• 文献检索
  • 文档翻译
  • 深度研究
  • 学术资讯
  • Suppr Zotero 插件Zotero 插件
  • 邀请有礼
  • 套餐&价格
  • 历史记录
应用&插件
Suppr Zotero 插件Zotero 插件浏览器插件Mac 客户端Windows 客户端微信小程序
定价
高级版会员购买积分包购买API积分包
服务
文献检索文档翻译深度研究API 文档MCP 服务
关于我们
关于 Suppr公司介绍联系我们用户协议隐私条款
关注我们

Suppr 超能文献

核心技术专利:CN118964589B侵权必究
粤ICP备2023148730 号-1Suppr @ 2026

文献检索

告别复杂PubMed语法,用中文像聊天一样搜索,搜遍4000万医学文献。AI智能推荐,让科研检索更轻松。

立即免费搜索

文件翻译

保留排版,准确专业,支持PDF/Word/PPT等文件格式,支持 12+语言互译。

免费翻译文档

深度研究

AI帮你快速写综述,25分钟生成高质量综述,智能提取关键信息,辅助科研写作。

立即免费体验

隐源性机化性肺炎的临床谱

Clinical spectrum of cryptogenic organising pneumonitis.

作者信息

Bellomo R, Finlay M, McLaughlin P, Tai E

机构信息

Department of Respiratory Medicine, Monash Medical Centre, Melbourne, Victoria, Australia.

出版信息

Thorax. 1991 Aug;46(8):554-8. doi: 10.1136/thx.46.8.554.

DOI:10.1136/thx.46.8.554
PMID:1926023
原文链接:https://pmc.ncbi.nlm.nih.gov/articles/PMC463271/
Abstract

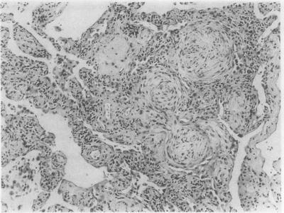
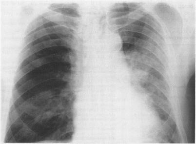
Cryptogenic organising pneumonitis (bronchiolitis obliterans organising pneumonia) is an uncommon condition that often responds to steroids. It is characterised clinically by constitutional symptoms, pathologically by intra-alveolar organising fibrosis, and radiologically by patchy pulmonary infiltrates. Its full clinical spectrum and course are only partially described and understood. Six patients are described, seen over three years, with considerably diverse clinical and radiological presentations (two had diffuse lung infiltrates, two had peripheral lung infiltrates, and two had localised lobar involvement) and with very varying severity of disease (two with a life threatening illness, three with appreciable subacute constitutional symptoms, and one with mild symptoms). It is concluded that cryptogenic organising pneumonitis can present in various ways. A set of diagnostic criteria are proposed which will help in the recognition of this syndrome, which is probably underdiagnosed.

摘要

隐源性机化性肺炎(闭塞性细支气管炎机化性肺炎)是一种不常见的疾病,通常对类固醇治疗有反应。其临床特征为全身症状,病理特征为肺泡内机化性纤维化,放射学特征为斑片状肺部浸润。其完整的临床谱和病程仅得到部分描述和了解。本文描述了6例患者,这些患者在3年期间就诊,临床表现和放射学表现差异很大(2例有弥漫性肺部浸润,2例有外周肺部浸润,2例有局限性肺叶受累),疾病严重程度也非常不同(2例患有危及生命的疾病,3例有明显的亚急性全身症状,1例有轻度症状)。得出的结论是,隐源性机化性肺炎可以有多种表现形式。提出了一套诊断标准,这将有助于识别这种可能诊断不足的综合征。

