Suppr超能文献

Lactate dehydrogenase (LDH) isoenzymes and proliferative activity of lymphoid cells--an immunocytochemical study.

作者信息

Pan L, Beverley P C, Isaacson P G

机构信息

Department of Histopathology, University College and Middlesex School of Medicine, London, England, UK.

出版信息

Clin Exp Immunol. 1991 Nov;86(2):240-5. doi: 10.1111/j.1365-2249.1991.tb05803.x.

Abstract

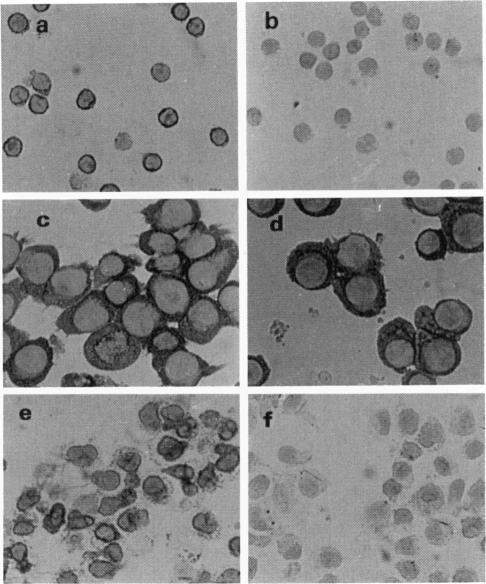
In a recent immunohistochemical study, we suggested that elevation of LDH isoenzymes is generally related to cell proliferation. To explore this relationship further, we have now examined the expression of H- and M-type LDH isoenzymes immunocytochemically in human resting and mitogen-activated B and T lymphocytes. In the resting state, T lymphocytes showed strong staining for H-type LDH but showed little or no staining for M-type LDH, while B lymphocytes showed only weak staining for M-type LDH. During activation of T cells, M-type LDH started to increase when cells entered the early stages of the cell cycle. The staining intensity increased to a maximum when the percentage of the T cells at the S/G2/M phases of the cell cycle reached its peak. M-type LDH expression declined when the activated T cells returned to their resting state. Staining for H-type LDH remained strong in T cells during activation. In B lymphocytes, both H- and M-type LDH isoenzymes increased concomitantly following activation and the staining intensity also correlated well with the percentage of the S/G2/M fraction. The expression of H- and M-type LDH was also determined in fresh leukaemia and a variety of lymphoid cell lines. It was noted that cells of chronic lymphocytic leukaemia (CLL) and pro-lymphocytic leukaemia (PLL), morphologically similar to normal lymphocytes, showed a LDH staining pattern resembling that of resting B lymphocytes, while lymphoblasts in T cell acute lymphoblastic leukaemia (T-ALL), high grade B cell lymphoma and Epstein-Barr virus (EBV) transformed cell lines showed a LDH staining pattern similar to that in activated T or B lymphocytes. Taken together, our results have demonstrated a significant correlation between expression of LDH and proliferative activity of cells. Immunostaining with the MoAbs to H- and M-type LDH can, therefore, provide a useful means not only for identification of T and B lymphocytes but also for rapid evaluation of the proliferating fraction of normal and neoplastic human cell populations.

摘要
https://cdn.ncbi.nlm.nih.gov/pmc/blobs/bd8a/1554126/cd71eb708481/clinexpimmunol00055-0055-a.jpg

相似文献

1
Lactate dehydrogenase (LDH) isoenzymes and proliferative activity of lymphoid cells--an immunocytochemical study.
Clin Exp Immunol. 1991 Nov;86(2):240-5. doi: 10.1111/j.1365-2249.1991.tb05803.x.
5
Isoenzyme studies in human leukemia-lymphoma cell lines--IV. Lactate dehydrogenase.
Leuk Res. 1985;9(5):561-71. doi: 10.1016/0145-2126(85)90135-3.
7
Determination of lactate dehydrogenase isoenzymes in single lymphocytes from normal and leukemia cell lines.
J Chromatogr B Biomed Appl. 1996 Mar 3;677(2):233-40. doi: 10.1016/0378-4347(95)00467-x.
10
Regulation of the expression of lactate dehydrogenase isozymes in human lymphocytes.
Mol Cell Biochem. 1992 Mar 25;110(2):161-4. doi: 10.1007/BF02454193.

引用本文的文献

4
The many lives of Myc in the pancreatic β-cell.
J Biol Chem. 2021 Jan-Jun;296:100122. doi: 10.1074/jbc.REV120.011149. Epub 2020 Dec 2.
7
The response to lymphodepletion impacts PFS in patients with aggressive non-Hodgkin lymphoma treated with CD19 CAR T cells.
Blood. 2019 Apr 25;133(17):1876-1887. doi: 10.1182/blood-2018-11-887067. Epub 2019 Feb 19.
8
Factors associated with durable EFS in adult B-cell ALL patients achieving MRD-negative CR after CD19 CAR T-cell therapy.
Blood. 2019 Apr 11;133(15):1652-1663. doi: 10.1182/blood-2018-11-883710. Epub 2019 Feb 6.
10
The Regulation and Function of Lactate Dehydrogenase A: Therapeutic Potential in Brain Tumor.
Brain Pathol. 2016 Jan;26(1):3-17. doi: 10.1111/bpa.12299. Epub 2015 Sep 17.

本文引用的文献

2
Prognostic significance of serum lactate dehydrogenase in malignant lymphoma.
Cancer. 1980 Jul 1;46(1):139-43. doi: 10.1002/1097-0142(19800701)46:1<139::aid-cncr2820460122>3.0.co;2-8.
7
Prognostic value of serum lactic dehydrogenase in non-Hodgkin's lymphoma.
Scand J Haematol. 1983 Jul;31(1):49-56. doi: 10.1111/j.1600-0609.1983.tb02136.x.
10
Elevation of serum lactic dehydrogenase levels as an early marker of occult malignant lymphoma.
Cancer. 1984 Oct 1;54(7):1379-81. doi: 10.1002/1097-0142(19841001)54:7<1379::aid-cncr2820540725>3.0.co;2-9.

文献AI研究员

20分钟写一篇综述,助力文献阅读效率提升50倍。

立即体验

用中文搜PubMed

大模型驱动的PubMed中文搜索引擎

马上搜索

文档翻译

学术文献翻译模型,支持多种主流文档格式。

立即体验