Barbetakis Nikolaos, Samanidis Georgios, Paliouras Dimitrios, Samanidou Elpida, Tzimorota Zoi, Asteriou Christos, Xirou Persefoni, Tsilikas Christodoulos
Thoracic Surgery Department, Theagenio Cancer Hospital, A, Simeonidi, Thessaloniki, 54007, Greece.
J Med Case Rep. 2009 Jan 29;3:32. doi: 10.1186/1752-1947-3-32.
Cutaneous metastases in the facial region occur in less than 0.5% of patients with metastatic cancer. They are an important finding and are not often the first sign leading to diagnosis.
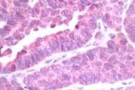
We describe the case of a 64-year-old male patient who presented with dyspnea, pleuritic pain, loss of weight and a nodule on his left cheek. A chest X-ray revealed a left upper lobe mass with mediastinal lymphadenopathy. Excision biopsy of the facial nodule revealed small-cell lung carcinoma. Palliative chemo-radiotherapy was administered and the patient survived for 12 months.
A high index of suspicion is necessary for the early detection of facial cutaneous metastases. Appropriate treatment may prolong patient survival.
面部皮肤转移瘤在转移性癌症患者中的发生率低于0.5%。它们是一项重要发现,且并不常是导致诊断的首个体征。
我们描述了一名64岁男性患者的病例,该患者出现呼吸困难、胸膜炎性胸痛、体重减轻以及左侧脸颊有一个结节。胸部X线检查显示左上叶肿块伴纵隔淋巴结肿大。对面部结节进行切除活检显示为小细胞肺癌。给予姑息性放化疗,患者存活了12个月。
对面部皮肤转移瘤的早期检测需要高度的怀疑指数。适当的治疗可能延长患者生存期。