https://cdn.ncbi.nlm.nih.gov/pmc/blobs/3b1d/463271/160c331fbbcf/thorax00356-0014-a.jpg
https://cdn.ncbi.nlm.nih.gov/pmc/blobs/3b1d/463271/5bae81141439/thorax00356-0012-a.jpg
https://cdn.ncbi.nlm.nih.gov/pmc/blobs/3b1d/463271/2aa0a2e765d8/thorax00356-0012-b.jpg
https://cdn.ncbi.nlm.nih.gov/pmc/blobs/3b1d/463271/88aa2796f164/thorax00356-0012-c.jpg
https://cdn.ncbi.nlm.nih.gov/pmc/blobs/3b1d/463271/b67e125d49b5/thorax00356-0013-a.jpg
https://cdn.ncbi.nlm.nih.gov/pmc/blobs/3b1d/463271/73e8282e5626/thorax00356-0013-b.jpg
https://cdn.ncbi.nlm.nih.gov/pmc/blobs/3b1d/463271/6a648ea637cd/thorax00356-0013-c.jpg
https://cdn.ncbi.nlm.nih.gov/pmc/blobs/3b1d/463271/160c331fbbcf/thorax00356-0014-a.jpg
https://cdn.ncbi.nlm.nih.gov/pmc/blobs/3b1d/463271/5bae81141439/thorax00356-0012-a.jpg
https://cdn.ncbi.nlm.nih.gov/pmc/blobs/3b1d/463271/2aa0a2e765d8/thorax00356-0012-b.jpg
https://cdn.ncbi.nlm.nih.gov/pmc/blobs/3b1d/463271/88aa2796f164/thorax00356-0012-c.jpg
https://cdn.ncbi.nlm.nih.gov/pmc/blobs/3b1d/463271/b67e125d49b5/thorax00356-0013-a.jpg
https://cdn.ncbi.nlm.nih.gov/pmc/blobs/3b1d/463271/73e8282e5626/thorax00356-0013-b.jpg
https://cdn.ncbi.nlm.nih.gov/pmc/blobs/3b1d/463271/6a648ea637cd/thorax00356-0013-c.jpg
https://cdn.ncbi.nlm.nih.gov/pmc/blobs/3b1d/463271/160c331fbbcf/thorax00356-0014-a.jpg

相似文献

1
Clinical spectrum of cryptogenic organising pneumonitis.隐源性机化性肺炎的临床谱
Thorax. 1991 Aug;46(8):554-8. doi: 10.1136/thx.46.8.554.
2
Rheumatoid arthritis and cryptogenic organising pneumonitis.类风湿关节炎与隐源性机化性肺炎。
Respir Med. 1991 May;85(3):243-6. doi: 10.1016/s0954-6111(06)80088-0.
3
Bronchiolitis obliterans organising pneumonia in a patient with ulcerative colitis.一名溃疡性结肠炎患者并发闭塞性细支气管炎并机化性肺炎。
Thorax. 1988 Sep;43(9):735-6. doi: 10.1136/thx.43.9.735.
4
Bronchiolitis obliterans organizing pneumonia: the clinical and radiological features of seven cases and a review of the literature.
Clin Radiol. 1992 Jun;45(6):371-7. doi: 10.1016/s0009-9260(05)80993-6.
5
Bronchiolitis obliterans organizing pneumonia. Cause of dyspnea and bilateral lung infiltrates in an adult Chinese patient.
Chin Med J (Engl). 1993 Mar;106(3):228-32.
6
[Bronchiolitis obliterans organizing pneumonia].[闭塞性细支气管炎并机化性肺炎]
Harefuah. 1994 Mar 1;126(5):255-7, 303.
7
Bronchiolitis obliterans organising pneumonia: a clinical and radiological review.闭塞性细支气管炎伴机化性肺炎:临床与影像学综述
Aust N Z J Med. 1995 Apr;25(2):140-5. doi: 10.1111/j.1445-5994.1995.tb02826.x.
8
Cryptogenic organizing pneumonia with atypical histopathological features.
Australas Radiol. 1994 Feb;38(1):41-5. doi: 10.1111/j.1440-1673.1994.tb00123.x.
9
Bronchiolitis obliterans organizing pneumonia and rheumatoid arthritis.闭塞性细支气管炎伴机化性肺炎与类风湿关节炎。
Eur Respir J. 1991 Jul;4(7):905-11.
10
Bronchiolitis obliterans organizing pneumonia with migratory pulmonary infiltrates.
AJR Am J Roentgenol. 1992 Mar;158(3):515-7. doi: 10.2214/ajr.158.3.1738986.

