阴性患者的感染性心内膜炎。
Cureus. 2024 Oct 23;16(10):e72191. doi: 10.7759/cureus.72191. eCollection 2024 Oct.
2
Brain Abscess due to after Spontaneous Esophageal Perforation in an Adolescent.一名青少年自发性食管穿孔后发生脑脓肿。
Case Rep Pediatr. 2024 May 9;2024:5593403. doi: 10.1155/2024/5593403. eCollection 2024.
3
Oral streptococci and induce distinct morphological, inflammatory, and metabolic signatures in macrophages.

本文引用的文献

1
'Streptococcus milleri' aortic valve endocarditis and hepatic abscess.米勒链球菌性主动脉瓣心内膜炎与肝脓肿
J Med Microbiol. 2007 Feb;56(Pt 2):280-282. doi: 10.1099/jmm.0.46781-0.
2
Retrospective analysis of 49 cases of brain abscess and review of the literature.49例脑脓肿的回顾性分析及文献复习
Eur J Clin Microbiol Infect Dis. 2007 Jan;26(1):1-11. doi: 10.1007/s10096-006-0236-6.
3
Case report: brain and liver abscesses caused by oral infection with Streptococcus intermedius.病例报告:口腔感染中间型链球菌导致脑和肝脓肿
口腔链球菌并在巨噬细胞中诱导出不同的形态、炎症和代谢特征。
Infect Immun. 2024 Mar 12;92(3):e0053623. doi: 10.1128/iai.00536-23. Epub 2024 Jan 30.
4
Brain Abscess with Lung Abscess and Aortic Valve Endocarditis: A Case Report and Literature Review.脑脓肿合并肺脓肿及主动脉瓣心内膜炎:一例报告及文献综述
Infect Dis Rep. 2023 Aug 11;15(4):445-453. doi: 10.3390/idr15040045.
5
Clinical features of infection in children: a case series study.儿童感染的临床特征:一项病例系列研究。
Front Microbiol. 2023 Aug 7;14:1207490. doi: 10.3389/fmicb.2023.1207490. eCollection 2023.
6
Osteomyelitis caused by Streptococcus intermedius in immunocompetent adults - a case report and systematic literature review.免疫功能正常成年人中间链球菌引起的骨髓炎-病例报告和系统文献复习。
Eur J Clin Microbiol Infect Dis. 2023 Sep;42(9):1055-1061. doi: 10.1007/s10096-023-04640-7. Epub 2023 Jul 20.
7
A case report of multiple abscesses caused by .由……引起的多发性脓肿病例报告。 (你提供的原文“A case report of multiple abscesses caused by.”后面似乎缺失了具体病因相关内容)
Clin Case Rep. 2023 Jan 16;11(1):e6813. doi: 10.1002/ccr3.6813. eCollection 2023 Jan.
8
Lung abscess due to associated with SARS CoV-2 infection in pregnancy: Unusual presentation and complication of a commensal bacteria during pregnancy.妊娠期间与严重急性呼吸综合征冠状病毒2感染相关的肺脓肿:妊娠期共生细菌的异常表现及并发症
Clin Case Rep. 2023 Jan 3;11(1):e6763. doi: 10.1002/ccr3.6763. eCollection 2023 Jan.
9
An isolated pulmonary nodule secondary to infection in an otherwise healthy 10-year-old boy: A case report and literature review.一名原本健康的10岁男孩因感染继发孤立性肺结节:病例报告及文献复习
Front Pediatr. 2022 Sep 7;10:921258. doi: 10.3389/fped.2022.921258. eCollection 2022.
10
Distribution, Diversity and Roles of CRISPR-Cas Systems in Human and Animal Pathogenic Streptococci.CRISPR-Cas系统在人和动物致病性链球菌中的分布、多样性及作用
Front Microbiol. 2022 Jan 31;13:828031. doi: 10.3389/fmicb.2022.828031. eCollection 2022.
Oral Surg Oral Med Oral Pathol Oral Radiol Endod. 2006 Oct;102(4):e21-3. doi: 10.1016/j.tripleo.2006.02.010. Epub 2006 Aug 10.
4
Management of patients with Streptococcus milleri brain abscesses.米勒链球菌脑脓肿患者的管理
J Infect. 2006 Jun;52(6):443-50. doi: 10.1016/j.jinf.2005.08.028. Epub 2005 Oct 18.
5
Identification of the anginosus group within the genus Streptococcus using polymerase chain reaction.利用聚合酶链反应鉴定链球菌属内的咽峡炎菌群
FEMS Microbiol Lett. 2004 Apr 1;233(1):83-9. doi: 10.1016/j.femsle.2004.01.042.
6
"Streptococcus milleri" endocarditis caused by Streptococcus anginosus.由咽峡炎链球菌引起的米勒链球菌心内膜炎。
Diagn Microbiol Infect Dis. 2004 Feb;48(2):81-8. doi: 10.1016/j.diagmicrobio.2003.09.011.
7
A twelve-year review of central nervous system bacterial abscesses; presentation and aetiology.中枢神经系统细菌性脓肿的十二年回顾:临床表现与病因学
Clin Microbiol Infect. 2003 Aug;9(8):803-9. doi: 10.1046/j.1469-0691.2003.00651.x.
8
Brain abscess: clinical analysis of 53 cases.脑脓肿:53例临床分析
J Microbiol Immunol Infect. 2003 Jun;36(2):129-36.
9
Comparison between adult endocarditis due to beta-hemolytic streptococci (serogroups A, B, C, and G) and Streptococcus milleri: a multicenter study in France.β溶血性链球菌(A、B、C和G血清群)所致成人感染性心内膜炎与米勒链球菌的比较:法国一项多中心研究
Arch Intern Med. 2002 Nov 25;162(21):2450-6. doi: 10.1001/archinte.162.21.2450.
10
Rapid identification of Streptococcus intermedius by PCR with the ily gene as a species marker gene.以ily基因作为种属标记基因,通过聚合酶链反应快速鉴定中间型链球菌。
J Med Microbiol. 2002 Feb;51(2):178-186. doi: 10.1099/0022-1317-51-2-178.