引用本文的文献

1
Scleroderma Associated With Organising Pneumonia and Polyarthritis: A Report of a Rare Case.硬皮病合并机化性肺炎和多关节炎:1例罕见病例报告
Cureus. 2024 Jan 24;16(1):e52886. doi: 10.7759/cureus.52886. eCollection 2024 Jan.
2
Cryptogenic organizing pneumonia-Results of treatment with clarithromycin versus corticosteroids-Observational study.隐源性机化性肺炎——克拉霉素与皮质类固醇治疗结果——观察性研究
PLoS One. 2017 Sep 25;12(9):e0184739. doi: 10.1371/journal.pone.0184739. eCollection 2017.
3
Interstitial lung disease: progress and problems.

本文引用的文献

1
Bronchiolitis obliterans organizing pneumonia.闭塞性细支气管炎伴机化性肺炎
N Engl J Med. 1985 Jan 17;312(3):152-8. doi: 10.1056/NEJM198501173120304.
2
Intraluminal fibrosis in interstitial lung disorders.间质性肺疾病中的管腔内纤维化
Am J Pathol. 1986 Mar;122(3):443-61.
3
The role of intraalveolar fibrosis in the process of pulmonary structural remodeling in patients with diffuse alveolar damage.肺泡内纤维化在弥漫性肺泡损伤患者肺结构重塑过程中的作用。
间质性肺疾病:进展与问题
Postgrad Med J. 2006 Aug;82(970):494-9. doi: 10.1136/pgmj.2006.046417.
4
Cryptogenic organizing pneumonia.隐源性机化性肺炎
Clin Chest Med. 2004 Dec;25(4):727-38, vi-vii. doi: 10.1016/j.ccm.2004.06.003.
5
Organising pneumonia.机化性肺炎
Thorax. 2000 Apr;55(4):318-28. doi: 10.1136/thorax.55.4.318.
6
Cryptogenic organising pneumonitis in association with acute viral hepatitis.隐源性机化性肺炎合并急性病毒性肝炎
Ir J Med Sci. 1997 Apr-Jun;166(2):83-4. doi: 10.1007/BF02944193.
7
BOOP and COP.闭塞性细支气管炎伴机化性肺炎和隐源性机化性肺炎。
Thorax. 1991 Aug;46(8):545-7. doi: 10.1136/thx.46.8.545.
8
Respiratory diseases.呼吸系统疾病。
Postgrad Med J. 1992 Mar;68(797):160-73. doi: 10.1136/pgmj.68.797.160.
9
Bronchiolitis obliterans organizing pneumonia.闭塞性细支气管炎伴机化性肺炎
West J Med. 1992 Aug;157(2):172-3.
Am J Pathol. 1987 Jan;126(1):171-82.
4
Idiopathic bronchiolitis obliterans organizing pneumonia with peripheral infiltrates on chest roentgenogram.
Arch Intern Med. 1989 Feb;149(2):273-9.
5
Idiopathic bronchiolitis obliterans organizing pneumonia. Definition of characteristic clinical profiles in a series of 16 patients.特发性闭塞性细支气管炎并机化性肺炎。16例患者系列特征性临床特征的定义。
Chest. 1989 Nov;96(5):999-1004. doi: 10.1378/chest.96.5.999.
6
The concept of "organizing pneumonia".“机化性肺炎”的概念
Chest. 1989 Nov;96(5):967-9. doi: 10.1378/chest.96.5.967.
7
Bronchiolitis obliterans organising pneumonia in patients taking acebutolol or amiodarone.
Thorax. 1989 Sep;44(9):711-5. doi: 10.1136/thx.44.9.711.